Skip to main content

DHX38 Antibody - BSA Free

Novus Biologicals, part of Bio-Techne | Catalog # NB110-40582

Novus Biologicals, part of Bio-Techne
Catalog #
Availability
Size / Price
Qty
Loading...
NB110-40582
Conjugate
Catalog #

Key Product Details

Species Reactivity

Human

Applications

Immunohistochemistry, Immunohistochemistry-Paraffin, Immunoprecipitation, Western Blot (Negative)

Label

Unconjugated

Antibody Source

Polyclonal Rabbit IgG

Format

BSA Free

Concentration

1.0 mg/ml

Product Specifications

Immunogen

The immunogen recognized by this antibody maps to a region between residue 1150 and 1200 of human DEAH (Asp-Glu-Ala-His) Box Protein 38 using the numbering given in entry NP_054722.2 (GeneID 9785).

Clonality

Polyclonal

Host

Rabbit

Isotype

IgG

Scientific Data Images for DHX38 Antibody - BSA Free

Immunohistochemistry: DHX38 Antibody [NB110-40582]

Immunohistochemistry: DHX38 Antibody [NB110-40582]

Immunohistochemistry: DHX38 Antibody [NB110-40582] - Sample: FFPE section of human breast carcinoma. Antibody: Affinity purified rabbit anti-DHX38 used at a dilution of 1:1,000 ( 1ug/ml). Detection: DAB
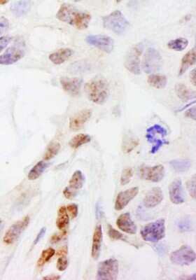
Immunohistochemistry-Paraffin: DHX38 Antibody [NB110-40582]

Immunohistochemistry-Paraffin: DHX38 Antibody [NB110-40582]

Immunohistochemistry-Paraffin: DHX38 Antibody [NB110-40582] - FFPE section of human breast carcinoma. Affinity purified rabbit anti-DHX38 used at a dilution of 1:250.
Immunohistochemistry-Paraffin: DHX38 Antibody [NB110-40582]

Immunohistochemistry-Paraffin: DHX38 Antibody [NB110-40582]

Immunohistochemistry-Paraffin: DHX38 Antibody [NB110-40582] - Human breast carcinoma. Antibody used at a dilution of 1:1000 (1ug/ml).

Applications for DHX38 Antibody - BSA Free

Application
Recommended Usage

Immunohistochemistry

1:500-1:2000

Immunohistochemistry-Paraffin

1:10-1:500

Immunoprecipitation

2-5 ug/mg lysate
Application Notes
Epitope retrieval with citrate buffer pH6.0 is recommended for FFPE tissue sections.

Formulation, Preparation, and Storage

Purification

Immunogen affinity purified

Formulation

Tris-Citrate/Phosphate (pH 7.0 - 8.0)

Format

BSA Free

Preservative

0.09% Sodium Azide

Concentration

1.0 mg/ml

Shipping

The product is shipped with polar packs. Upon receipt, store it immediately at the temperature recommended below.

Stability & Storage

Store at 4C. Do not freeze.

Background: DHX38

DEAD box proteins, characterized by the conserved motif Asp-Glu-Ala-Asp (DEAD), are putative RNA helicases. They are implicated in a number of cellular processes involving alteration of RNA secondary structure such as translation initiation, nuclear and mitochondrial splicing, and ribosome and spliceosome assembly. Based on their distribution patterns, some members of this family are believed to be involved in embryogenesis, spermatogenesis, and cellular growth and division. The protein encoded by this gene is a member of the DEAD/H box family of splicing factors. This protein resembles yeast Prp16 more closely than other DEAD/H family members. It is an ATPase and essential for the catalytic step II in pre-mRNA splicing process.

Alternate Names

ATP-dependent RNA helicase DHX38, DDX38pre-mRNA-splicing factor ATP-dependent RNA helicase PRP16, DEAD/H (Asp-Glu-Ala-Asp/His) box polypeptide 38, DEAH (Asp-Glu-Ala-His) box polypeptide 38, DEAH box protein 38, EC 3.6.1, EC 3.6.4.13, KIAA0224pre-mRNA splicing factor ATP-dependent RNA helicase PRP16, PRP16 homolog of S.cerevisiae, PRP16hPrp16, PRPF16

Entrez Gene IDs

9785 (Human)

Gene Symbol

DHX38

Additional DHX38 Products

Product Documents for DHX38 Antibody - BSA Free

Certificate of Analysis

To download a Certificate of Analysis, please enter a lot number in the search box below.

Product Specific Notices for DHX38 Antibody - BSA Free

This product is for research use only and is not approved for use in humans or in clinical diagnosis. Primary Antibodies are guaranteed for 1 year from date of receipt.

Loading...
Loading...
Loading...
Loading...