DOCK10 Antibody - BSA Free
Novus Biologicals, part of Bio-Techne | Catalog # NBP2-58637
Key Product Details
Validated by
Orthogonal Validation
Species Reactivity
Human
Applications
Immunocytochemistry/ Immunofluorescence, Immunohistochemistry, Immunohistochemistry-Paraffin
Label
Unconjugated
Antibody Source
Polyclonal Rabbit IgG
Format
BSA Free
Concentration
Concentrations vary lot to lot. See vial label for concentration. If unlisted please contact technical services.
Product Specifications
Immunogen
This antibody was developed against a recombinant protein corresponding to the following amino acid sequence: LDSLDNSVTCECTPEETDSSENNLHADFAKYLTETEDTVKTTRNMERLNLFSLDPDIDTLKLQKKDLLEPESVIKPFEEKAAKRIMIICKALNSN
Reactivity Notes
Mouse 85%.
Clonality
Polyclonal
Host
Rabbit
Isotype
IgG
Description
Novus Biologicals Rabbit DOCK10 Antibody - BSA Free (NBP2-58637) is a polyclonal antibody validated for use in IHC and ICC/IF. All Novus Biologicals antibodies are covered by our 100% guarantee.
Scientific Data Images for DOCK10 Antibody - BSA Free
Immunocytochemistry/ Immunofluorescence: DOCK10 Antibody [NBP2-58637]
Immunocytochemistry/Immunofluorescence: DOCK10 Antibody [NBP2-58637] - Staining of human cell line U-2 OS shows localization to nucleoplasm & cytosol. Antibody staining is shown in green.Immunohistochemistry-Paraffin: DOCK10 Antibody [NBP2-58637]
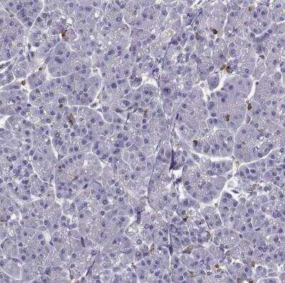
Immunohistochemistry-Paraffin: DOCK10 Antibody [NBP2-58637] - Staining of human pancreas shows no positivity in exocrine glandular cells as expected.Applications for DOCK10 Antibody - BSA Free
Application
Recommended Usage
Immunocytochemistry/ Immunofluorescence
0.25-2 ug/ml
Immunohistochemistry
1:2500 - 1:5000
Immunohistochemistry-Paraffin
1:2500 - 1:5000
Application Notes
ICC/IF Fixation Permeabilization: Use PFA/Triton X-100. IHC Retrieval method: HIER pH6.
Formulation, Preparation, and Storage
Purification
Affinity purified
Formulation
PBS (pH 7.2) and 40% Glycerol
Format
BSA Free
Preservative
0.02% Sodium Azide
Concentration
Concentrations vary lot to lot. See vial label for concentration. If unlisted please contact technical services.
Shipping
The product is shipped with polar packs. Upon receipt, store it immediately at the temperature recommended below.
Stability & Storage
Store at 4C short term. Aliquot and store at -20C long term. Avoid freeze-thaw cycles.
Background: DOCK10
Alternate Names
dedicator of cytokinesis 10, dedicator of cytokinesis protein 10, DKFZp781A1532, DRIP2, KIAA0694protein zizimin 3, Nbla10300, ZIZ3dopamine receptor interacting protein 2, zizimin3, zizimin-3
Gene Symbol
DOCK10
Additional DOCK10 Products
Product Documents for DOCK10 Antibody - BSA Free
Product Specific Notices for DOCK10 Antibody - BSA Free
This product is for research use only and is not approved for use in humans or in clinical diagnosis. Primary Antibodies are guaranteed for 1 year from date of receipt.
Loading...
Loading...
Loading...
Loading...