DNTTIP2 Antibody - BSA Free
Novus Biologicals, part of Bio-Techne | Catalog # NBP1-91845
Key Product Details
Validated by
Knockout/Knockdown
Species Reactivity
Human
Applications
Immunohistochemistry, Immunohistochemistry-Paraffin, Western Blot, Immunocytochemistry/ Immunofluorescence, Knockdown Validated
Label
Unconjugated
Antibody Source
Polyclonal Rabbit IgG
Format
BSA Free
Concentration
Concentrations vary lot to lot. See vial label for concentration. If unlisted please contact technical services.
Product Specifications
Immunogen
This antibody was developed against Recombinant Protein corresponding to amino acids: PSQESHTEAISDAETSSSDISFSGIATRRTRSMQRKLKAQTEKKDSKIVPGNEKQIVGTPVNSEDSDTRQTSHLQARSLSEINKPNFYNNDFDDDFSHR
Clonality
Polyclonal
Host
Rabbit
Isotype
IgG
Description
Novus Biologicals Rabbit DNTTIP2 Antibody - BSA Free (NBP1-91845) is a polyclonal antibody validated for use in IHC, WB and ICC/IF. All Novus Biologicals antibodies are covered by our 100% guarantee.
Scientific Data Images for DNTTIP2 Antibody - BSA Free
Immunocytochemistry/ Immunofluorescence: DNTTIP2 Antibody [NBP1-91845]
Immunocytochemistry/Immunofluorescence: DNTTIP2 Antibody [NBP1-91845] - Staining of human cell line A-431 shows localization to nucleoli. Antibody staining is shown in green.Immunohistochemistry-Paraffin: DNTTIP2 Antibody [NBP1-91845]
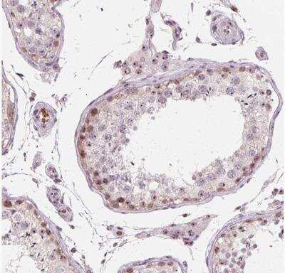
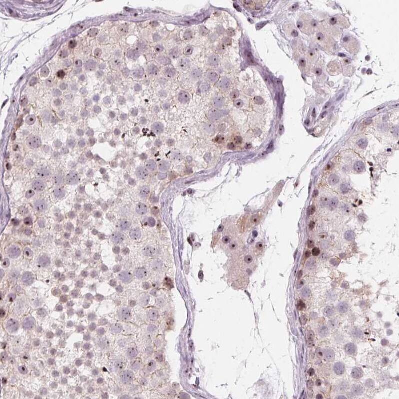
Immunohistochemistry-Paraffin: DNTTIP2 Antibody [NBP1-91845] - Staining of human testis shows moderate nucleolar positivity in subset of cells in seminiferous ducts and Leydig cells.Applications for DNTTIP2 Antibody - BSA Free
Application
Recommended Usage
Immunocytochemistry/ Immunofluorescence
0.25-2 ug/ml
Immunohistochemistry
1:1000 - 1:2500
Immunohistochemistry-Paraffin
1:1000 - 1:2500
Western Blot
0.04-0.4 ug/ml
Application Notes
For IHC-Paraffin, HIER pH 6 retrieval is recommended. ICC/IF Fixation Permeabilization: Use PFA/Triton X-100.
Formulation, Preparation, and Storage
Purification
Affinity purified
Formulation
PBS (pH 7.2) and 40% Glycerol
Format
BSA Free
Preservative
0.02% Sodium Azide
Concentration
Concentrations vary lot to lot. See vial label for concentration. If unlisted please contact technical services.
Shipping
The product is shipped with polar packs. Upon receipt, store it immediately at the temperature recommended below.
Stability & Storage
Store at 4C short term. Aliquot and store at -20C long term. Avoid freeze-thaw cycles.
Background: DNTTIP2
Alternate Names
acidic 82 kDa protein mRNA, deoxynucleotidyltransferase terminal-interacting protein 2, deoxynucleotidyltransferase, terminal, interacting protein 2, ERBP, estrogen receptor binding protein, FCF2, FLJ98849, HSU15552, LPTS-interacting protein 2, LPTS-RP2, MGC163494, TdIF2, tdT-interacting factor 2
Gene Symbol
DNTTIP2
Additional DNTTIP2 Products
Product Documents for DNTTIP2 Antibody - BSA Free
Product Specific Notices for DNTTIP2 Antibody - BSA Free
This product is for research use only and is not approved for use in humans or in clinical diagnosis. Primary Antibodies are guaranteed for 1 year from date of receipt.
Loading...
Loading...
Loading...
Loading...