Skip to main content

DHX38 Antibody - BSA Free

Novus Biologicals, part of Bio-Techne | Catalog # NBP1-85269

Novus Biologicals, part of Bio-Techne
Catalog #
Availability
Size / Price
Qty
Loading...
NBP1-85269

Key Product Details

Species Reactivity

Human, Mouse, Rat

Applications

Immunohistochemistry, Immunohistochemistry-Paraffin, Western Blot, Immunocytochemistry/ Immunofluorescence

Label

Unconjugated

Antibody Source

Polyclonal Rabbit IgG

Format

BSA Free

Concentration

Concentrations vary lot to lot. See vial label for concentration. If unlisted please contact technical services.

Product Specifications

Immunogen

This antibody was developed against Recombinant Protein corresponding to amino acids: MDEGYDEFHNPLAYSSEDYVRRREQHLHKQKQKRISAQRRQINEDNERWETNRMLTSGVVHRLEVDEDFEEDNAAKVHLMVHNLVPPFLDGRIVFTKQPE

Clonality

Polyclonal

Host

Rabbit

Isotype

IgG

Scientific Data Images for DHX38 Antibody - BSA Free

Western Blot: DHX38 Antibody [NBP1-85269]

Western Blot: DHX38 Antibody [NBP1-85269]

Western Blot: DHX38 Antibody [NBP1-85269] - Lane 1: NIH-3T3 cell lysate (Mouse embryonic fibroblast cells) Lane 2: NBT-II cell lysate (Rat Wistar bladder tumour cells)
Immunocytochemistry/ Immunofluorescence: DHX38 Antibody [NBP1-85269]

Immunocytochemistry/ Immunofluorescence: DHX38 Antibody [NBP1-85269]

Immunocytochemistry/Immunofluorescence: DHX38 Antibody [NBP1-85269] - Staining of human cell line U-2 OS shows positivity in nucleus.
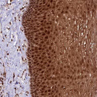
Immunohistochemistry-Paraffin: DHX38 Antibody [NBP1-85269]

Immunohistochemistry-Paraffin: DHX38 Antibody [NBP1-85269]

Immunohistochemistry-Paraffin: DHX38 Antibody [NBP1-85269] - Staining of human esophagus shows strong cytoplasmic and nuclear positivity in squamous epithelial cells.

Applications for DHX38 Antibody - BSA Free

Application
Recommended Usage

Immunocytochemistry/ Immunofluorescence

0.25-2 ug/ml

Immunohistochemistry

1:50 - 1:200

Immunohistochemistry-Paraffin

1:50 - 1:200

Western Blot

0.04-0.4 ug/ml
Application Notes
For IHC-Paraffin, HIER pH 6 retrieval is recommended. Immunocytochemistry/Immunofluorescence Fixation Permeabilization: Use PFA/Triton X-100.

Formulation, Preparation, and Storage

Purification

Affinity purified

Formulation

PBS (pH 7.2) and 40% Glycerol

Format

BSA Free

Preservative

0.02% Sodium Azide

Concentration

Concentrations vary lot to lot. See vial label for concentration. If unlisted please contact technical services.

Shipping

The product is shipped with polar packs. Upon receipt, store it immediately at the temperature recommended below.

Stability & Storage

Store at 4C short term. Aliquot and store at -20C long term. Avoid freeze-thaw cycles.

Background: DHX38

DHX38, also known as Pre-mRNA-splicing factor ATP-dependent RNA helicase PRP16, is a 140.5 kDa 1,227 amino acid protein that is utilized in multiple cellular processes, including ribosome and spliceosome assembly, as a member of the DEAD box protein family. Researchers are currently studying ties between the protein and North American Indian Childhood cirrhosis. The protein interacts in mRNA processing, mRNA splicing, RNA Polymerase II transcription, and spliceosome pathways with other proteins such as RBM10, SNRNP200, GPKOW, TXNL4A, and DHX16.

Alternate Names

ATP-dependent RNA helicase DHX38, DDX38pre-mRNA-splicing factor ATP-dependent RNA helicase PRP16, DEAD/H (Asp-Glu-Ala-Asp/His) box polypeptide 38, DEAH (Asp-Glu-Ala-His) box polypeptide 38, DEAH box protein 38, EC 3.6.1, EC 3.6.4.13, KIAA0224pre-mRNA splicing factor ATP-dependent RNA helicase PRP16, PRP16 homolog of S.cerevisiae, PRP16hPrp16, PRPF16

Gene Symbol

DHX38

Additional DHX38 Products

Product Documents for DHX38 Antibody - BSA Free

Certificate of Analysis

To download a Certificate of Analysis, please enter a lot number in the search box below.

Product Specific Notices for DHX38 Antibody - BSA Free

This product is for research use only and is not approved for use in humans or in clinical diagnosis. Primary Antibodies are guaranteed for 1 year from date of receipt.

Loading...
Loading...
Loading...
Loading...