Skip to main content

DNA polymerase delta p50 Antibody - BSA Free

Novus Biologicals, part of Bio-Techne | Catalog # NBP1-90925

Novus Biologicals, part of Bio-Techne
Catalog #
Availability
Size / Price
Qty
Loading...
NBP1-90925
NBP1-90925-25ul

Key Product Details

Validated by

Knockout/Knockdown

Species Reactivity

Human

Applications

Immunohistochemistry, Immunohistochemistry-Paraffin, Western Blot, Immunocytochemistry/ Immunofluorescence, Knockdown Validated

Label

Unconjugated

Antibody Source

Polyclonal Rabbit IgG

Format

BSA Free

Concentration

Concentrations vary lot to lot. See vial label for concentration. If unlisted please contact technical services.

Product Specifications

Immunogen

This antibody was developed against Recombinant Protein corresponding to amino acids: PRSKYIHPDDELVLEDELQRIKLKGTIDVSKLVTGTVLAVFGSVRDDGKFLVEDYCFADLAPQKPAPPLDTDRFVLLVSGLGLGGGGGESLLGTQLLVDVVTGQLGDEGEQC

Clonality

Polyclonal

Host

Rabbit

Isotype

IgG

Description

Novus Biologicals Rabbit DNA polymerase delta p50 Antibody - BSA Free (NBP1-90925) is a polyclonal antibody validated for use in IHC, WB and ICC/IF. All Novus Biologicals antibodies are covered by our 100% guarantee.

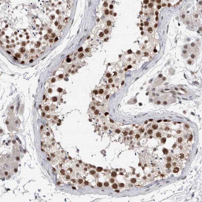
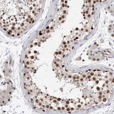
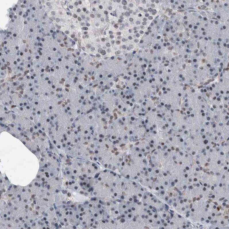
Scientific Data Images for DNA polymerase delta p50 Antibody - BSA Free

Western Blot: DNA polymerase delta p50 Antibody [NBP1-90925]

Western Blot: DNA polymerase delta p50 Antibody [NBP1-90925]

Western Blot: DNA polymerase delta p50 Antibody [NBP1-90925] - Analysis in U2OS cells transfected with control siRNA, target specific siRNA probe #1 and #2, using Anti-POLD2 antibody. Remaining relative intensity is presented. Loading control: Anti-GAPDH.
Western Blot: DNA polymerase delta p50 Antibody [NBP1-90925]

Western Blot: DNA polymerase delta p50 Antibody [NBP1-90925]

Western Blot: DNA polymerase delta p50 Antibody [NBP1-90925] - Analysis in mouse cell line NIH-3T3 and rat cell line NBT-II.
Immunocytochemistry/ Immunofluorescence: DNA polymerase delta p50 Antibody [NBP1-90925]

Immunocytochemistry/ Immunofluorescence: DNA polymerase delta p50 Antibody [NBP1-90925]

Immunocytochemistry/Immunofluorescence: DNA polymerase delta p50 Antibody [NBP1-90925] - Staining of human cell line U-2 OS shows localization to nucleoplasm. Antibody staining is shown in green.

Applications for DNA polymerase delta p50 Antibody - BSA Free

Application
Recommended Usage

Immunocytochemistry/ Immunofluorescence

0.25-2 ug/ml

Immunohistochemistry

1:50 - 1:200

Immunohistochemistry-Paraffin

1:50 - 1:200

Western Blot

0.04-0.4 ug/ml
Application Notes
For IHC-Paraffin, HIER pH 6 retrieval is recommended. ICC/IF Fixation Permeabilization: Use PFA/Triton X-100.

Formulation, Preparation, and Storage

Purification

Affinity purified

Formulation

PBS (pH 7.2) and 40% Glycerol

Format

BSA Free

Preservative

0.02% Sodium Azide

Concentration

Concentrations vary lot to lot. See vial label for concentration. If unlisted please contact technical services.

Shipping

The product is shipped with polar packs. Upon receipt, store it immediately at the temperature recommended below.

Stability & Storage

Store at 4C short term. Aliquot and store at -20C long term. Avoid freeze-thaw cycles.

Background: DNA polymerase delta p50

The DNA polymerase delta complex is involved in DNA replication and repair, and it consists of the proliferating cell nuclear antigen (PCNA; MIM 176740), the multisubunit replication factor C (see MIM 102579), and the 4 subunit polymerase complex: POLD1 (MIM 174761), POLD2, POLD3 (MIM 611415), and POLD4 (MIM 611525) (Liu and Warbrick, 2006 [PubMed 16934752]).[supplied by OMIM]

Alternate Names

delta 2, regulatory subunit (50kD), polymerase (DNA directed), delta 2, regulatory subunit 50kDa

Gene Symbol

POLD2

Additional DNA polymerase delta p50 Products

Product Documents for DNA polymerase delta p50 Antibody - BSA Free

Certificate of Analysis

To download a Certificate of Analysis, please enter a lot number in the search box below.

Product Specific Notices for DNA polymerase delta p50 Antibody - BSA Free

This product is for research use only and is not approved for use in humans or in clinical diagnosis. Primary Antibodies are guaranteed for 1 year from date of receipt.

Loading...
Loading...
Loading...
Loading...