ECT2 Antibody (OTI2D9)
Novus Biologicals, part of Bio-Techne | Catalog # NBP2-46483
Conjugate
Catalog #
Forumulation
Catalog #
Key Product Details
Species Reactivity
Human, Mouse, Rat
Applications
Immunohistochemistry, Immunohistochemistry-Paraffin, Western Blot
Label
Unconjugated
Antibody Source
Monoclonal Mouse IgG1 Clone # OTI2D9
Concentration
1 mg/ml
Product Specifications
Immunogen
Human recombinant protein fragment corresponding to amino acids 175-438 of human ECT2(NP_060568) produced in E.coli.
Reactivity Notes
Please note that this antibody is reactive to Mouse and derived from the same host, Mouse. Mouse-On-Mouse blocking reagent may be needed for IHC and ICC experiments to reduce high background signal. You can find these reagents under catalog numbers PK-2200-NB and MP-2400-NB. Please contact Technical Support if you have any questions.
Clonality
Monoclonal
Host
Mouse
Isotype
IgG1
Theoretical MW
99.9 kDa.
Disclaimer note: The observed molecular weight of the protein may vary from the listed predicted molecular weight due to post translational modifications, post translation cleavages, relative charges, and other experimental factors.
Disclaimer note: The observed molecular weight of the protein may vary from the listed predicted molecular weight due to post translational modifications, post translation cleavages, relative charges, and other experimental factors.
Scientific Data Images for ECT2 Antibody (OTI2D9)
Western Blot: ECT2 Antibody (OTI2D9) [NBP2-46483]
Western Blot: ECT2 Antibody (2D9) [NBP2-46483] - Analysis of HEK293T cells were transfected with the pCMV6-ENTRY control (Left lane) or pCMV6-ENTRY ECT2.Immunohistochemistry: ECT2 Antibody (OTI2D9) [NBP2-46483]
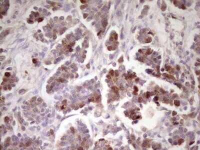
Immunohistochemistry: ECT2 Antibody (2D9) [NBP2-46483] - Analysis of Adenocarcinoma of Human ovary tissue. (Heat-induced epitope retrieval by 1 mM EDTA in 10mM Tris, pH8.5, 120C for 3min)Applications for ECT2 Antibody (OTI2D9)
Application
Recommended Usage
Immunohistochemistry
1:150
Immunohistochemistry-Paraffin
1:150
Western Blot
1:2000
Formulation, Preparation, and Storage
Purification
Immunogen affinity purified
Formulation
PBS (pH 7.3), 1.0% BSA and 50% Glycerol
Preservative
0.02% Sodium Azide
Concentration
1 mg/ml
Shipping
The product is shipped with polar packs. Upon receipt, store it immediately at the temperature recommended below.
Stability & Storage
Store at -20C. Avoid freeze-thaw cycles.
Background: ECT2
Alternate Names
ARHGEF31, epithelial cell transforming sequence 2 oncogene, Epithelial cell-transforming sequence 2 oncogene, FLJ10461, MGC138291, protein ECT2
Gene Symbol
ECT2
Additional ECT2 Products
Product Documents for ECT2 Antibody (OTI2D9)
Product Specific Notices for ECT2 Antibody (OTI2D9)
This product is for research use only and is not approved for use in humans or in clinical diagnosis. Primary Antibodies are guaranteed for 1 year from date of receipt.
Loading...
Loading...
Loading...
Loading...