Skip to main content

DNAJA2 Antibody (OTI3A10)

Novus Biologicals, part of Bio-Techne | Catalog # NBP2-02996

Novus Biologicals, part of Bio-Techne

Key Product Details

Species Reactivity

Human, Mouse, Rat, Canine, Monkey

Applications

Flow Cytometry, Immunocytochemistry/ Immunofluorescence, Immunohistochemistry, Immunohistochemistry-Paraffin, Western Blot

Label

Unconjugated

Antibody Source

Monoclonal Mouse IgG1 Clone # OTI3A10

Concentration

0.37 mg/ml

Product Specifications

Immunogen

Full length human recombinant protein of human DNAJA2 (NP_005871) produced in HEK293T cell.

Reactivity Notes

Please note that this antibody is reactive to Mouse and derived from the same host, Mouse. Mouse-On-Mouse blocking reagent may be needed for IHC and ICC experiments to reduce high background signal. You can find these reagents under catalog numbers PK-2200-NB and MP-2400-NB. Please contact Technical Support if you have any questions.

Clonality

Monoclonal

Host

Mouse

Isotype

IgG1

Theoretical MW

45.6 kDa.
Disclaimer note: The observed molecular weight of the protein may vary from the listed predicted molecular weight due to post translational modifications, post translation cleavages, relative charges, and other experimental factors.

Description

Novus Biologicals Mouse DNAJA2 Antibody (OTI3A10) (NBP2-02996) is a monoclonal antibody validated for use in IHC, WB, Flow and ICC/IF. All Novus Biologicals antibodies are covered by our 100% guarantee.

Scientific Data Images for DNAJA2 Antibody (OTI3A10)

Western Blot: DNAJA2 Antibody (3A10) [NBP2-02996] Analysis of extracts (35ug) from 9 different cell lines by using anti-DNAJA2 monoclonal antibody.
Immunocytochemistry/ Immunofluorescence: DNAJA2 Antibody (OTI3A10) [NBP2-02996]

Immunocytochemistry/ Immunofluorescence: DNAJA2 Antibody (OTI3A10) [NBP2-02996]

Immunocytochemistry/Immunofluorescence: DNAJA2 Antibody (3A10) [NBP2-02996] - Staining of COS7 cells transiently transfected by pCMV6-ENTRY DNAJA2.
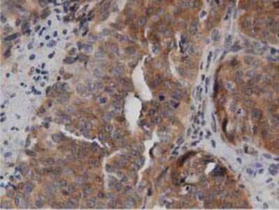
Immunohistochemistry-Paraffin: DNAJA2 Antibody (OTI3A10) [NBP2-02996]

Immunohistochemistry-Paraffin: DNAJA2 Antibody (OTI3A10) [NBP2-02996]

Immunohistochemistry-Paraffin: DNAJA2 Antibody (3A10) [NBP2-02996] - Staining of paraffin-embedded Human thyroid tissue using anti-DNAJA2 mouse monoclonal antibody.

Applications for DNAJA2 Antibody (OTI3A10)

Application
Recommended Usage

Flow Cytometry

1:100

Immunocytochemistry/ Immunofluorescence

1:100

Immunohistochemistry

1:50-150

Immunohistochemistry-Paraffin

1:50-150

Western Blot

1:500

Formulation, Preparation, and Storage

Purification

Immunogen affinity purified

Formulation

PBS (pH 7.3), 1.0% BSA and 50% Glycerol

Preservative

0.02% Sodium Azide

Concentration

0.37 mg/ml

Shipping

The product is shipped with polar packs. Upon receipt, store it immediately at the temperature recommended below.

Stability & Storage

Store at -20C. Avoid freeze-thaw cycles.

Background: DNAJA2

The protein encoded by this gene belongs to the evolutionarily conserved DNAJ/HSP40 family of proteins, which regulate molecular chaperone activity by stimulating ATPase activity. DNAJ proteins may have up to 3 distinct domains: a conserved 70-amino acid J domain, usually at the N terminus; a glycine/phenylalanine (G/F)-rich region; and a cysteine-rich domain containing 4 motifs resembling a zinc finger domain. The product of this gene works as a cochaperone of Hsp70s in protein folding and mitochondrial protein import in vitro. [provided by RefSeq].

Alternate Names

cell cycle progression 3 protein, Cell cycle progression restoration gene 3 protein, CPR3PRO3015, Dj3, DJA2, DNAJ, DnaJ (Hsp40) homolog, subfamily A, member 2, dnaJ homolog subfamily A member 2, Dnj3, HIRA interacting protein 4, HIRA-interacting protein 4, HIRIP4RDJ2, Renal carcinoma antigen NY-REN-14

Entrez Gene IDs

10294 (Human)

Gene Symbol

DNAJA2

Additional DNAJA2 Products

Product Documents for DNAJA2 Antibody (OTI3A10)

Certificate of Analysis

To download a Certificate of Analysis, please enter a lot number in the search box below.

Product Specific Notices for DNAJA2 Antibody (OTI3A10)

This product is for research use only and is not approved for use in humans or in clinical diagnosis. Primary Antibodies are guaranteed for 1 year from date of receipt.

Loading...
Loading...
Loading...
Loading...
Loading...