Skip to main content

Dfna5 Antibody

Novus Biologicals, part of Bio-Techne | Catalog # NBP2-80426

Novus Biologicals, part of Bio-Techne
Catalog #
Availability
Size / Price
Qty
Loading...
NBP2-80426

Key Product Details

Validated by

Biological Validation

Species Reactivity

Validated:

Human, Mouse, Rat

Cited:

Human

Applications

Validated:

Immunohistochemistry, Immunohistochemistry-Paraffin, Western Blot, Flow Cytometry

Cited:

Western Blot

Label

Unconjugated

Antibody Source

Polyclonal Rabbit IgG

Concentration

1 mg/ml

Product Specifications

Immunogen

Recombinant protein within Human Dfna5 aa 1-220 / 496. (SwissProt: O60443 Human; SwissProt: Q9Z2D3 Mouse)

Localization

Cytosol. Plasma Membrane.

Clonality

Polyclonal

Host

Rabbit

Isotype

IgG

Theoretical MW

55 kDa.
Disclaimer note: The observed molecular weight of the protein may vary from the listed predicted molecular weight due to post translational modifications, post translation cleavages, relative charges, and other experimental factors.

Description

Novus Biologicals Rabbit Dfna5 Antibody (NBP2-80426) is a polyclonal antibody validated for use in IHC, WB and Flow. Anti-Dfna5 Antibody: Cited in 2 publications. All Novus Biologicals antibodies are covered by our 100% guarantee.

Scientific Data Images for Dfna5 Antibody

Western Blot: Dfna5 Antibody [NBP2-80426]

Western Blot: Dfna5 Antibody [NBP2-80426]

Western Blot: Dfna5 Antibody [NBP2-80426] - Analysis of Dfna5 on SiHa cell lysate. Proteins were transferred to a PVDF membrane and blocked with 5% BSA in PBS for 1 hour at room temperature. The primary antibody (NBP2-80426, 1/500) was used in 5% BSA at room temperature for 2 hours. Goat Anti-Rabbit IgG - HRP Secondary Antibody at 1:5,000 dilution was used for 1 hour at room temperature.
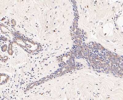
Immunohistochemistry-Paraffin: Dfna5 Antibody [NBP2-80426]

Immunohistochemistry-Paraffin: Dfna5 Antibody [NBP2-80426]

Immunohistochemistry-Paraffin: Dfna5 Antibody [NBP2-80426] - Analysis in mouse small intestine tissue using Dfna5 antibody. The section was pre-treated using heat mediated antigen retrieval with Tris-EDTA buffer (pH 8.0-8.4) for 20 minutes. The tissues were blocked in 5% BSA for 30 minutes at room temperature.
Flow Cytometry: Dfna5 Antibody [NBP2-80426]

Flow Cytometry: Dfna5 Antibody [NBP2-80426]

Flow Cytometry: Dfna5 Antibody [NBP2-80426] - Analysis of Methionine Aminopeptidase 2/METAP2 was done on SiHa cells. The cells were fixed, permeabilized and stained with the primary antibody (1/50) (red). After incubation of the primary antibody at room temperature for an hour, the cells were stained with a Alexa Fluor 488-conjugated Goat anti-Rabbit IgG Secondary antibody at 1/1000 dilution for 30 minutes. Unlabeled sample was used as a control (cells without incubation with primary antibody; black).

Applications for Dfna5 Antibody

Application
Recommended Usage

Flow Cytometry

1:50-1:100

Immunohistochemistry-Paraffin

1:50-1:200

Western Blot

1:500-1:1000

Formulation, Preparation, and Storage

Purification

Immunogen affinity purified

Formulation

PBS (pH7.4), 0.2% BSA, 50% Glycerol

Preservative

0.05% Sodium Azide

Concentration

1 mg/ml

Shipping

The product is shipped with polar packs. Upon receipt, store it immediately at the temperature recommended below.

Stability & Storage

Store at 4C short term. Aliquot and store at -20C long term. Avoid freeze-thaw cycles.

Background: Dfna5

Hearing impairment is a heterogeneous condition with over 40 loci described. The protein encoded by this gene is expressed in fetal cochlea, however, its function is not known. Nonsyndromic hearing impairment is associated with a mutation in this gene. Three transcript variants encoding two different isoforms have been found for this gene. [provided by RefSeq]

Alternate Names

deafness, autosomal dominant 5, DFNA5, deafness associated tumor suppressor, gasdermin-E, ICERE1, ICERE-1, Inversely correlated with estrogen receptor expression 1, nonsyndromic hearing impairment protein, non-syndromic hearing impairment protein 5

Gene Symbol

GSDME

Additional Dfna5 Products

Product Documents for Dfna5 Antibody

Certificate of Analysis

To download a Certificate of Analysis, please enter a lot number in the search box below.

Product Specific Notices for Dfna5 Antibody

This product is for research use only and is not approved for use in humans or in clinical diagnosis. Primary Antibodies are guaranteed for 1 year from date of receipt.

Loading...
Loading...
Loading...
Loading...
Loading...