E-Cadherin [p Ser838, p Ser840] Antibody (S03-3B3)
Novus Biologicals, part of Bio-Techne | Catalog # NBP3-19826
Recombinant Monoclonal Antibody
Key Product Details
Species Reactivity
Human, Mouse, Rat
Applications
Immunohistochemistry, Immunohistochemistry-Paraffin, Western Blot
Label
Unconjugated
Antibody Source
Recombinant Monoclonal Rabbit IgG Clone # S03-3B3 expressed in HEK293
Concentration
0.3 mg/ml
Product Specifications
Immunogen
A synthetic phosphopeptide corresponding to residues surrounding Ser838/Ser840 of human E-Cadherin (Uniprot # P12830)
Clonality
Monoclonal
Host
Rabbit
Isotype
IgG
Theoretical MW
135 kDa.
Disclaimer note: The observed molecular weight of the protein may vary from the listed predicted molecular weight due to post translational modifications, post translation cleavages, relative charges, and other experimental factors.
Disclaimer note: The observed molecular weight of the protein may vary from the listed predicted molecular weight due to post translational modifications, post translation cleavages, relative charges, and other experimental factors.
Description
Novus Biologicals Rabbit E-Cadherin [p Ser838, p Ser840] Antibody (S03-3B3) (NBP3-19826) is a recombinant monoclonal antibody validated for use in IHC and WB. All Novus Biologicals antibodies are covered by our 100% guarantee.
Scientific Data Images for E-Cadherin [p Ser838, p Ser840] Antibody (S03-3B3)
Western Blot: E-Cadherin [p Ser838, p Ser840] Antibody (S03-3B3) [NBP3-19826] - Western blot detection of E-Cadherin (phospho-Ser838/Ser840) in HepG2, U2OS, U251, Lncap using NBP3-19826 (1:1000 diluted)
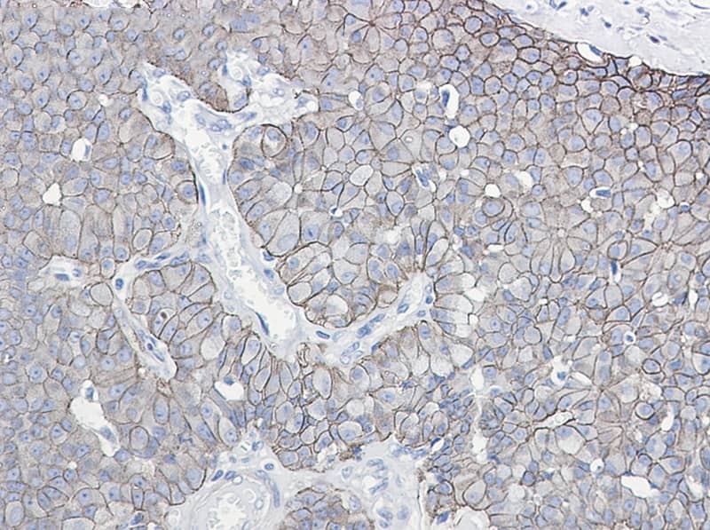
Immunohistochemistry-Paraffin: E-Cadherin [p Ser838, p Ser840] Antibody (S03-3B3) [NBP3-19826] - Immunohistochemistry of E-Cadherin (phospho-Ser838/Ser840) in paraffin-embedded Human breast cancer tissue using NBP3-19826 at dilution 1/50
Applications for E-Cadherin [p Ser838, p Ser840] Antibody (S03-3B3)
Application
Recommended Usage
Immunohistochemistry
1/20
Western Blot
1/2000-1/10000
Formulation, Preparation, and Storage
Purification
Affinity purified
Formulation
50mM Tris-Glycine(pH 7.4), 0.15M NaCl, 40% Glycerol, 0.05% BSA
Preservative
0.01% Sodium Azide
Concentration
0.3 mg/ml
Shipping
The product is shipped with polar packs. Upon receipt, store it immediately at the temperature recommended below.
Stability & Storage
Store at 4C short term. Aliquot and store at -20C long term. Avoid freeze-thaw cycles.
Background: E-Cadherin
Alternate Names
Arc-1, CAD1, Cadherin-1, CD324, CDH1, Cell-CAM120/80, ECAD, ECadherin, L-CAM, Uvomorulin
Gene Symbol
CDH1
Additional E-Cadherin Products
Product Documents for E-Cadherin [p Ser838, p Ser840] Antibody (S03-3B3)
Product Specific Notices for E-Cadherin [p Ser838, p Ser840] Antibody (S03-3B3)
This product is for research use only and is not approved for use in humans or in clinical diagnosis. Primary Antibodies are guaranteed for 1 year from date of receipt.
Loading...
Loading...
Loading...
Loading...