Skip to main content

DLL4 Antibody - BSA Free

Novus Biologicals, part of Bio-Techne | Catalog # NB600-892

Novus Biologicals, part of Bio-Techne
Catalog #
Availability
Size / Price
Qty
Loading...
NB600-892
NB600-892SS

Key Product Details

Species Reactivity

Validated:

Human, Mouse, Rat

Cited:

Human, Mouse, Rat

Applications

Validated:

Immunohistochemistry, Immunohistochemistry-Paraffin, Western Blot, ELISA, Flow Cytometry, Immunocytochemistry/ Immunofluorescence

Cited:

Immunohistochemistry-Paraffin, Western Blot, Flow Cytometry, Immunocytochemistry/ Immunofluorescence, IF/IHC

Label

Unconjugated

Antibody Source

Polyclonal Rabbit IgG

Format

BSA Free

Concentration

Please see the vial label for concentration. If unlisted please contact technical services.

Product Specifications

Immunogen

DLL4 antibody was prepared from whole rabbit serum produced by repeated immunizations with a synthetic peptide corresponding to an internal region of Human DLL4. (Uniprot: Q9NR61)

Reactivity Notes

A BLAST analysis was used to suggest reactivity with this protein from human based on 100% homology for the immunogen sequence. However, cross reactivity is expected with mouse, rat and chimpanzee DLL4 based on a 91% homology to the core 12 amino acid sequence within the 14 amino acid immunogen sequence. Cross reactivity with DLL4 homologues from other sources has not been determined.

Mouse reactivity reported in scientific literature (PMID: 27735989).

Rat reactivity reported in scientific literature (PMID: 19828677).

Localization

Type I membrane protein.

Clonality

Polyclonal

Host

Rabbit

Isotype

IgG

Description

DLL4 affinity purified antibody is directed against human DLL4. The product was affinity purified from monospecific antiserum by immunoaffinity chromatography

Store vial at -20C prior to opening. Aliquot contents and freeze at -20C or below for extended storage. Avoid cycles of freezing and thawing. Centrifuge product if not completely clear after standing at room temperature. This product is stable for several weeks at 4C as an undiluted liquid. Dilute only prior to immediate use.

Scientific Data Images for DLL4 Antibody - BSA Free

Western Blot: DLL4 Antibody [NB600-892]

Western Blot: DLL4 Antibody [NB600-892]

Western Blot: DLL4 Antibody [NB600-892] - Western Blot of DLL4 antibody. Lane 1: Mouse Pancreas Whole Cell Lysate. Lane 2: HUVEK Whole Cell Lysate.Lane 3: Human rDLL4.Lane 4: HEK293 Whole Cell Lysate + Human rDLL4. Lane 5: HEK293 Whole Cell Lysate.Load: 10 ug per lane for Whole Cell Lysates or 50 ng for recombinant protein.Primary antibody: DLL4 antibody at 1:1,000 overnight at 4C.Secondary antibody: Peroxidase rabbit secondary antibody at 1:40,000 for 30 min at RT.Block: Blocking Buffer for Fluorescent Western Blotting for 30 min at RT.Predicted/Observed size: 74 kDa, 74 kDa for DLL4. Other band(s): Not Identified.
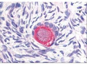
Immunohistochemistry: DLL4 Antibody [NB600-892]

Immunohistochemistry: DLL4 Antibody [NB600-892]

Immunohistochemistry: DLL4 Antibody [NB600-892] - Affinity Purified DLL4 antibody was used at 20 ug/ml to detect DLL4 in a variety of tissues including colon, liver, skeletal muscle, ovary, pancreas, prostate, testes, thymus, tonsil and uterus. In contrast to reported findings, no staining was observed in vascular tissue. This image shows DLL4 staining of human ovary. Tissue was formalin-fixed and paraffin embedded.
Western Blot: DLL4 Antibody [NB600-892]

Western Blot: DLL4 Antibody [NB600-892]

Western Blot: DLL4 Antibody [NB600-892] - Western Blot of DLL4 antibody. Lane 1: mouse pancreatic tissue. Load: 20 ug per lane.Primary antibody: DLL4 antibody at 1:500 for overnight at 4C.Secondary antibody: HRP-labeled Goat anti-Rabbit IgG secondary antibody at 1:5,000 for 1 hour at RT. A chemiluminescence system was used for signal detection using a 3 min exposure time.Block: 5% Goat Serum overnight at 4C.Predicted/Observed size: 74 kDa, 70 kDa for Delta 4. Other band(s): none.

