Skip to main content

Dihydrolipoamide Dehydrogenase/DLD Antibody (PSH0-83)

Novus Biologicals, part of Bio-Techne | Catalog # NBP3-32539

Recombinant Monoclonal Antibody
Novus Biologicals, part of Bio-Techne
Catalog #
Availability
Size / Price
Qty
Loading...
NBP3-32539

Key Product Details

Species Reactivity

Human, Mouse

Applications

Immunohistochemistry, Immunohistochemistry-Paraffin, Western Blot, Immunocytochemistry/ Immunofluorescence

Label

Unconjugated

Antibody Source

Recombinant Monoclonal Rabbit IgG Clone # PSH0-83 expressed in HEK293

Concentration

1 mg/ml

Product Specifications

Immunogen

Recombinant protein within human Dihydrolipoamide Dehydrogenase/DLD 21-509 / 509. (Uniprot: P09622)

Localization

Mitochondrion matrix, Nucleus, Cell projection, cilium, flagellum, Cytoplasmic vesicle, secretory vesicle, acrosome.

Clonality

Monoclonal

Host

Rabbit

Isotype

IgG

Theoretical MW

54 kDa.
Disclaimer note: The observed molecular weight of the protein may vary from the listed predicted molecular weight due to post translational modifications, post translation cleavages, relative charges, and other experimental factors.

Description

Novus Biologicals Rabbit Dihydrolipoamide Dehydrogenase/DLD Antibody (PSH0-83) (NBP3-32539) is a recombinant monoclonal antibody validated for use in IHC, WB and ICC/IF. All Novus Biologicals antibodies are covered by our 100% guarantee.

Scientific Data Images for Dihydrolipoamide Dehydrogenase/DLD Antibody (PSH0-83)

Dihydrolipoamide Dehydrogenase/DLD Antibody (PSH0-83)

Western Blot: Dihydrolipoamide Dehydrogenase/DLD Antibody (PSH0-83) [NBP3-32539]

Western Blot: Dihydrolipoamide Dehydrogenase/DLD Antibody (PSH0-83) [NBP3-32539] - Western blot analysis of Dihydrolipoamide Dehydrogenase/DLD on different lysates with Rabbit anti-Dihydrolipoamide Dehydrogenase/DLD antibody (NBP3-32539) at 1/1,000 dilution.

Lane 1: Jurkat cell lysate (20 ug/Lane)
Lane 2: HeLa cell lysate (20 ug/Lane)
Lane 3: 293T cell lysate (20 ug/Lane)
Lane 4: MCF7 cell lysate (20 ug/Lane)
Lane 5: K-562 cell lysate (20 ug/Lane)
Lane 6: SK-Br-3 cell lysate (20 ug/Lane)
Lane 7: U-937 cell lysate (20 ug/Lane)
Lane 8: HepG2 cell lysate (20 ug/Lane)
Lane 9: NIH/3T3 cell lysate (20 ug/Lane)
Lane 10: Mouse liver tissue lysate (40 ug/Lane)

Predicted band size: 54 kDa
Observed band size: 54 kDa

Exposure time: 1 minute;

4-20% SDS-PAGE gel.

Proteins were transferred to a PVDF membrane and blocked with 5% NFDM/TBST for 1 hour at room temperature. The primary antibody (NBP3-32539) at 1/1,000 dilution was used in 5% NFDM/TBST at room temperature for 2 hours. Goat Anti-Rabbit IgG - HRP Secondary Antibody at 1:100,000 dilution was used for 1 hour at room temperature.
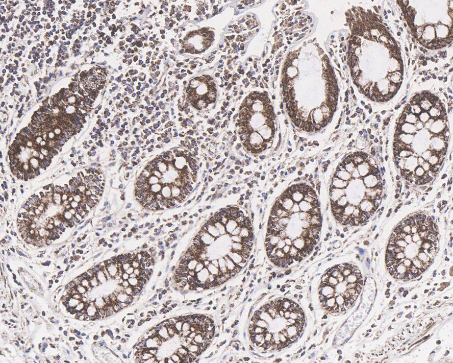
Dihydrolipoamide Dehydrogenase/DLD Antibody (PSH0-83)

Immunohistochemistry: Dihydrolipoamide Dehydrogenase/DLD Antibody (PSH0-83) [NBP3-32539]

Immunohistochemistry: Dihydrolipoamide Dehydrogenase/DLD Antibody (PSH0-83) [NBP3-32539] - Immunohistochemical analysis of paraffin-embedded human colon tissue with Rabbit anti-Dihydrolipoamide Dehydrogenase/DLD antibody (NBP3-32539) at 1/5,000 dilution.

