Skip to main content

DNTTIP2 Antibody - BSA Free

Novus Biologicals, part of Bio-Techne | Catalog # NBP2-38710

Novus Biologicals, part of Bio-Techne
Catalog #
Availability
Size / Price
Qty
Loading...
NBP2-38710
NBP2-38710-25ul

Key Product Details

Validated by

Orthogonal Validation

Species Reactivity

Human

Applications

Immunohistochemistry, Immunohistochemistry-Paraffin

Label

Unconjugated

Antibody Source

Polyclonal Rabbit IgG

Format

BSA Free

Concentration

Concentrations vary lot to lot. See vial label for concentration. If unlisted please contact technical services.

Product Specifications

Immunogen

This antibody was developed against a recombinant protein corresponding to amino acids: DEGKEINEKSSQLKNLSELQDTSLQQLVSQRHSTPQNKNAVSVHSNLNSEAVMKSLTQTFATVEVGRWNNNKKSPIKASDLTKFGDCGGSDD

Clonality

Polyclonal

Host

Rabbit

Isotype

IgG

Description

Novus Biologicals Rabbit DNTTIP2 Antibody - BSA Free (NBP2-38710) is a polyclonal antibody validated for use in IHC. All Novus Biologicals antibodies are covered by our 100% guarantee.

Scientific Data Images for DNTTIP2 Antibody - BSA Free

Immunohistochemistry-Paraffin: DNTTIP2 Antibody [NBP2-38710]

Immunohistochemistry-Paraffin: DNTTIP2 Antibody [NBP2-38710]

Immunohistochemistry-Paraffin: DNTTIP2 Antibody [NBP2-38710] - Staining of human testis shows high expression.
Immunohistochemistry-Paraffin: DNTTIP2 Antibody [NBP2-38710]

Immunohistochemistry-Paraffin: DNTTIP2 Antibody [NBP2-38710]

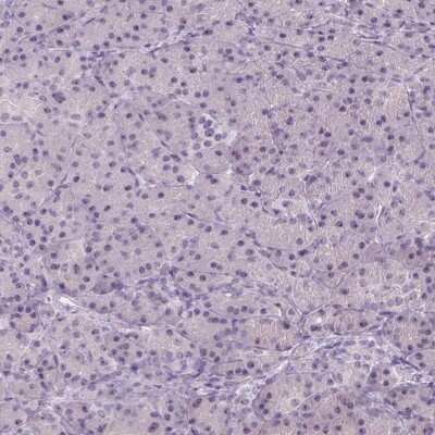
Immunohistochemistry-Paraffin: DNTTIP2 Antibody [NBP2-38710] - Staining of human pancreas shows low expression as expected.
Immunohistochemistry-Paraffin: DNTTIP2 Antibody [NBP2-38710]

Immunohistochemistry-Paraffin: DNTTIP2 Antibody [NBP2-38710]

Immunohistochemistry-Paraffin: DNTTIP2 Antibody [NBP2-38710] - Staining in human testis and pancreas tissues using anti-DNTTIP2 antibody. Corresponding DNTTIP2 RNA-seq data are presented for the same tissues.

Applications for DNTTIP2 Antibody - BSA Free

Application
Recommended Usage

Immunohistochemistry

1:2500 - 1:5000

Immunohistochemistry-Paraffin

1:2500 - 1:5000
Application Notes
For IHC-Paraffin, HIER pH 6 retrieval is recommended.

Formulation, Preparation, and Storage

Purification

Affinity purified

Formulation

PBS (pH 7.2) and 40% Glycerol

Format

BSA Free

Preservative

0.02% Sodium Azide

Concentration

Concentrations vary lot to lot. See vial label for concentration. If unlisted please contact technical services.

Shipping

The product is shipped with polar packs. Upon receipt, store it immediately at the temperature recommended below.

Stability & Storage

Store at 4C short term. Aliquot and store at -20C long term. Avoid freeze-thaw cycles.

Background: DNTTIP2

Regulates the transcriptional activity of DNTT and ESR1. May function as a chromatin remodeling protein

Alternate Names

acidic 82 kDa protein mRNA, deoxynucleotidyltransferase terminal-interacting protein 2, deoxynucleotidyltransferase, terminal, interacting protein 2, ERBP, estrogen receptor binding protein, FCF2, FLJ98849, HSU15552, LPTS-interacting protein 2, LPTS-RP2, MGC163494, TdIF2, tdT-interacting factor 2

Gene Symbol

DNTTIP2

UniProt

Additional DNTTIP2 Products

Product Documents for DNTTIP2 Antibody - BSA Free

Certificate of Analysis

To download a Certificate of Analysis, please enter a lot number in the search box below.

Product Specific Notices for DNTTIP2 Antibody - BSA Free

This product is for research use only and is not approved for use in humans or in clinical diagnosis. Primary Antibodies are guaranteed for 1 year from date of receipt.

Loading...
Loading...
Loading...
Loading...