Skip to main content

EDEM3 Antibody - BSA Free

Novus Biologicals, part of Bio-Techne | Catalog # NBP1-88341

Novus Biologicals, part of Bio-Techne
Catalog #
Availability
Size / Price
Qty
Loading...
NBP1-88341
NBP1-88341-25ul

Key Product Details

Species Reactivity

Validated:

Human

Predicted:

Mouse (99%), Rat (98%). Backed by our 100% Guarantee.

Applications

Immunohistochemistry, Immunohistochemistry-Paraffin

Label

Unconjugated

Antibody Source

Polyclonal Rabbit IgG

Format

BSA Free

Concentration

Concentrations vary lot to lot. See vial label for concentration. If unlisted please contact technical services.

Product Specifications

Immunogen

This antibody was developed against Recombinant Protein corresponding to amino acids: FRSGAKPPLRARDFMATNPEHLEILKKMGVSLIHLKDGRVQLVQHAIQAASSIDAEDGLRFMQEMIELSSQQQKEQQLPPRAVQIVSHPFFGRVVLTAGP

Clonality

Polyclonal

Host

Rabbit

Isotype

IgG

Scientific Data Images for EDEM3 Antibody - BSA Free

Immunohistochemistry-Paraffin: EDEM3 Antibody [NBP1-88341]

Immunohistochemistry-Paraffin: EDEM3 Antibody [NBP1-88341]

Immunohistochemistry-Paraffin: EDEM3 Antibody [NBP1-88341] - Staining of human duodenum shows strong cytoplasmic positivity in glandular cells.
Immunohistochemistry-Paraffin: EDEM3 Antibody [NBP1-88341]

Immunohistochemistry-Paraffin: EDEM3 Antibody [NBP1-88341]

Immunohistochemistry-Paraffin: EDEM3 Antibody [NBP1-88341] - Staining of human stomach shows moderate cytoplasmic positivity in glandular cells.
Immunohistochemistry-Paraffin: EDEM3 Antibody [NBP1-88341]

Immunohistochemistry-Paraffin: EDEM3 Antibody [NBP1-88341]

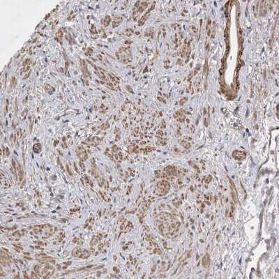
Immunohistochemistry-Paraffin: EDEM3 Antibody [NBP1-88341] - Staining of human prostate shows moderate cytoplasmic positivity in smooth muscle cells.

Applications for EDEM3 Antibody - BSA Free

Application
Recommended Usage

Immunohistochemistry

1:20 - 1:50

Immunohistochemistry-Paraffin

1:20 - 1:50
Application Notes
HIER pH6 retrieval is recommended.

Formulation, Preparation, and Storage

Purification

Affinity purified

Formulation

PBS (pH 7.2) and 40% Glycerol

Format

BSA Free

Preservative

0.02% Sodium Azide

Concentration

Concentrations vary lot to lot. See vial label for concentration. If unlisted please contact technical services.

Shipping

The product is shipped with polar packs. Upon receipt, store it immediately at the temperature recommended below.

Stability & Storage

Store at 4C short term. Aliquot and store at -20C long term. Avoid freeze-thaw cycles.

Background: EDEM3

Quality control in the endoplasmic reticulum (ER) ensures that only properly folded proteins are retained in the cell through recognition and degradation of misfolded or unassembled proteins. EDEM3 belongs to a group of proteins that accelerate degradation of misfolded glycoproteins in the ER (Hirao et al., 2006 [PubMed 16431915]).[supplied by OMIM]

Alternate Names

C1orf22, chromosome 1 open reading frame 22, ER degradation enhancer, mannosidase alpha-like 3, ER degradation-enhancing alpha-mannosidase-like 3, ER degradation-enhancing -mannosidase-like protein 3

Gene Symbol

EDEM3

Additional EDEM3 Products

Product Documents for EDEM3 Antibody - BSA Free

Certificate of Analysis

To download a Certificate of Analysis, please enter a lot number in the search box below.

Product Specific Notices for EDEM3 Antibody - BSA Free

This product is for research use only and is not approved for use in humans or in clinical diagnosis. Primary Antibodies are guaranteed for 1 year from date of receipt.

Loading...
Loading...
Loading...
Loading...