Applications for DLL4 Antibody - BSA Free

Application
Recommended Usage

ELISA

1:10000-1:50000

Immunocytochemistry/ Immunofluorescence

1:10 - 1:500

Immunohistochemistry

10 ug/ml-20 ug/ml

Immunohistochemistry-Paraffin

10 ug/ml-20 ug/ml

Western Blot

1:500-1:2500
Application Notes
This product has been tested for use in ELISA, immunohistochemistry and western blotting. Specific conditions for reactivity should be optimized by the end user. Expect a band approximately 74 kDa in size corresponding to DELTA-4 by western blotting in the appropriate cell lysate or extract. For best results use Goat Serum as blocking agent in western blotting.

Use in Immunocytochemistry/immunofluorescence reported in scientific literature (PMID 28352669).

Use in FLOW reported in scientific literature (PMID: 19915058).

Reviewed Applications

Read 1 review rated 1 using NB600-892 in the following applications:

Formulation, Preparation, and Storage

Purification

Immunogen affinity purified

Formulation

0.02 M Potassium Phosphate, 0.15 M Sodium Chloride, pH 7.2

Format

BSA Free

Preservative

0.01% Sodium Azide

Concentration

Please see the vial label for concentration. If unlisted please contact technical services.

Shipping

The product is shipped with polar packs. Upon receipt, store it immediately at the temperature recommended below.

Stability & Storage

Store at -20C short term. Aliquot and store at -80C long term. Avoid freeze-thaw cycles.

Background: DLL4

DLL4 (delta-like ligand 4) is a key player of Notch signaling pathway that has been extensively studied in tumor angiogenesis wherein its blockade results in non-productive angiogenesis followed by halted tumor growth. Notch signaling is evolutionarily conserved, and is consists of four receptors (Notch1-4) and five transmembrane ligands (Jagged1, 2, Delta like ligands 1, 3, 4). Among Notch ligands, DLL4 activates Notch1/Notch4 for serving important role in normal development and tissue homeostasis by implicating in immune system, gastro-intestinal tract, and vascular development in embryonic/postnatal development. DLL4 is largely an arterial-endothelial-specific gene expressed during embryonic development, while in adults its expression is mostly restricted to small arteries and capillary networks. Haploinsufficiency of DLL4 in mice results in embryonic lethality due to abnormal vasculogenesis characterized by a dense, disrupted and non-functional capillary network. DLL4 has a negative feedback effect on VEGFR2 signaling and in tumor vasculature, it plays a role in negative regulation of tumor vascularization. DLL4 protein shows cytoplasmic expression in cancer cells from where it translocates to nuclei upon hypoxic stimulus and DLL4 induced Notch activation is intimately related to tumor invasion as well as tumor-initiating cell frequency.

Long Name

Delta-like 4

Alternate Names

delta 4, Delta 4 precursor, delta ligand 4, delta4, delta-like 4 (Drosophila), delta-like 4 homolog, delta-like 4 homolog (Drosophila), delta-like 4 protein, delta-like protein 4, Drosophila Delta homolog 4, hdelta2, MGC126344, notch ligand delta-2, notch ligand DLL4

Entrez Gene IDs

54567 (Human)

Gene Symbol

DLL4

UniProt

Additional DLL4 Products

Product Documents for DLL4 Antibody - BSA Free

Certificate of Analysis

To download a Certificate of Analysis, please enter a lot number in the search box below.

Product Specific Notices for DLL4 Antibody - BSA Free

This product is for research use only and is not approved for use in humans or in clinical diagnosis. Primary Antibodies are guaranteed for 1 year from date of receipt.

Loading...
Loading...
Loading...
Loading...
Loading...
Loading...