Skip to main content

DNMT3A Antibody (PCRP-DNMT3A-1E2)

Novus Biologicals, part of Bio-Techne | Catalog # NBP3-07672

Novus Biologicals, part of Bio-Techne
Catalog #
Availability
Size / Price
Qty
Loading...
NBP3-07672-20ug
NBP3-07672-100ug

Key Product Details

Species Reactivity

Human

Applications

Immunohistochemistry-Paraffin, Western Blot, Protein Array

Label

Unconjugated

Antibody Source

Monoclonal Mouse IgG1 kappa Clone # PCRP-DNMT3A-1E2

Concentration

0.2 mg/ml

Product Specifications

Immunogen

Recombinant human full-length DNMT3A protein (Uniprot: Q16655)

Localization

Nuclear

Specificity

The specificity of this monoclonal antibody to its intended target was validated by HuProtTM Array, containing more than 19,000, full-length human proteins. DNMT3A is required for genome-wide de novo methylation and is essential for the establishment of DNA methylation patterns during development. DNA methylation is coordinated with methylation of histones. It modifies DNA in a non-processive manner and also methylates non-CpG sites. May preferentially methylate DNA linker between 2 nucleosomal cores and is inhibited by histone H1. Plays a role in paternal and maternal imprinting. Required for methylation of most imprinted loci in germ cells. Acts as a transcriptional corepressor for ZBTB18. Recruited to trimethylated 'Lys-36' of histone H3 (H3K36me3) sites. Can actively repress transcription through the recruitment of HDAC activity. Sadenosyl-L-methionin

Clonality

Monoclonal

Host

Mouse

Isotype

IgG1 kappa

Theoretical MW

102 kDa.
Disclaimer note: The observed molecular weight of the protein may vary from the listed predicted molecular weight due to post translational modifications, post translation cleavages, relative charges, and other experimental factors.

Description

200ug/ml of antibody purified from Bioreactor Concentrate by Protein A or G. Prepared in 10 mM PBS with 0.05% BSA & 0.05% azide. Also available WITHOUT BSA & azide at 1.0 mg/ml. (NBP3-08483)

Antibody with azide - store at 2 to 8C. Antibody without azide - store at -20 to -80C.

Scientific Data Images for DNMT3A Antibody (PCRP-DNMT3A-1E2)

Immunohistochemistry-Paraffin: DNMT3A Antibody (PCRP-DNMT3A-1E2) [NBP3-07672]

Immunohistochemistry-Paraffin: DNMT3A Antibody (PCRP-DNMT3A-1E2) [NBP3-07672]

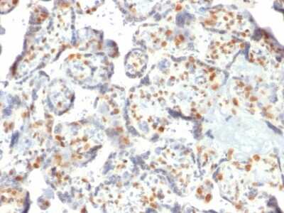
Immunohistochemistry-Paraffin: DNMT3A Antibody (PCRP-DNMT3A-1E2) [NBP3-07672] - Formalin-fixed, paraffin-embedded human Placenta stained with DNMT3A Mouse Monoclonal Antibody (PCRP-DNMT3A-1E2).
Immunohistochemistry-Paraffin: DNMT3A Antibody (PCRP-DNMT3A-1E2) [NBP3-07672]

Immunohistochemistry-Paraffin: DNMT3A Antibody (PCRP-DNMT3A-1E2) [NBP3-07672]

Immunohistochemistry-Paraffin: DNMT3A Antibody (PCRP-DNMT3A-1E2) [NBP3-07672] - Formalin-fixed, paraffin-embedded human Placenta stained with DNMT3A Mouse Monoclonal Antibody (PCRP-DNMT3A-1E2).
Protein Array: DNMT3A Antibody (PCRP-DNMT3A-1E2) [NBP3-07672]

Protein Array: DNMT3A Antibody (PCRP-DNMT3A-1E2) [NBP3-07672]

Protein Array: DNMT3A Antibody (PCRP-DNMT3A-1E2) [NBP3-07672] - Analysis of Protein Array containing more than 19,000 full-length human proteins using DNMT3A Mouse Monoclonal Antibody (PCRP-DNMT3A-1E2).

