Skip to main content

DUSP19 Antibody - BSA Free

Novus Biologicals, part of Bio-Techne | Catalog # NBP3-46617

Novus Biologicals, part of Bio-Techne
Catalog #
Availability
Size / Price
Qty
Loading...
NBP3-46617

Key Product Details

Species Reactivity

Human, Mouse, Rat

Applications

ELISA, Immunohistochemistry, Western Blot

Label

Unconjugated

Antibody Source

Polyclonal Rabbit IgG

Format

BSA Free

Concentration

Please see the vial label for concentration. If unlisted please contact technical services.

Product Specifications

Immunogen

dual specificity phosphatase 19. (Uniprot# Q8WTR2)

Clonality

Polyclonal

Host

Rabbit

Isotype

IgG

Theoretical MW

24 kDa.
Disclaimer note: The observed molecular weight of the protein may vary from the listed predicted molecular weight due to post translational modifications, post translation cleavages, relative charges, and other experimental factors.

Description

Novus Biologicals Rabbit DUSP19 Antibody - BSA Free (NBP3-46617) is a polyclonal antibody validated for use in IHC, WB and ELISA. All Novus Biologicals antibodies are covered by our 100% guarantee.

Scientific Data Images for DUSP19 Antibody - BSA Free

DUSP19 Antibody - BSA Free

Western Blot: DUSP19 Antibody - BSA Free [NBP3-46617] -

Western Blot: DUSP19 Antibody - BSA Free [NBP3-46617] - Mouse uterus tissue were subjected to SDS PAGE followed by western blot with (DUSP19 antibody) at dilution of 1:300
DUSP19 Antibody - BSA Free

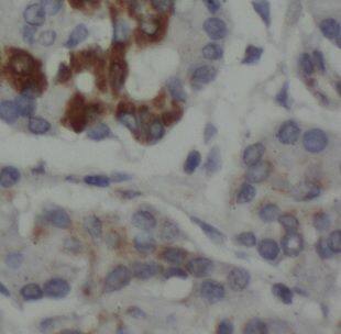
Immunohistochemistry: DUSP19 Antibody - BSA Free [NBP3-46617] -

Immunohistochemistry: DUSP19 Antibody - BSA Free [NBP3-46617] - Immunohistochemistry of paraffin-embedded human pancreas cancer using (DUSP19 antibody) at dilution of 1:100

Applications for DUSP19 Antibody - BSA Free

Application
Recommended Usage

Immunohistochemistry

1:20-1:200

Western Blot

1:500-1:2000

Formulation, Preparation, and Storage

Purification

Immunogen affinity purified

Formulation

PBS, 50% Glycerol, pH (7.3)

Format

BSA Free

Preservative

0.02% Sodium Azide

Concentration

Please see the vial label for concentration. If unlisted please contact technical services.

Shipping

The product is shipped with polar packs. Upon receipt, store it immediately at the temperature recommended below.

Stability & Storage

Store at -20C. Avoid freeze-thaw cycles.

Background: DUSP19

Belonging to the protein-tyrosine phosphatase family. Having a dual specificity towards these proteins, DUSP19 is also a modulator of many critical signaling pathways. DUSP19 has been shown to interact with ASK1, MAP2K7, MAPK9 and MAP3K5.

Alternate Names

dual specificity phosphatase 19, Dual specificity phosphatase TS-DSP1, dual specificity protein phosphatase 19, DUSP17SAPK pathway-regulating phosphatase 1, EC 3.1.3.16, EC 3.1.3.48, LMWDSP3, LMW-DSP3, Low molecular weight dual specificity phosphatase 3, Protein phosphatase SKRP1, SKRP1MGC138210, Stress-activated protein kinase pathway-regulating phosphatase 1, TS-DSP1

Gene Symbol

DUSP19

Additional DUSP19 Products

Product Documents for DUSP19 Antibody - BSA Free

Certificate of Analysis

To download a Certificate of Analysis, please enter a lot number in the search box below.

Product Specific Notices for DUSP19 Antibody - BSA Free

This product is for research use only and is not approved for use in humans or in clinical diagnosis. Primary Antibodies are guaranteed for 1 year from date of receipt.

Loading...
Loading...
Loading...
Loading...