Skip to main content

DNA polymerase delta p50 Antibody - BSA Free

Novus Biologicals, part of Bio-Techne | Catalog # NBP2-32093

Novus Biologicals, part of Bio-Techne

Key Product Details

Validated by

Independent Antibodies, Biological Validation

Species Reactivity

Human

Applications

Immunohistochemistry, Western Blot, Immunoprecipitation

Label

Unconjugated

Antibody Source

Polyclonal Rabbit IgG

Format

BSA Free

Concentration

1.0 mg/ml

Product Specifications

Immunogen

The immunogen this antibody was made to, maps to a region between residue 419 to 469 of human Polymerase (DNA directed), Delta 2, Accessory Subunit using the numbering given in entry NP_001120690.1 (GeneID 5425).

Clonality

Polyclonal

Host

Rabbit

Isotype

IgG

Description

Novus Biologicals Rabbit DNA polymerase delta p50 Antibody - BSA Free (NBP2-32093) is a polyclonal antibody validated for use in IHC, WB and IP. All Novus Biologicals antibodies are covered by our 100% guarantee.

Scientific Data Images for DNA polymerase delta p50 Antibody - BSA Free

Western Blot: DNA polymerase delta p50 Antibody [NBP2-32093]

Western Blot: DNA polymerase delta p50 Antibody [NBP2-32093]

Western Blot: DNA polymerase delta p50 Antibody [NBP2-32093] - Whole cell lysate (0.5 or 1.0 mg per IP reaction; 20% of IP loaded) from 293T cells. Antibodies: Affinity purified rabbit anti-PolD2 antibody NBP2-32093 used for IP at 6 ug per reaction. PolD2 was also immunoprecipitated by rabbit anti-PolD2 antibody BL15767. For blotting immunoprecipitated PolD2, NBP2-32093was used at 1 ug/ml. Detection: Chemiluminescence with an exposure time of 30 seconds.
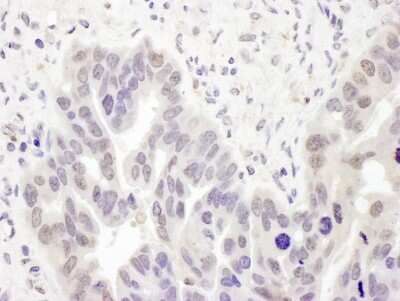
Immunohistochemistry: DNA polymerase delta p50 Antibody [NBP2-32093]

Immunohistochemistry: DNA polymerase delta p50 Antibody [NBP2-32093]

Immunohistochemistry: DNA polymerase delta p50 Antibody [NBP2-32093] - Sample: FFPE section of human ovarian carcinoma. Antibody: Affinity purified rabbit anti- PolD2 used at a dilution of 1:1,000 (1ug/ml). Detection: DAB. Counterstain: IHC Hematoxylin (blue).
Western Blot: DNA polymerase delta p50 Antibody [NBP2-32093]

Western Blot: DNA polymerase delta p50 Antibody [NBP2-32093]

Western Blot: DNA polymerase delta p50 Antibody [NBP2-32093] - Whole cell lysate (50 ug) from HeLa, 293T, and Jurkat cells. Antibodies: Affinity purified rabbit anti-PolD2 antibody NBP2-32093 used for WB at 0.4 ug/ml. Detection: Chemiluminescence with an exposure time of 3 minutes.

Applications for DNA polymerase delta p50 Antibody - BSA Free

Application
Recommended Usage

Immunoprecipitation

2 - 10 ug/mg lysate

Western Blot

1:1000 - 1:5000

Formulation, Preparation, and Storage

Purification

Immunogen affinity purified

Formulation

Tris-Citrate/Phosphate (pH 7.0 - 8.0)

Format

BSA Free

Preservative

0.09% Sodium Azide

Concentration

1.0 mg/ml

Shipping

The product is shipped with polar packs. Upon receipt, store it immediately at the temperature recommended below.

Stability & Storage

Store at 4C. Do not freeze.

Background: DNA polymerase delta p50

The DNA polymerase delta complex is involved in DNA replication and repair, and it consists of the proliferating cell nuclear antigen (PCNA; MIM 176740), the multisubunit replication factor C (see MIM 102579), and the 4 subunit polymerase complex: POLD1 (MIM 174761), POLD2, POLD3 (MIM 611415), and POLD4 (MIM 611525) (Liu and Warbrick, 2006 [PubMed 16934752]).[supplied by OMIM]

Alternate Names

delta 2, regulatory subunit (50kD), polymerase (DNA directed), delta 2, regulatory subunit 50kDa

Gene Symbol

POLD2

Additional DNA polymerase delta p50 Products

Product Documents for DNA polymerase delta p50 Antibody - BSA Free

Certificate of Analysis

To download a Certificate of Analysis, please enter a lot number in the search box below.

Product Specific Notices for DNA polymerase delta p50 Antibody - BSA Free

This product is for research use only and is not approved for use in humans or in clinical diagnosis. Primary Antibodies are guaranteed for 1 year from date of receipt.

Loading...
Loading...
Loading...
Loading...