Applications for DNMT3A Antibody (PCRP-DNMT3A-1E2)

Application
Recommended Usage

Immunohistochemistry-Paraffin

1-2 ug/ml

Western Blot

1-2 ug/ml
Application Notes
Immunohistochemistry (Formalin-fixed): 1-2ug/ml for 30 minutes at RT. Staining of formalin-fixed tissues requires heating tissue sections in 10mM Tris with 1mM EDTA, pH 9.0, for 45 min at 95C followed by cooling at RT for 20 minutes.
Optimal dilution for a specific application should be determined.

Formulation, Preparation, and Storage

Purification

Protein A or G purified

Formulation

10 mM PBS with 0.05% BSA

Preservative

0.05% Sodium Azide

Concentration

0.2 mg/ml

Shipping

The product is shipped with polar packs. Upon receipt, store it immediately at the temperature recommended below.

Stability & Storage

Store at 4C.

Background: DNMT3A

Methylation of cytosine residues is essential for mammalian development by regulating gene expression, gene silencing and genomic imprinting (1). This process is controlled by the enzyme DNA (cytosine-5)-methyltransferase 3A (DNMt3a), which is encoded by the DNMT3A gene and has a predicted molecular weight of 102 kDa. DNA methyltransferases including DNMt3a are involved in de novo cytosine methylation and maintenance of embryonic and somatic cells through the transfer of methyl groups to specific CpG structures in DNA (2). Somatic mutations in DNMT3A are responsible for cytogenetically normal acute myeloid leukemia (CN-AML). Hypermethylation of CpG islands in tumor suppressor genes or hypomethylation of bulk genomic DNA are linked with cancer (3,4). Mutations in the DNMT3A gene have also been found to cause DNMT3A overgrowth syndrome and myelodysplastic syndromes.

References

1. Thakur, A., Mackin, S. J., Irwin, R. E., O'Neill, K. M., Pollin, G., & Walsh, C. (2016). Widespread recovery of methylation at gametic imprints in hypomethylated mouse stem cells following rescue with DNMT3A2. Epigenetics Chromatin, 9, 53. doi:10.1186/s13072-016-0104-2

2. Ravichandran, M., Lei, R., Tang, Q., Zhao, Y., Lee, J., Ma, L., . . . Dawlaty, M. M. (2019). Rinf Regulates Pluripotency Network Genes and Tet Enzymes in Embryonic Stem Cells. Cell Rep, 28(8), 1993-2003.e1995. doi:10.1016/j.celrep.2019.07.080

3. Pang, Y., Liu, J., Li, X., Xiao, G., Wang, H., Yang, G., . . . Ren, H. (2018). MYC and DNMT3A-mediated DNA methylation represses microRNA-200b in triple negative breast cancer. J Cell Mol Med, 22(12), 6262-6274. doi:10.1111/jcmm.13916

4. Xia, L., Huang, W., Bellani, M., Seidman, M. M., Wu, K., Fan, D., . . . Baylin, S. B. (2017). CHD4 Has Oncogenic Functions in Initiating and Maintaining Epigenetic Suppression of Multiple Tumor Suppressor Genes. Cancer Cell, 31(5), 653-668.e657. doi:10.1016/j.ccell.2017.04.005

Long Name

DNA [Cytosine-5-]-Methyltransferase 3A

Alternate Names

DNA (cytosine-5-)-methyltransferase 3 alpha, DNA (cytosine-5)-methyltransferase 3A, DNA cytosine methyltransferase 3A2, DNA Methyltransferase 3 Alpha, DNA methyltransferase HsaIIIA, DNA MTase HsaIIIA, Dnmt3a, DNMT3A2, EC 2.1.1.37, M.HsaIIIA, TBRS

Gene Symbol

DNMT3A

UniProt

Additional DNMT3A Products

Product Documents for DNMT3A Antibody (PCRP-DNMT3A-1E2)

Certificate of Analysis

To download a Certificate of Analysis, please enter a lot number in the search box below.

Product Specific Notices for DNMT3A Antibody (PCRP-DNMT3A-1E2)

This product is for research use only and is not approved for use in humans or in clinical diagnosis. Primary Antibodies are guaranteed for 1 year from date of receipt.

Loading...
Loading...
Loading...
Loading...