Skip to main content

E2F-1 Antibody (JJ092-02)

Novus Biologicals, part of Bio-Techne | Catalog # NBP2-67899

Recombinant Monoclonal Antibody.
Novus Biologicals, part of Bio-Techne
Catalog #
Availability
Size / Price
Qty
Loading...
NBP2-67899

Key Product Details

Validated by

Biological Validation

Species Reactivity

Human, Mouse, Rat

Applications

Immunohistochemistry, Immunohistochemistry-Paraffin, Western Blot, Flow Cytometry, Immunocytochemistry/ Immunofluorescence, Immunoprecipitation

Label

Unconjugated

Antibody Source

Recombinant Monoclonal Rabbit IgG Clone # JJ092-02 expressed in HEK293

Concentration

1 mg/ml

Product Specifications

Immunogen

Synthetic peptide within Human E2F-1 aa 371-404 / 437. (SwissProt: Q01094 Human; SwissProt: Q61501 Mouse; SwissProt: O09139 Rat)

Localization

Nucleus.

Clonality

Monoclonal

Host

Rabbit

Isotype

IgG

Description

Novus Biologicals Rabbit E2F-1 Antibody (JJ092-02) (NBP2-67899) is a recombinant monoclonal antibody validated for use in IHC, WB, Flow, ICC/IF and IP. Anti-E2F-1 Antibody: Cited in 1 publication. All Novus Biologicals antibodies are covered by our 100% guarantee.

Scientific Data Images for E2F-1 Antibody (JJ092-02)

Western Blot: E2F-1 Antibody (JJ092-02) [NBP2-67899]

Western Blot: E2F-1 Antibody (JJ092-02) [NBP2-67899]

Western Blot: E2F-1 Antibody (JJ092-02) [NBP2-67899] - Western blot analysis of E2F-1 on NIH/3T3 cell lysates with Rabbit anti-E2F1 antibody at 1/500 dilution. Lysates/proteins at 10 ug/Lane. Predicted band size: 47 kDa Observed band size: 60 kDa Exposure time: 2 minutes; 10% SDS-PAGE gel. Proteins were transferred to a PVDF membrane and blocked with 5% NFDM/TBST for 1 hour at room temperature. The primary antibody at 1/500 dilution was used in 5% NFDM/TBST at room temperature for 2 hours. Goat Anti-Rabbit IgG - HRP Secondary Antibody at 1:200,000 dilution was used for 1 hour at room temperature.
Immunocytochemistry/ Immunofluorescence: E2F-1 Antibody (JJ092-02) [NBP2-67899]

Immunocytochemistry/ Immunofluorescence: E2F-1 Antibody (JJ092-02) [NBP2-67899]

Immunocytochemistry/Immunofluorescence: E2F-1 Antibody (JJ092-02) [NBP2-67899] - Staining E2F1 in MCF-7 cells (green). The nuclear counter stain is DAPI (blue). Cells were fixed in paraformaldehyde, permeabilised with 0.25% Triton X100/PBS.
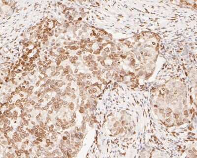
Immunohistochemistry-Paraffin: E2F-1 Antibody (JJ092-02) [NBP2-67899]

Immunohistochemistry-Paraffin: E2F-1 Antibody (JJ092-02) [NBP2-67899]

Immunohistochemistry-Paraffin: E2F-1 Antibody (JJ092-02) [NBP2-67899] - Analysis of paraffin-embedded human breast carcinoma tissue using anti-E2F-1 antibody. The section was pre-treated using heat mediated antigen retrieval with sodium citrate buffer (pH 6.0) for 20 minutes. The tissues were blocked in 5% BSA for 30 minutes at room temperature, washed with ddH2O and PBS, and then probed with the primary antibody (1/50) for 30 minutes at room temperature. The detection was performed using an HRP conjugated compact polymer system. DAB was used as the chromogen. Tissues were counterstained with hematoxylin and mounted with DPX.

Applications for E2F-1 Antibody (JJ092-02)

Application
Recommended Usage

Flow Cytometry

1:50-1:100

Immunocytochemistry/ Immunofluorescence

1:100-1:500

Immunohistochemistry-Paraffin

1:50-1:200

Western Blot

1:1000

Formulation, Preparation, and Storage

Purification

Protein A purified

Formulation

TBS (pH7.4), 0.05% BSA, 40% Glycerol

Preservative

0.05% Sodium Azide

Concentration

1 mg/ml

Shipping

The product is shipped with polar packs. Upon receipt, store it immediately at the temperature recommended below.

Stability & Storage

Store at 4C short term. Aliquot and store at -20C long term. Avoid freeze-thaw cycles.

Background: E2F-1

E2F1 is encoded by this gene is a member of the E2F family of transcription factors. The E2F family plays a crucial role in the control of cell cycle and action of tumor suppressor proteins and is also a target of the transforming proteins of small DNA tumor viruses. The E2F proteins contain several evolutionally conserved domains found in most members of the family. These domains include a DNA binding domain, a dimerization domain which determines interaction with the differentiation regulated transcription factor proteins (DP), a transactivation domain enriched in acidic amino acids, and a tumor suppressor protein association domain which is embedded within the transactivation domain. This protein and another 2 members, E2F2 and E2F3, have an additional cyclin binding domain. This protein binds preferentially to retinoblastoma protein pRB in a cell-cycle dependent manner. It can mediate both cell proliferation and p53-dependent/independent apoptosis.

Long Name

E2F Transcription Factor 1

Alternate Names

E2F1, PBR3, RBAP-1, RBBP-3, RBP3

Gene Symbol

E2F1

Additional E2F-1 Products

Product Documents for E2F-1 Antibody (JJ092-02)

Certificate of Analysis

To download a Certificate of Analysis, please enter a lot number in the search box below.

Product Specific Notices for E2F-1 Antibody (JJ092-02)

This product is for research use only and is not approved for use in humans or in clinical diagnosis. Primary Antibodies are guaranteed for 1 year from date of receipt.

Loading...
Loading...
Loading...
Loading...
Loading...