Skip to main content

Dishevelled-2 Antibody - BSA Free

Novus Biologicals, part of Bio-Techne | Catalog # NBP2-16168

Novus Biologicals, part of Bio-Techne
Catalog #
Availability
Size / Price
Qty
Loading...
NBP2-16168

Key Product Details

Validated by

Independent Antibodies

Species Reactivity

Validated:

Human, Mouse, Rat

Predicted:

Bovine (92%), Monkey (96%). Backed by our 100% Guarantee.

Applications

Western Blot, Immunocytochemistry/ Immunofluorescence

Label

Unconjugated

Antibody Source

Polyclonal Rabbit IgG

Format

BSA Free

Concentration

Concentrations vary lot to lot. See vial label for concentration. If unlisted please contact technical services.

Product Specifications

Immunogen

Recombinant protein encompassing a sequence within the center region of human Dishevelled-2. The exact sequence is proprietary.

Reactivity Notes

Rhesus Monkey (96%).

Localization

Cytoplasm

Clonality

Polyclonal

Host

Rabbit

Isotype

IgG

Theoretical MW

79 kDa.
Disclaimer note: The observed molecular weight of the protein may vary from the listed predicted molecular weight due to post translational modifications, post translation cleavages, relative charges, and other experimental factors.

Description

Novus Biologicals Rabbit Dishevelled-2 Antibody - BSA Free (NBP2-16168) is a polyclonal antibody validated for use in WB and ICC/IF. All Novus Biologicals antibodies are covered by our 100% guarantee.

Scientific Data Images for Dishevelled-2 Antibody - BSA Free

Western Blot: Dishevelled-2 Antibody [NBP2-16168]

Western Blot: Dishevelled-2 Antibody [NBP2-16168]

Western Blot: Dishevelled-2 Antibody [NBP2-16168] - Various whole cell extracts (30 ug) were separated by 7.5% SDS-PAGE, and the membrane was blotted with Dishevelled-2 antibody diluted at 1:5000. HRP-conjugated anti-rabbit IgG antibody was used to detect the primary antibody.
Immunocytochemistry/ Immunofluorescence: Dishevelled-2 Antibody [NBP2-16168]

Immunocytochemistry/ Immunofluorescence: Dishevelled-2 Antibody [NBP2-16168]

Immunocytochemistry/Immunofluorescence: Dishevelled-2 Antibody [NBP2-16168] - HCT 116 cells were fixed in 4% paraformaldehyde at RT for 15 min. Green: Dvl-2 protein stained by Dvl-2 antibody [N1N3] diluted at 1:500. Blue: Hoechst 33342 staining.
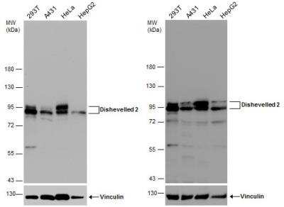
Western Blot: Dishevelled-2 Antibody [NBP2-16168]

Western Blot: Dishevelled-2 Antibody [NBP2-16168]

Western Blot: Dishevelled-2 Antibody [NBP2-16168] - Various whole cell extracts (30 ug) were separated by 7.5% SDS-PAGE, and the membranes were blotted with Dishevelled 2 antibody [N1N3]. HRP-conjugated anti-rabbit IgG antibody was used to detect the primary antibody

Applications for Dishevelled-2 Antibody - BSA Free

Application
Recommended Usage

Immunocytochemistry/ Immunofluorescence

1:100-1:1000

Western Blot

1:1000-1:20000

Formulation, Preparation, and Storage

Purification

Antigen Affinity-purified

Formulation

0.1M Tris, 0.1M Glycine, 10% Glycerol

Format

BSA Free

Preservative

0.01% Thimerosal

Concentration

Concentrations vary lot to lot. See vial label for concentration. If unlisted please contact technical services.

Shipping

The product is shipped with polar packs. Upon receipt, store it immediately at the temperature recommended below.

Stability & Storage

Aliquot and store at -20C or -80C. Avoid freeze-thaw cycles.

Background: Dishevelled-2

This gene encodes a member of the dishevelled (dsh) protein family. The vertebrate dsh proteins have approximately 40% amino acid sequence similarity with Drosophila dsh. This gene encodes a 90-kD protein that undergoes posttranslational phosphorylation to form a 95-kD cytoplasmic protein, which may play a role in the signal transduction pathway mediated by multiple Wnt proteins. The mechanisms of dishevelled function in Wnt signaling are likely to be conserved among metazoans. [provided by RefSeq]

Alternate Names

Dishevelled2, DVL2

Gene Symbol

DVL2

UniProt

Additional Dishevelled-2 Products

Product Documents for Dishevelled-2 Antibody - BSA Free

Certificate of Analysis

To download a Certificate of Analysis, please enter a lot number in the search box below.

Product Specific Notices for Dishevelled-2 Antibody - BSA Free

This product is for research use only and is not approved for use in humans or in clinical diagnosis. Primary Antibodies are guaranteed for 1 year from date of receipt.

Loading...
Loading...
Loading...
Loading...

⚠ WARNING: This product can expose you to chemicals including mercury, which is known to the State of California to cause reproductive toxicity with developmental effects.  For more information go to www.P65Warnings.ca.gov.