Skip to main content

DP2 Antibody - BSA Free

Novus Biologicals, part of Bio-Techne | Catalog # NBP2-88806

Novus Biologicals, part of Bio-Techne
Catalog #
Availability
Size / Price
Qty
Loading...
NBP2-88806

Key Product Details

Species Reactivity

Human

Applications

Immunohistochemistry, Immunohistochemistry-Paraffin, Western Blot

Label

Unconjugated

Antibody Source

Polyclonal Rabbit

Format

BSA Free

Concentration

1 mg/ml

Product Specifications

Immunogen

The immunogen is a synthetic peptide directed towards the N-terminal region of human DP2. Peptide sequence: MIISTPQRLTSSGSVLIGSPYTPAPAMVTQTHIAEATGWVPGDRKRARKF The peptide sequence for this immunogen was taken from within the described region.

Clonality

Polyclonal

Host

Rabbit

Description

Novus Biologicals Rabbit DP2 Antibody - BSA Free (NBP2-88806) is a polyclonal antibody validated for use in IHC and WB. All Novus Biologicals antibodies are covered by our 100% guarantee.

Scientific Data Images for DP2 Antibody - BSA Free

Western Blot: DP2 Antibody [NBP2-88806]

Western Blot: DP2 Antibody [NBP2-88806]

Western Blot: DP2 Antibody [NBP2-88806] - WB Suggested Anti-TFDP2 Antibody Titration: 1.25ug/ml. Positive Control: Jurkat cell lysateTFDP2 is strongly supported by BioGPS gene expression data to be expressed in Human Jurkat cells
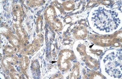
Immunohistochemistry: DP2 Antibody [NBP2-88806]

Immunohistochemistry: DP2 Antibody [NBP2-88806]

Immunohistochemistry: DP2 Antibody [NBP2-88806] - Human kidney

Applications for DP2 Antibody - BSA Free

Application
Recommended Usage

Western Blot

1.0 ug/ml

Formulation, Preparation, and Storage

Purification

Protein A purified

Formulation

PBS, 2% Sucrose

Format

BSA Free

Preservative

0.09% Sodium Azide

Concentration

1 mg/ml

Shipping

The product is shipped with polar packs. Upon receipt, store it immediately at the temperature recommended below.

Stability & Storage

Store at 4C short term. Aliquot and store at -20C long term. Avoid freeze-thaw cycles.

Background: DP2

DP2 can stimulate E2F-dependent transcription. Binds DNA cooperatively with E2F family members through the E2 recognition site, 5'-TTTC[CG]CGC-3', found in the promoter region of a number of genes whose products are involved in cell cycle regulation or in DNA replication. The DP2/E2F complex functions in the control of cell-cycle progression from G1 to S phase. The E2F-1/DP complex appears to mediate both cell proliferation and apoptosis.

Alternate Names

DKFZp313O196, DP2Dp-2, E2F dimerization partner 2, FLJ39131, transcription factor Dp-2, transcription factor Dp-2 (E2F dimerization partner 2)

Gene Symbol

TFDP2

Additional DP2 Products

Product Documents for DP2 Antibody - BSA Free

Certificate of Analysis

To download a Certificate of Analysis, please enter a lot number in the search box below.

Product Specific Notices for DP2 Antibody - BSA Free

This product is for research use only and is not approved for use in humans or in clinical diagnosis. Primary Antibodies are guaranteed for 1 year from date of receipt.

Loading...
Loading...
Loading...
Loading...