Skip to main content

DISP1 Antibody - BSA Free

Novus Biologicals, part of Bio-Techne | Catalog # NBP2-81818

Novus Biologicals, part of Bio-Techne

Key Product Details

Species Reactivity

Human, Mouse

Applications

Immunohistochemistry, Immunohistochemistry-Paraffin, Western Blot, ELISA, Immunocytochemistry/ Immunofluorescence

Label

Unconjugated

Antibody Source

Polyclonal Rabbit IgG

Format

BSA Free

Concentration

1 mg/ml

Product Specifications

Immunogen

DISP1 antibody was raised against a 16 amino acid synthetic peptide near the amino terminus of human DISP1. The immunogen is located within amino acids 20 - 70 of DISP1. Amino Acid Squence: CQLTPKEATRTKVSPNG

Specificity

At least two isoforms of DISP1 are known to exist; this antibody will detect both isoforms. DISP1 antibody is predicted to not cross-react with EMX1.

Clonality

Polyclonal

Host

Rabbit

Isotype

IgG

Description

Novus Biologicals Rabbit DISP1 Antibody - BSA Free (NBP2-81818) is a polyclonal antibody validated for use in IHC, WB, ELISA and ICC/IF. All Novus Biologicals antibodies are covered by our 100% guarantee.

Scientific Data Images for DISP1 Antibody - BSA Free

Western Blot: DISP1 AntibodyBSA Free [NBP2-81818]

Western Blot: DISP1 AntibodyBSA Free [NBP2-81818]

Western Blot: DISP1 Antibody [NBP2-81818] - Analysis of DISP1 in 3T3 cell lysate with DISP1 antibody at 1 ug/ml.
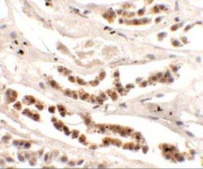
Immunohistochemistry: DISP1 Antibody - BSA Free [NBP2-81818]

Immunohistochemistry: DISP1 Antibody - BSA Free [NBP2-81818]

Immunohistochemistry: DISP1 Antibody [NBP2-81818] - Immunohistochemistry of DISP1 in human kidney tissue with DISP1 antibody at 2.5 ug/mL.
DISP1 Antibody - BSA Free

Immunocytochemistry/ Immunofluorescence: DISP1 Antibody - BSA Free [NBP2-81818] -

Immunocytochemistry/ Immunofluorescence: DISP1 Antibody - BSA Free [NBP2-81818] - Immunofluorescence of DISP1 in human kidney tissue with DISP1 antibody at 20 ug/mL.

Applications for DISP1 Antibody - BSA Free

Application
Recommended Usage

Immunocytochemistry/ Immunofluorescence

20 ug/ml

Immunohistochemistry

2.5 ug/ml

Western Blot

1-2 ug/ml

Formulation, Preparation, and Storage

Purification

Peptide affinity purified

Formulation

PBS

Format

BSA Free

Preservative

0.02% Sodium Azide

Concentration

1 mg/ml

Shipping

The product is shipped with polar packs. Upon receipt, store it immediately at the temperature recommended below.

Stability & Storage

Store at 4C short term. Aliquot and store at -20C long term. Avoid freeze-thaw cycles.

Background: DISP1

The pattern of cellular proliferation and differentiation that leads to normal development of embryonic structuresoften depends upon the localized production of secreted protein signals. Cells surrounding the source of a particularsignal respond in a graded manner according to the effective concentration of the signal, and this response producesthe pattern of cell types constituting the mature structure. A novel segment-polarity gene known as dispatched hasbeen identified in Drosophila and its protein product is required for normal Hedgehog (Hh) signaling. This gene is oneof two human homologs of Drosophila dispatched and, based on sequence identity to its mouse counterpart, the encodedprotein may play an essential role in Hh patterning activities in the early embryo. (provided by RefSeq)

Long Name

Dispatched 1

Alternate Names

DISPA, Dispatched

Gene Symbol

DISP1

Additional DISP1 Products

Product Documents for DISP1 Antibody - BSA Free

Certificate of Analysis

To download a Certificate of Analysis, please enter a lot number in the search box below.

Product Specific Notices for DISP1 Antibody - BSA Free

This product is for research use only and is not approved for use in humans or in clinical diagnosis. Primary Antibodies are guaranteed for 1 year from date of receipt.

Loading...
Loading...
Loading...
Loading...