The section was pre-treated using heat mediated antigen retrieval with sodium citrate buffer (pH 6.0) for 2 minutes. The tissues were blocked in 1% BSA for 20 minutes at room temperature, washed with ddH2O and PBS, and then probed with the primary antibody (NBP3-32539) at 1/5,000 dilution for 1 hour at room temperature. The detection was performed using an HRP conjugated compact polymer system. DAB was used as the chromogen. Tissues were counterstained with hematoxylin and mounted with DPX.
Dihydrolipoamide Dehydrogenase/DLD Antibody (PSH0-83)

Immunocytochemistry/ Immunofluorescence: Dihydrolipoamide Dehydrogenase/DLD Antibody (PSH0-83) [NBP3-32539]

Immunocytochemistry/ Immunofluorescence: Dihydrolipoamide Dehydrogenase/DLD Antibody (PSH0-83) [NBP3-32539] - Immunocytochemistry analysis of HeLa cells labeling Dihydrolipoamide Dehydrogenase/DLD with Rabbit anti-Dihydrolipoamide Dehydrogenase/DLD antibody (NBP3-32539) at 1/200 dilution.

Cells were fixed in 100% precooled methanol for 5 minutes at room temperature, then blocked with 1% BSA in 10% negative goat serum for 1 hour at room temperature. Cells were then incubated with Rabbit anti-Dihydrolipoamide Dehydrogenase/DLD antibody (NBP3-32539) at 1/200 dilution in 1% BSA in PBST overnight at 4 ℃. Goat Anti-Rabbit IgG H&L (iFluor™ 488) was used as the secondary antibody at 1/1,000 dilution. PBS instead of the primary antibody was used as the secondary antibody only control. Nuclear DNA was labelled in blue with DAPI.

Applications for Dihydrolipoamide Dehydrogenase/DLD Antibody (PSH0-83)

Application
Recommended Usage

Immunocytochemistry/ Immunofluorescence

1:200

Immunohistochemistry-Paraffin

1:5000

Western Blot

1:1000

Formulation, Preparation, and Storage

Purification

Protein A purified

Formulation

PBS (pH7.4), 0.1% BSA and 40% Glycerol

Preservative

0.05% Sodium Azide

Concentration

1 mg/ml

Shipping

The product is shipped with polar packs. Upon receipt, store it immediately at the temperature recommended below.

Stability & Storage

Store at 4C short term. Aliquot and store at -20C long term. Avoid freeze-thaw cycles.

Background: Dihydrolipoamide Dehydrogenase/DLD

Lipoamide Dehydrogenase encodes the L protein of the mitochondrial glycine cleavage system. The L protein, also named dihydrolipoamide dehydrogenase, is also a component of the pyruvate dehydrogenase complex, the alpha-ketoglutarate dehydrogenase complex, and the branched-chain alpha-keto acide dehydrogenase complex. Mutations in this gene have been identified in patients with E3-deficient maple syrup urine disease and lipoamide dehydrogenase deficiency.

Alternate Names

Diaphorase, DLD, DLDD, DLDH, GCSL, LAD, Lipoamide Dehydrogenase, PHE3

Gene Symbol

DLD

Additional Dihydrolipoamide Dehydrogenase/DLD Products

Product Documents for Dihydrolipoamide Dehydrogenase/DLD Antibody (PSH0-83)

Certificate of Analysis

To download a Certificate of Analysis, please enter a lot number in the search box below.

Product Specific Notices for Dihydrolipoamide Dehydrogenase/DLD Antibody (PSH0-83)

This product is for research use only and is not approved for use in humans or in clinical diagnosis. Primary Antibodies are guaranteed for 1 year from date of receipt.

Loading...
Loading...
Loading...
Loading...