Skip to main content

Dopa Decarboxylase/DDC Antibody - BSA Free

Novus Biologicals, part of Bio-Techne | Catalog # NBP1-90293

Novus Biologicals, part of Bio-Techne
Catalog #
Availability
Size / Price
Qty
Loading...
NBP1-90293

Key Product Details

Validated by

Orthogonal Validation

Species Reactivity

Validated:

Human

Predicted:

Mouse (90%). Backed by our 100% Guarantee.

Applications

Immunocytochemistry/ Immunofluorescence, Immunohistochemistry, Immunohistochemistry-Paraffin, Western Blot

Label

Unconjugated

Antibody Source

Polyclonal Rabbit IgG

Format

BSA Free

Concentration

Concentrations vary lot to lot. See vial label for concentration. If unlisted please contact technical services.

Product Specifications

Immunogen

This antibody was developed against Recombinant Protein corresponding to amino acids: LETVMMDWLGKMLELPKAFLNEKAGEGGGVIQGSASEATLVALLAARTKVIHRLQAASPELTQAAIMEKLVAYSSDQAHSSVERAGLIGGVKLKAIPSDGNFAMRASA

Reactivity Notes

Immunogen displays the following percentage of sequence identity for non-tested species: Rat (88%)

Clonality

Polyclonal

Host

Rabbit

Isotype

IgG

Description

Novus Biologicals Rabbit Dopa Decarboxylase/DDC Antibody - BSA Free (NBP1-90293) is a polyclonal antibody validated for use in IHC, WB and ICC/IF. All Novus Biologicals antibodies are covered by our 100% guarantee.

Scientific Data Images for Dopa Decarboxylase/DDC Antibody - BSA Free

Immunocytochemistry/ Immunofluorescence: Dopa Decarboxylase/DDC Antibody [NBP1-90293]

Immunocytochemistry/ Immunofluorescence: Dopa Decarboxylase/DDC Antibody [NBP1-90293]

Immunocytochemistry/Immunofluorescence: Dopa Decarboxylase/DDC Antibody [NBP1-90293] - Staining of human cell line U-2 OS shows localization to actin filaments. Antibody staining is shown in green.
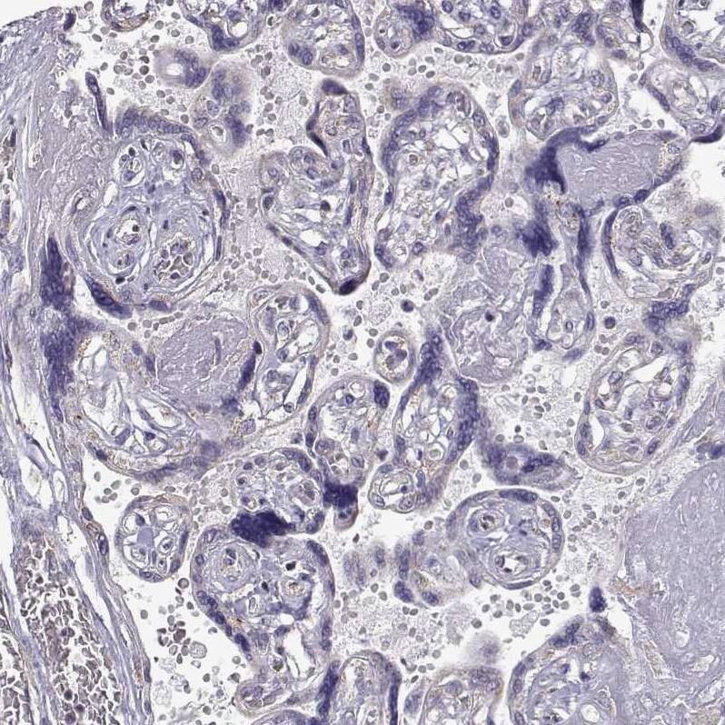
Dopa Decarboxylase/DDC Antibody - BSA Free Immunohistochemistry: Dopa Decarboxylase/DDC Antibody - BSA Free [NBP1-90293]

Immunohistochemistry: Dopa Decarboxylase/DDC Antibody - BSA Free [NBP1-90293]

Analysis in human kidney and placenta tissues using NBP1-90293 antibody. Corresponding DDC RNA-seq data are presented for the same tissues.
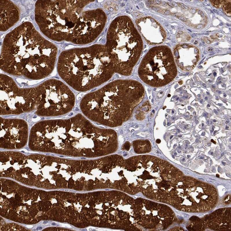
Dopa Decarboxylase/DDC Antibody - BSA Free Immunohistochemistry: Dopa Decarboxylase/DDC Antibody - BSA Free [NBP1-90293]

Immunohistochemistry: Dopa Decarboxylase/DDC Antibody - BSA Free [NBP1-90293]

Staining of human kidney shows strong cytoplasmic positivity in cells in tubules.

Applications for Dopa Decarboxylase/DDC Antibody - BSA Free

Application
Recommended Usage

Immunocytochemistry/ Immunofluorescence

0.25-2 ug/ml

Immunohistochemistry

1:50 - 1:200

Immunohistochemistry-Paraffin

1:50 - 1:200

Western Blot

0.04-0.4 ug/ml
Application Notes
For IHC-Paraffin, HIER pH 6 retrieval is recommended. ICC/IF Fixation Permeabilization: Use PFA/Triton X-100.

Formulation, Preparation, and Storage

Purification

Immunogen affinity purified

Formulation

PBS (pH 7.2) and 40% Glycerol

Format

BSA Free

Preservative

0.02% Sodium Azide

Concentration

Concentrations vary lot to lot. See vial label for concentration. If unlisted please contact technical services.

Shipping

The product is shipped with polar packs. Upon receipt, store it immediately at the temperature recommended below.

Stability & Storage

Store at 4C short term. Aliquot and store at -20C long term. Avoid freeze-thaw cycles.

Background: Dopa Decarboxylase/DDC

DOPA Decarboxylase (aromatic L-amino acid decarboxylase, AADC; DDC) catalyzes the second reaction in the biosynthesis of catecholamines and serotonin (Waymire and Haycock, 2002; Berry et al., 1996; Haycock et al., 2003). It is also involved in the biosynthesis of trace amines. DDC antibodies can therefore be used as markers for dopaminergic, noradrenergic and serotonergic neurons in a variety of applications including depression, schizophrenia, Parkinson's disease and drug abuse (Kish et al., 2001; Zhu et al., 2000; Zhu et al., 1999).

Alternate Names

AADC, DDC

Gene Symbol

DDC

Additional Dopa Decarboxylase/DDC Products

Product Documents for Dopa Decarboxylase/DDC Antibody - BSA Free

Certificate of Analysis

To download a Certificate of Analysis, please enter a lot number in the search box below.

Product Specific Notices for Dopa Decarboxylase/DDC Antibody - BSA Free

This product is for research use only and is not approved for use in humans or in clinical diagnosis. Primary Antibodies are guaranteed for 1 year from date of receipt.

Loading...
Loading...
Loading...
Loading...