Skip to main content

Dnmt3L Antibody - BSA Free

Novus Biologicals, part of Bio-Techne | Catalog # NBP2-39076

Novus Biologicals, part of Bio-Techne
Catalog #
Availability
Size / Price
Qty
Loading...
NBP2-39076
NBP2-39076-25ul

Key Product Details

Species Reactivity

Human

Applications

Immunohistochemistry, Immunohistochemistry-Paraffin

Label

Unconjugated

Antibody Source

Polyclonal Rabbit IgG

Format

BSA Free

Concentration

Concentrations vary lot to lot. See vial label for concentration. If unlisted please contact technical services.

Product Specifications

Immunogen

This antibody was developed against a recombinant protein corresponding to amino acids: GKVHAMSNWVCYLCLPSSRSGLLQRRRKWRSQLKAFYDRESENPLEMFETVPVWRRQPVRVL

Clonality

Polyclonal

Host

Rabbit

Isotype

IgG

Description

Novus Biologicals Rabbit Dnmt3L Antibody - BSA Free (NBP2-39076) is a polyclonal antibody validated for use in IHC. All Novus Biologicals antibodies are covered by our 100% guarantee.

Scientific Data Images for Dnmt3L Antibody - BSA Free

Immunohistochemistry-Paraffin: Dnmt3L Antibody [NBP2-39076]

Immunohistochemistry-Paraffin: Dnmt3L Antibody [NBP2-39076]

Immunohistochemistry-Paraffin: Dnmt3L Antibody [NBP2-39076] - Prostate cancer tissue stained with DNMT3L. Intense nuclear staining in carcinoma cells. (original magnification X200). Image submitted by a verified customer review.
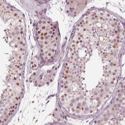
Immunohistochemistry-Paraffin: Dnmt3L Antibody [NBP2-39076]

Immunohistochemistry-Paraffin: Dnmt3L Antibody [NBP2-39076]

Immunohistochemistry-Paraffin: Dnmt3L Antibody [NBP2-39076] - Staining of human testis shows moderate nuclear positivity in cells in seminiferous ducts.

Applications for Dnmt3L Antibody - BSA Free

Application
Recommended Usage

Immunohistochemistry

1:500 - 1:1000

Immunohistochemistry-Paraffin

1:500 - 1:1000
Application Notes
For IHC-Paraffin, HIER pH 6 retrieval is recommended. Dnmt3L antibody validated for IHC-P from a verified customer review.

Reviewed Applications

Read 1 review rated 4 using NBP2-39076 in the following applications:

Formulation, Preparation, and Storage

Purification

Immunogen affinity purified

Formulation

PBS (pH 7.2) and 40% Glycerol

Format

BSA Free

Preservative

0.02% Sodium Azide

Concentration

Concentrations vary lot to lot. See vial label for concentration. If unlisted please contact technical services.

Shipping

The product is shipped with polar packs. Upon receipt, store it immediately at the temperature recommended below.

Stability & Storage

Store at 4C short term. Aliquot and store at -20C long term. Avoid freeze-thaw cycles.

Background: Dnmt3L

DNMT 3L is a nuclear protein which has similarity to DNA methyltransferases, involved in de novo methylation of CpG islands. CpG methylation is an epigenetic modification that is important for embryonic development, imprinting, and X-chromosome inactivation. Studies in mice have demonstrated that DNA methylation is required for mammalian development. This gene encodes a nuclear protein with similarity to DNA methyltransferases. This protein is not thought to function as a DNA methyltransferase as it does not contain the amino acid residues necessary for methyltransferase activity. However, this protein does stimulate de novo methylation by DNA cytosine methyltransferase 3 alpha and it is thought to be required for the establishment of maternal genomic imprints. This protein also mediates transcriptional repression through interaction with histone deacetylase 1.

Alternate Names

DNA (cytosine-5-)-methyltransferase 3-like, DNA (cytosine-5)-methyltransferase 3-like, human cytosine-5-methyltransferase 3-like protein, 10cytosine-5-methyltransferase 3-like protein, MGC1090

Gene Symbol

DNMT3L

UniProt

Additional Dnmt3L Products

Product Documents for Dnmt3L Antibody - BSA Free

Certificate of Analysis

To download a Certificate of Analysis, please enter a lot number in the search box below.

Product Specific Notices for Dnmt3L Antibody - BSA Free

This product is for research use only and is not approved for use in humans or in clinical diagnosis. Primary Antibodies are guaranteed for 1 year from date of receipt.

Loading...
Loading...
Loading...
Loading...