Skip to main content

Dopa Decarboxylase/DDC Antibody (CL2962) - BSA Free

Novus Biologicals, part of Bio-Techne | Catalog # NBP2-46642

Novus Biologicals, part of Bio-Techne
Catalog #
Availability
Size / Price
Qty
Loading...
NBP2-46642
NBP2-46642-25ul

Key Product Details

Validated by

Orthogonal Validation

Species Reactivity

Human, Mouse, Rat

Applications

Immunohistochemistry, Immunohistochemistry-Paraffin, Western Blot

Label

Unconjugated

Antibody Source

Monoclonal Mouse IgG1 Clone # CL2962

Format

BSA Free

Concentration

Concentrations vary lot to lot. See vial label for concentration. If unlisted please contact technical services.

Product Specifications

Immunogen

This antibody was developed using a recombinant protein derived from P20711, with the exact immunogen sequence remaining proprietary.

Reactivity Notes

Please note that this antibody is reactive to Mouse and derived from the same host, Mouse. Mouse-On-Mouse blocking reagent may be needed for IHC and ICC experiments to reduce high background signal. You can find these reagents under catalog numbers PK-2200-NB and MP-2400-NB. Please contact Technical Support if you have any questions

Clonality

Monoclonal

Host

Mouse

Isotype

IgG1

Description

Novus Biologicals Mouse Dopa Decarboxylase/DDC Antibody (CL2962) - BSA Free (NBP2-46642) is a monoclonal antibody validated for use in IHC and WB. All Novus Biologicals antibodies are covered by our 100% guarantee.

Scientific Data Images for Dopa Decarboxylase/DDC Antibody (CL2962) - BSA Free

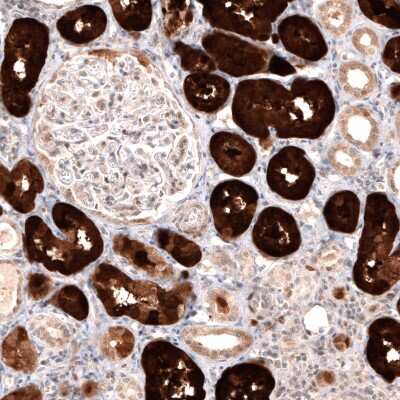
Immunohistochemistry-Paraffin: Dopa Decarboxylase/DDC Antibody (CL2962) [NBP2-46642]

Immunohistochemistry-Paraffin: Dopa Decarboxylase/DDC Antibody (CL2962) [NBP2-46642]

Immunohistochemistry-Paraffin: Dopa Decarboxylase/DDC Antibody (CL2962) [NBP2-46642] - Staining in human kidney and fallopian tube tissues. Corresponding DDC RNA-seq data are presented for the same tissues.
Western Blot: Dopa Decarboxylase/DDC Antibody (CL2962) [NBP2-46642]

Western Blot: Dopa Decarboxylase/DDC Antibody (CL2962) [NBP2-46642]

Western Blot: Dopa Decarboxylase/DDC Antibody (CL2962) [NBP2-46642] - Lane 1: Marker [kDa] 250, 130, 100, 70, 55, 35, 25, 15, 10. Lane 2: Human Kidney tissue
Immunohistochemistry: Dopa Decarboxylase/DDC Antibody (CL2962) [NBP2-46642]

Immunohistochemistry: Dopa Decarboxylase/DDC Antibody (CL2962) [NBP2-46642]

Immunohistochemistry: Dopa Decarboxylase/DDC Antibody (CL2962) [NBP2-46642] - Staining of mouse substantia nigra shows strong positivity in dopamine neurons in pars compacta.

Applications for Dopa Decarboxylase/DDC Antibody (CL2962) - BSA Free

Application
Recommended Usage

Immunohistochemistry

1:1000 - 1:2500

Immunohistochemistry-Paraffin

1:1000 - 1:2500

Western Blot

1 ug/ml
Application Notes
For IHC-Paraffin, HIER pH 6 retrieval is recommended.

Formulation, Preparation, and Storage

Purification

Protein A purified

Formulation

PBS (pH 7.2) and 40% Glycerol

Format

BSA Free

Preservative

0.02% Sodium Azide

Concentration

Concentrations vary lot to lot. See vial label for concentration. If unlisted please contact technical services.

Shipping

The product is shipped with polar packs. Upon receipt, store it immediately at the temperature recommended below.

Stability & Storage

Store at 4C short term. Aliquot and store at -20C long term. Avoid freeze-thaw cycles.

Background: Dopa Decarboxylase/DDC

DOPA Decarboxylase (aromatic L-amino acid decarboxylase, AADC; DDC) catalyzes the second reaction in the biosynthesis of catecholamines and serotonin (Waymire and Haycock, 2002; Berry et al., 1996; Haycock et al., 2003). It is also involved in the biosynthesis of trace amines. DDC antibodies can therefore be used as markers for dopaminergic, noradrenergic and serotonergic neurons in a variety of applications including depression, schizophrenia, Parkinson's disease and drug abuse (Kish et al., 2001; Zhu et al., 2000; Zhu et al., 1999).

Alternate Names

AADC, DDC

Entrez Gene IDs

1644 (Human)

Gene Symbol

DDC

UniProt

Additional Dopa Decarboxylase/DDC Products

Product Documents for Dopa Decarboxylase/DDC Antibody (CL2962) - BSA Free

Certificate of Analysis

To download a Certificate of Analysis, please enter a lot number in the search box below.

Product Specific Notices for Dopa Decarboxylase/DDC Antibody (CL2962) - BSA Free

This product is for research use only and is not approved for use in humans or in clinical diagnosis. Primary Antibodies are guaranteed for 1 year from date of receipt.

Loading...
Loading...
Loading...
Loading...