Skip to main content

Dopamine Receptor D4 Antibody (HL2851)

Novus Biologicals, part of Bio-Techne | Catalog # NBP3-48739

Recombinant Monoclonal Antibody
Novus Biologicals, part of Bio-Techne
Catalog #
Availability
Size / Price
Qty
Loading...
NBP3-48739

Key Product Details

Validated by

Orthogonal Validation

Species Reactivity

Human

Applications

Immunohistochemistry, Immunohistochemistry-Paraffin, Western Blot, Immunocytochemistry/ Immunofluorescence

Label

Unconjugated

Antibody Source

Recombinant Monoclonal Rabbit IgG Clone # HL2851

Concentration

Concentrations vary lot to lot. See vial label for concentration. If unlisted please contact technical services.

Product Specifications

Immunogen

Synthetic peptide encompassing a sequence within the Extracellular domain human of Dopamine Receptor D4. The exact sequence is proprietary.

Clonality

Monoclonal

Host

Rabbit

Isotype

IgG

Description

Novus Biologicals Rabbit Dopamine Receptor D4 Antibody (HL2851) (NBP3-48739) is a recombinant monoclonal antibody validated for use in IHC, WB and ICC/IF. All Novus Biologicals antibodies are covered by our 100% guarantee.

Scientific Data Images for Dopamine Receptor D4 Antibody (HL2851)

Dopamine Receptor D4 Antibody (HL2851)

Western Blot: Dopamine Receptor D4 Antibody (HL2851) [NBP3-48739] -

Unboiled Non-transfected (-) and transfected (+) 293T whole cell extracts (30 ug) were separated by 10% SDS-PAGE, and the membrane was blotted with Dopamine Receptor D4 antibody [HL2851] (NBP3-48739) diluted at 1:5000. The HRP-conjugated anti-rabbit IgG antibody was used to detect the primary antibody.
Dopamine Receptor D4 Antibody (HL2851)

Western Blot: Dopamine Receptor D4 Antibody (HL2851) [NBP3-48739] -

Non-transfected (-) and transfected (+) boiled and unboiled 293T whole cell extracts (30 ug) were separated by 10% SDS-PAGE, and the membrane was blotted with Dopamine Receptor D4 antibody [HL2851] (NBP3-48739) diluted at 1:5000. The HRP-conjugated anti-rabbit IgG antibody was used to detect the primary antibody.
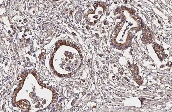
Dopamine Receptor D4 Antibody (HL2851)

Immunohistochemistry-Paraffin: Dopamine Receptor D4 Antibody (HL2851) [NBP3-48739] -

Dopamine Receptor D4 antibody [HL2851] detects Dopamine Receptor D4 protein at cell membrane by immunohistochemical analysis.
Sample: Paraffin-embedded human stomach tumor.
Dopamine Receptor D4 stained by Dopamine Receptor D4 antibody [HL2851] (NBP3-48739) diluted at 1:100.
Antigen Retrieval: Citrate buffer, pH 6.0, 15 min

Applications for Dopamine Receptor D4 Antibody (HL2851)

Application
Recommended Usage

Immunocytochemistry/ Immunofluorescence

Assay dependent

Immunohistochemistry

Assay dependent

Immunohistochemistry-Paraffin

Assay dependent

Western Blot

1:1000-1:10000

Formulation, Preparation, and Storage

Purification

Protein A purified

Formulation

PBS

Preservative

No Preservative

Concentration

Concentrations vary lot to lot. See vial label for concentration. If unlisted please contact technical services.

Shipping

The product is shipped with polar packs. Upon receipt, store it immediately at the temperature recommended below.

Stability & Storage

Store at 4C short term. Aliquot and store at -20C long term. Avoid freeze-thaw cycles.

Background: Dopamine Receptor D4

DRD4, a Dopamine Receptor, has been suggested to affect personality, substance dependence, cognition, and emotion. DRD4 binds the antipsychotic medications clozapine and spiperone. DRD4 knock-out mice are anatomically normal but display altered locomotion and sensitivity to drugs such as clozapine, cocaine, and others. The DRD4 gene contains extensive polymorphisms consisting of variable numbers of tandem repeats (VNTR) in sequences corresponding to the third cytoplasmic loop of the receptor; at least 27 different haplotypes encoding 20 different protein variants have been documented. The frequency of the different variants varies among population groups. Studies have suggested a link between VNTR and human personality traits (such as novelty seeking) and diseases (such as schizophrenia, bipolar affective disorder, and Tourette syndrome); however, considerable debates exist regarding the validity and significance of such associations. DRD4 expression has been reported in various regions of the brain as well as in adrenal gland, artery, eye, heart, kidney, placenta, spinal cord, testis, and vas deferens. ESTs have been isolated from a kidney library.

Long Name

D(4) dopamine receptor

Alternate Names

DRD4

Gene Symbol

DRD4

Additional Dopamine Receptor D4 Products

Product Documents for Dopamine Receptor D4 Antibody (HL2851)

Certificate of Analysis

To download a Certificate of Analysis, please enter a lot number in the search box below.

Product Specific Notices for Dopamine Receptor D4 Antibody (HL2851)

This product is for research use only and is not approved for use in humans or in clinical diagnosis. Primary Antibodies are guaranteed for 1 year from date of receipt.

Loading...
Loading...
Loading...
Loading...