Skip to main content

DNTTIP1 Antibody

Novus Biologicals, part of Bio-Techne | Catalog # NBP3-48554

Novus Biologicals, part of Bio-Techne
Catalog #
Availability
Size / Price
Qty
Loading...
NBP3-48554

Key Product Details

Species Reactivity

Mouse, Rat

Applications

Immunohistochemistry, Immunohistochemistry-Paraffin

Label

Unconjugated

Antibody Source

Polyclonal Rabbit IgG

Concentration

Concentrations vary lot to lot. See vial label for concentration. If unlisted please contact technical services.

Product Specifications

Immunogen

Recombinant protein encompassing a sequence within the center region of human DNTTIP1. The exact sequence is proprietary.

Clonality

Polyclonal

Host

Rabbit

Isotype

IgG

Description

Novus Biologicals Rabbit DNTTIP1 Antibody (NBP3-48554) is a polyclonal antibody validated for use in IHC. All Novus Biologicals antibodies are covered by our 100% guarantee.

Scientific Data Images for DNTTIP1 Antibody

DNTTIP1 Antibody

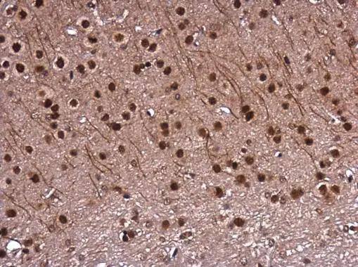
Immunohistochemistry: DNTTIP1 Antibody [NBP3-48554] -

DNTTIP1 antibody detects DNTTIP1 protein at nucleus on mouse hind brain by immunohistochemical analysis.
Sample: Paraffin-embedded mouse hind brain.
DNTTIP1 antibody (NBP3-48554) dilution: 1:1000.


Antigen Retrieval: (EDTA based, pH 8.0) buffer, 15min
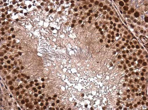
DNTTIP1 Antibody

Immunohistochemistry-Paraffin: DNTTIP1 Antibody [NBP3-48554] -

DNTTIP1 antibody detects DNTTIP1 protein at nucleus in mouse brain by immunohistochemical analysis.
Sample: Paraffin-embedded mouse brain.
DNTTIP1 antibody (NBP3-48554) diluted at 1:500.
^[^GTX]br>Antigen Retrieval: Citrate buffer, pH 6.0, 15 min
DNTTIP1 Antibody

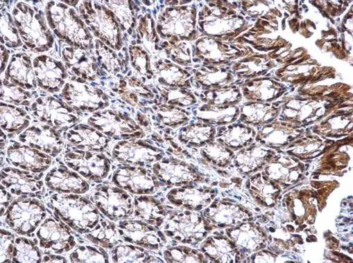
Immunohistochemistry: DNTTIP1 Antibody [NBP3-48554] -

DNTTIP1 antibody detects DNTTIP1 protein at nucleus on mouse colon by immunohistochemical analysis.
Sample: Paraffin-embedded mouse colon.
DNTTIP1 antibody (NBP3-48554) dilution: 1:1000.

Antigen Retrieval: (EDTA based, pH 8.0) buffer, 15min

Applications for DNTTIP1 Antibody

Application
Recommended Usage

Immunohistochemistry-Paraffin

1:100-1:1000

Formulation, Preparation, and Storage

Purification

Antigen Affinity-purified

Formulation

PBS, 20% Glycerol

Preservative

0.01% Thimerosal

Concentration

Concentrations vary lot to lot. See vial label for concentration. If unlisted please contact technical services.

Shipping

The product is shipped with polar packs. Upon receipt, store it immediately at the temperature recommended below.

Stability & Storage

Store at 4C short term. Aliquot and store at -20C long term. Avoid freeze-thaw cycles.

Background: DNTTIP1

DNTTIP1 binds DNA and enhances the activity of terminal deoxynucleotidyltransferase (TDT, or DNTT; MIM 187410), a DNA polymerase that catalyzes the polymerization of DNA in the absence of a DNA template (Yamashita et al., 2001 [PubMed 11473582]).[supplied by OMIM]

Alternate Names

C20orf167, chromosome 20 open reading frame 167, deoxynucleotidyltransferase terminal-interacting protein 1, deoxynucleotidyltransferase, terminal, interacting protein 1, dJ447F3.4, TdIF1, TdT binding protein, TdT-interacting factor 1, Terminal deoxynucleotidyltransferase-interacting factor 1

Gene Symbol

DNTTIP1

Additional DNTTIP1 Products

Product Documents for DNTTIP1 Antibody

Certificate of Analysis

To download a Certificate of Analysis, please enter a lot number in the search box below.

Product Specific Notices for DNTTIP1 Antibody

This product is for research use only and is not approved for use in humans or in clinical diagnosis. Primary Antibodies are guaranteed for 1 year from date of receipt.

Loading...
Loading...
Loading...
Loading...