Skip to main content

DNAJB11 Antibody - BSA Free

Novus Biologicals, part of Bio-Techne | Catalog # NBP3-12545

Novus Biologicals, part of Bio-Techne
Catalog #
Availability
Size / Price
Qty
Loading...
NBP3-12545-50ul
NBP3-12545-100ul

Key Product Details

Species Reactivity

Human

Applications

Immunohistochemistry, Immunohistochemistry-Paraffin, Western Blot, Immunoprecipitation

Label

Unconjugated

Antibody Source

Polyclonal Rabbit IgG

Format

BSA Free

Concentration

Please see the vial label for concentration. If unlisted please contact technical services.

Product Specifications

Immunogen

Produced in rabbits immunized with E. coli-derived Human DNAJB11 fragment

Clonality

Polyclonal

Host

Rabbit

Isotype

IgG

Description

This antibody can be stored at 2-8C for one month without detectable loss of activity. Antibody products are stable for twelve months from date of receipt when stored at -20C to -80C. Avoid repeated freeze-thaw cycles.

Protein A & Antigen Affinity purified

Scientific Data Images for DNAJB11 Antibody - BSA Free

Western Blot: DNAJB11 Antibody [NBP3-12545]

Western Blot: DNAJB11 Antibody [NBP3-12545]

Western Blot: DNAJB11 Antibody [NBP3-12545] - Lane A: HeLa Whole Cell LysateLane B: COLO205 Whole Cell LysateLane C: MCF-7 Whole Cell LysateLysates/proteins at 30 ug per lane.SecondaryGoat Anti-Rabbit IgG (H+L)/HRP at 1/10000 dilution.Developed using the ECL technique.Performed under reducing conditions.Predicted band size:40 kDaObserved band size:42 kDa
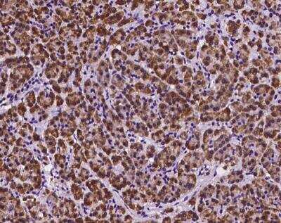
Immunohistochemistry-Paraffin: DNAJB11 Antibody [NBP3-12545]

Immunohistochemistry-Paraffin: DNAJB11 Antibody [NBP3-12545]

Immunohistochemistry-Paraffin: DNAJB11 Antibody [NBP3-12545] - Staining of human DNAJB11 in human pancreas with rabbit polyclonal antibody at 1:500 dilution.
Immunoprecipitation: DNAJB11 Antibody [NBP3-12545]

Immunoprecipitation: DNAJB11 Antibody [NBP3-12545]

Immunoprecipitation: DNAJB11 Antibody [NBP3-12545] - Lane A:0.5 mg HeLa Whole Cell Lysate4 uL anti-DNAJB11 rabbit polyclonal antibody and 60 ug of Immunomagnetic beads Protein A/G.Primary antibody:Anti-DNAJB11 rabbit polyclonal antibody,at 1:100 dilution Secondary antibody:Goat Anti-Rabbit IgG (H+L)/HRP at 1/10000 dilutionDeveloped using the ECL technique.Performed under reducing conditions.Predicted band size: 40 kDaObserved band size :42 kDa

Applications for DNAJB11 Antibody - BSA Free

Application
Recommended Usage

Immunohistochemistry-Paraffin

1:200-1:1000

Immunoprecipitation

1-5uL/mg of uLysate

Western Blot

1:500-1:2000

Formulation, Preparation, and Storage

Purification

Antigen and protein A Affinity-purified

Formulation

PBS

Format

BSA Free

Preservative

0.03% Proclin 300

Concentration

Please see the vial label for concentration. If unlisted please contact technical services.

Shipping

The product is shipped with polar packs. Upon receipt, store it immediately at the temperature recommended below.

Stability & Storage

Store at 4C short term. Aliquot and store at -20C long term. Avoid freeze-thaw cycles.

Background: DNAJB11

Members of the heat shock protein 40 (HSP 40) family of proteins all contain a highly conserved J domain that associates with HSP 70 and regulates the function of HSP 70 by activating its adenosine triphosphatase activity. ERdj3, an HSP 40 chaperone, is expressed in the ER lumen, where it interacts with BiP, a molecule involved in retrotranslocating proteins out of the ER. ERdj3 also associates with several other protein substrates, including unfolded light chains, a nonsecreted Ig light chain mutant and a VSV-G ts045 mutant. Shiga toxin (Stx) is a bacterial tool that enzymatically inactivates the 28S rRNA, inhibiting protein synthesis of infected cells. Stx also interacts with ERdj3 and Sec 61 to form a complex through which proteins are retrotranslocated to the cytoplasm. ERdj3 may play a role in the ER quality control system.

Alternate Names

ABBP-2, APOBEC1-binding protein 2, DnaJ (Hsp40) homolog, subfamily B, member 11, dnaJ homolog subfamily B member 11, DnaJ protein homolog 9, EDJABBP2, ER-associated DNAJ, ER-associated dnaJ protein 3, ER-associated Hsp40 co-chaperone, ERdj3DJ9, ERJ3, ERj3p, HDJ9, hDj-9, HEDJERj3, Human DnaJ protein 9, PRO1080, PWP1-interacting protein 4, UNQ537

Gene Symbol

DNAJB11

Additional DNAJB11 Products

Product Documents for DNAJB11 Antibody - BSA Free

Certificate of Analysis

To download a Certificate of Analysis, please enter a lot number in the search box below.

Product Specific Notices for DNAJB11 Antibody - BSA Free

This product is for research use only and is not approved for use in humans or in clinical diagnosis. Primary Antibodies are guaranteed for 1 year from date of receipt.

Loading...
Loading...
Loading...
Loading...