Skip to main content

Dopamine Receptor D4 Antibody - BSA Free

Novus Biologicals, part of Bio-Techne | Catalog # NLS3921

Novus Biologicals, part of Bio-Techne
Catalog #
Availability
Size / Price
Qty
Loading...
NLS3921

Key Product Details

Species Reactivity

Human, Monkey, Primate

Applications

Immunohistochemistry, Immunohistochemistry-Paraffin

Label

Unconjugated

Antibody Source

Polyclonal Rabbit IgG

Format

BSA Free

Concentration

1.0 mg/ml

Product Specifications

Immunogen

Synthetic 17 amino acid peptide from C-terminus of human Dopamine Receptor D4.

Epitope

C-Terminus

Reactivity Notes

Predicted cross-reactivity based on sequence identity: Gorilla (100%), Gibbon (100%), Marmoset (100%), Hamster (82%), Equine (82%), Porcine (82%).

Specificity

Human Dopamine Receptor D4. BLAST analysis of the peptide immunogen showed no homology with other human proteins, except HTR1D (65%).

Clonality

Polyclonal

Host

Rabbit

Isotype

IgG

Description

Product can be stored undiluted at 4C for up to 1 month.

Scientific Data Images for Dopamine Receptor D4 Antibody - BSA Free

Immunohistochemistry-Paraffin: Dopamine Receptor D4 Antibody - BSA Free [NLS3921]

Immunohistochemistry-Paraffin: Dopamine Receptor D4 Antibody - BSA Free [NLS3921]

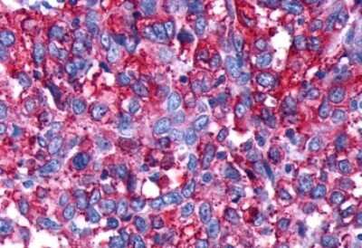
Immunohistochemistry-Paraffin: Dopamine Receptor D4 Antibody [NLS3921] - Anti-DRD4 / Dopamine Receptor D4 antibody IHC of human Lung, Small Cell Carcinoma. Immunohistochemistry of formalin-fixed, paraffin-embedded tissue after heat-induced antigen retrieval.
Immunohistochemistry-Paraffin: Dopamine Receptor D4 Antibody - BSA Free [NLS3921]

Immunohistochemistry-Paraffin: Dopamine Receptor D4 Antibody - BSA Free [NLS3921]

Immunohistochemistry-Paraffin: Dopamine Receptor D4 Antibody [NLS3921] - Staining of human brain, Neurons and Glia
Immunohistochemistry-Paraffin: Dopamine Receptor D4 Antibody - BSA Free [NLS3921]

Immunohistochemistry-Paraffin: Dopamine Receptor D4 Antibody - BSA Free [NLS3921]

Immunohistochemistry-Paraffin: Dopamine Receptor D4 Antibody [NLS3921] - Analysis of anti-DRD4 / Dopamine Receptor D4 antibody with human brain, glioblastoma.

Applications for Dopamine Receptor D4 Antibody - BSA Free

Application
Recommended Usage

Immunohistochemistry-Paraffin

5-10 ug/ml
Application Notes
.

Formulation, Preparation, and Storage

Purification

Immunogen affinity purified

Formulation

PBS

Format

BSA Free

Preservative

0.1% Sodium Azide

Concentration

1.0 mg/ml

Shipping

The product is shipped with polar packs. Upon receipt, store it immediately at the temperature recommended below.

Stability & Storage

Keep as concentrated solution. Aliquot and store at -20C or below. Avoid multiple freeze-thaw cycles.

Background: Dopamine Receptor D4

Dopamine Receptor D4 (DRD4), a Dopamine Receptor, has been suggested to affect personality, substance dependence, cognition, and emotion. DRD4 binds the antipsychotic medications clozapine and spiperone. DRD4 knock-out mice are anatomically normal but display altered locomotion and sensitivity to drugs such as clozapine, cocaine, and others. The DRD4 gene contains extensive polymorphisms consisting of variable numbers of tandem repeats (VNTR) in sequences corresponding to the third cytoplasmic loop of the receptor; at least 27 different haplotypes encoding 20 different protein variants have been documented. The frequency of the different variants varies among population groups. Studies have suggested a link between VNTR and human personality traits (such as novelty seeking) and diseases (such as schizophrenia, bipolar affective disorder, and Tourette syndrome); however, considerable debates exist regarding the validity and significance of such associations. DRD4 expression has been reported in various regions of the brain as well as in adrenal gland, artery, eye, heart, kidney, placenta, spinal cord, testis, and vas deferens. ESTs have been isolated from a kidney library.

Long Name

D(4) dopamine receptor

Alternate Names

DRD4

Entrez Gene IDs

1815 (Human)

Gene Symbol

DRD4

Additional Dopamine Receptor D4 Products

Product Documents for Dopamine Receptor D4 Antibody - BSA Free

Certificate of Analysis

To download a Certificate of Analysis, please enter a lot number in the search box below.

Product Specific Notices for Dopamine Receptor D4 Antibody - BSA Free

This product is for research use only and is not approved for use in humans or in clinical diagnosis. Primary Antibodies are guaranteed for 1 year from date of receipt.

Loading...
Loading...
Loading...
Loading...