Skip to main content

DNAH12 Antibody - BSA Free

Novus Biologicals, part of Bio-Techne | Catalog # NBP2-38845

Novus Biologicals, part of Bio-Techne
Catalog #
Availability
Size / Price
Qty
Loading...
NBP2-38845-25ul
NBP2-38845

Key Product Details

Validated by

Orthogonal Validation, Independent Antibodies

Species Reactivity

Human

Applications

Immunohistochemistry, Immunohistochemistry-Paraffin

Label

Unconjugated

Antibody Source

Polyclonal Rabbit IgG

Format

BSA Free

Concentration

Concentrations vary lot to lot. See vial label for concentration. If unlisted please contact technical services.

Product Specifications

Immunogen

This antibody was developed against a recombinant protein corresponding to amino acids: LLCANLLLARKEIEYQELMFLLTGGVSLKSAEKNPDPTWLQDKSWEEICRASEFPAFRGLRQHFCEHIYEWREIYDSKEPHNAKFPAPMDKNLNELQKII

Reactivity Notes

Immunogen displays the following percentage of sequence identity for non-tested species: Mouse (87%), Rat (84%).

Clonality

Polyclonal

Host

Rabbit

Isotype

IgG

Description

Novus Biologicals Rabbit DNAH12 Antibody - BSA Free (NBP2-38845) is a polyclonal antibody validated for use in IHC. All Novus Biologicals antibodies are covered by our 100% guarantee.

Scientific Data Images for DNAH12 Antibody - BSA Free

Immunohistochemistry-Paraffin: DNAH12 Antibody [NBP2-38845]

Immunohistochemistry-Paraffin: DNAH12 Antibody [NBP2-38845]

Immunohistochemistry-Paraffin: DNAH12 Antibody [NBP2-38845] - Staining in human fallopian tube and prostate tissues using anti-DNAH12 antibody. Corresponding DNAH12 RNA-seq data are presented for the same tissues.
Immunohistochemistry-Paraffin: DNAH12 Antibody [NBP2-38845]

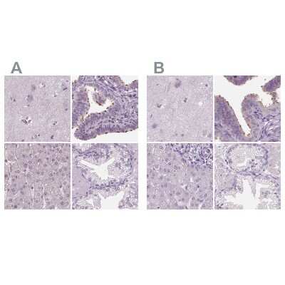
Immunohistochemistry-Paraffin: DNAH12 Antibody [NBP2-38845]

Immunohistochemistry-Paraffin: DNAH12 Antibody [NBP2-38845] - Staining of human cerebral cortex, fallopian tube, liver and prostate using Anti-DNAH12 antibody NBP2-38845 (A) shows similar protein distribution across tissues to independent antibody NBP1-90586 (B).

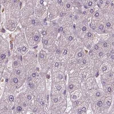
IHC-P: DNAH12 Antibody [NBP2-38845] -

IHC-P: DNAH12 Antibody [NBP2-38845] - Staining of human liver.

Applications for DNAH12 Antibody - BSA Free

Application
Recommended Usage

Immunohistochemistry

1:500 - 1:1000

Immunohistochemistry-Paraffin

1:500 - 1:1000
Application Notes
For IHC-Paraffin, HIER pH 6 retrieval is recommended.

Formulation, Preparation, and Storage

Purification

Affinity purified

Formulation

PBS (pH 7.2) and 40% Glycerol

Format

BSA Free

Preservative

0.02% Sodium Azide

Concentration

Concentrations vary lot to lot. See vial label for concentration. If unlisted please contact technical services.

Shipping

The product is shipped with polar packs. Upon receipt, store it immediately at the temperature recommended below.

Stability & Storage

Store at 4C short term. Aliquot and store at -20C long term. Avoid freeze-thaw cycles.

Background: DNAH12

Alternate Names

axonemal beta dynein heavy chain 12, axonemal dynein heavy chain isotype3, axonemal, heavy polypeptide 12, ciliary dynein heavy chain 12, DHC3, DLP12, DNAH12L, DNAH7L, DNAHC12, DNAHC3, DNHD2, dynein heavy chain 12, axonemal, dynein heavy chain domain-containing protein 2, dynein, axonemal, heavy chain 12, dynein, heavy chain-5, FLJ40427, FLJ44290, HDHC3, HL19, HL-19

Gene Symbol

DNAH12

UniProt

Additional DNAH12 Products

Product Documents for DNAH12 Antibody - BSA Free

Certificate of Analysis

To download a Certificate of Analysis, please enter a lot number in the search box below.

Product Specific Notices for DNAH12 Antibody - BSA Free

This product is for research use only and is not approved for use in humans or in clinical diagnosis. Primary Antibodies are guaranteed for 1 year from date of receipt.

Loading...
Loading...
Loading...
Loading...