Skip to main content

DGAT2 Antibody - BSA Free

Novus Biologicals, part of Bio-Techne | Catalog # NBP3-05769

Novus Biologicals, part of Bio-Techne

Key Product Details

Species Reactivity

Human, Mouse

Applications

Immunohistochemistry, Immunohistochemistry-Paraffin, Western Blot, Flow Cytometry, Flow (Intracellular), Immunocytochemistry/ Immunofluorescence

Label

Unconjugated

Antibody Source

Polyclonal Rabbit

Format

BSA Free

Concentration

1.0 mg/ml

Product Specifications

Immunogen

Partial recombinant protein made to an internal portion of the human DGAT2 protein (amino acids 268-377) [UniProt Q96PD7]

Clonality

Polyclonal

Host

Rabbit

Scientific Data Images for DGAT2 Antibody - BSA Free

Immunocytochemistry/ Immunofluorescence: DGAT2 Antibody - BSA Free [NBP3-05769]

Immunocytochemistry/ Immunofluorescence: DGAT2 Antibody - BSA Free [NBP3-05769]

Immunocytochemistry/Immunofluorescence: DGAT2 Antibody [NBP3-05769] - NIH3T3 cells were fixed in 4% paraformaldehyde for 10 minutes and permeabilized in 0.05% Triton X-100 in PBS for 5 minutes. The cells were incubated with anti-DGAT2 Antibody NBP3-05769 at 5 ug/ml overnight at 4C and detected with an anti-rabbit Dylight 488 (Green) at a 1:1000 dilution for 60 minutes. Nuclei were counterstained with DAPI (Blue). Cells were imaged using a 100X objective and digitally deconvolved.
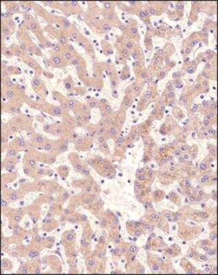
Immunohistochemistry-Paraffin: DGAT2 Antibody - BSA Free [NBP3-05769]

Immunohistochemistry-Paraffin: DGAT2 Antibody - BSA Free [NBP3-05769]

Immunohistochemistry-Paraffin: DGAT2 Antibody [NBP3-05769] - Analysis of a FFPE tissue section of human liver using 1:200 dilution of DGAT2, catalog number NBP3-05769 antibody. The staining was developed using HRP labeled anti-rabbit secondary antibody and DAB reagent, and nuclei of cells were counter-stained with hematoxylin. Cytoplasmic staing is observed.
Flow (Intracellular): DGAT2 Antibody - BSA Free [NBP3-05769]

Flow (Intracellular): DGAT2 Antibody - BSA Free [NBP3-05769]

Flow (Intracellular): DGAT2 Antibody [NBP3-05769] - An intracellular stain was performed on NIH3T3 cells with DGAT2 Antibody (blue) and a matched isotype control (orange). Cells were fixed with 4% PFA and then permeabilized with 0.1% saponin. Cells were incubated in an antibody dilution of 2.5 ug/mL for 30 minutes at room temperature, followed by Rabbit IgG (H+L) Cross-Adsorbed Secondary Antibody, Dylight 550 (SA5-10033, Thermo Fisher).

Applications for DGAT2 Antibody - BSA Free

Application
Recommended Usage

Flow (Intracellular)

2.5 ug/ml

Flow Cytometry

2.5 ug/ml

Immunocytochemistry/ Immunofluorescence

2 - 5 ug/ml

Immunohistochemistry

1:200

Immunohistochemistry-Paraffin

1:200

Western Blot

1 - 2 ug/ml

Formulation, Preparation, and Storage

Purification

Immunogen affinity purified

Formulation

PBS

Format

BSA Free

Preservative

0.02% Sodium Azide

Concentration

1.0 mg/ml

Shipping

The product is shipped with polar packs. Upon receipt, store it immediately at the temperature recommended below.

Stability & Storage

Store at 4C short term. Aliquot and store at -20C long term. Avoid freeze-thaw cycles.

Background: DGAT2

Diacylglycerol acyltransferase enzyme 2 is localized within the endoplasmic reticulum, mitochondria and lipid droplets. It catalyzes triacylglycerol synthesis, which creates the major form of stored energy in cells. In mice, when DGAT2 is overexpressed in the liver, hepatocytes have abnormally high levels of lipid retention, elevated triglyceride, diacylglycerol and ceramide, while maintaining a normal insulin response. This indicates that insulin resistance and elevated hepatic lipid retention are associated. DGAT2 is associated with increases in PKC activation, which is implicated in the formation of nonalcoholic fatty liver disease. DGAT2 is critical for lipid droplet formation in adipocytes.

Long Name

Diacylglycerol O-Acyltransferase 2

Alternate Names

diacylglycerol O-acyltransferase 2, diacylglycerol O-acyltransferase homolog 2, diacylglycerol O-acyltransferase homolog 2 (mouse), diacylglycerol O-acyltransferase-like protein 2, Diglyceride acyltransferase 2, DKFZp686A15125, EC 2.3.1, EC 2.3.1.20, GS1999FULL

Gene Symbol

DGAT2

Additional DGAT2 Products

Product Documents for DGAT2 Antibody - BSA Free

Certificate of Analysis

To download a Certificate of Analysis, please enter a lot number in the search box below.

Product Specific Notices for DGAT2 Antibody - BSA Free

This product is for research use only and is not approved for use in humans or in clinical diagnosis. Primary Antibodies are guaranteed for 1 year from date of receipt.

Loading...
Loading...
Loading...
Loading...
Loading...