Skip to main content

Desmin Antibody

Novus Biologicals, part of Bio-Techne | Catalog # NBP1-06984

Novus Biologicals, part of Bio-Techne
Catalog #
Availability
Size / Price
Qty
Loading...
NBP1-06984

Key Product Details

Species Reactivity

Validated:

Human, Mouse, Rat

Cited:

Rat

Predicted:

Bovine (100%), Canine (100%). Backed by our 100% Guarantee.

Applications

Validated:

Immunohistochemistry, Immunohistochemistry-Paraffin, Western Blot, Peptide ELISA

Cited:

Immunohistochemistry-Paraffin, Western Blot

Label

Unconjugated

Antibody Source

Polyclonal Goat IgG

Concentration

0.5 mg/ml

Product Specifications

Immunogen

Peptide with sequence C-RDGEVVSEATQQQHE corresponding to C-Terminus according to NP_001918.3.

Epitope

C Terminus

Reactivity Notes

Rat reactivity reported in scientific literature (PMID: 25575786).

Clonality

Polyclonal

Host

Goat

Isotype

IgG

Description

Novus Biologicals Goat Desmin Antibody (NBP1-06984) is a polyclonal antibody validated for use in IHC, WB and ELISA. Anti-Desmin Antibody: Cited in 2 publications. All Novus Biologicals antibodies are covered by our 100% guarantee.

Scientific Data Images for Desmin Antibody

Desmin Antibody

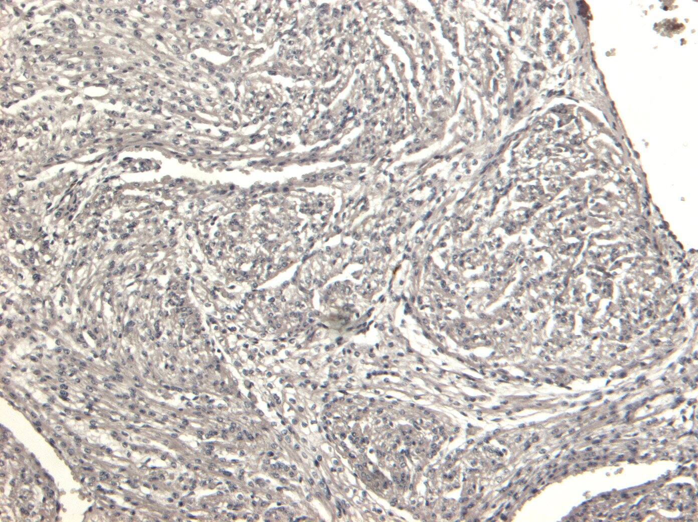
Immunohistochemistry-Paraffin: Desmin Antibody [NBP1-06984] -

Immunohistochemistry-Paraffin: Desmin Antibody [NBP1-06984] - (6ug/ml) staining of paraffin embedded Human Heart. Heat induced antigen retrieval with citrate buffer pH 6, HRP-staining.
Desmin Antibody

Western Blot: Desmin Antibody [NBP1-06984] -

Western Blot: Desmin Antibody [NBP1-06984] - (0.01ug/ml) staining of Human Skeletal Muscle (A) and (0.3ug/ml) Heart (B) lysate (35ug protein in RIPA buffer). Detected by chemiluminescence.
Desmin Antibody

Western Blot: Desmin Antibody [NBP1-06984] -

Western Blot: Desmin Antibody [NBP1-06984] - (0.1ug/ml) staining of Mouse Skeletal Muscle lysate (35ug protein in RIPA buffer). Detected by chemiluminescence.

Applications for Desmin Antibody

Application
Recommended Usage

Immunohistochemistry-Paraffin

4-6 ug/ml

Peptide ELISA

Detection limit 1:128000

Western Blot

0.01-0.3 ug/ml
Application Notes
Western blot: Approx. 55-60kDa band observed in Human and Mouse Skeletal Muscle lysates and in Human Heart lysates (calculated MW of 53.5kDa according to Human NP_001918.3, and Mouse NP_034173.1). Preliminary testing showed a band at approx 60kDa in Rat and Pig Skeletal muscle lysate. Primary incubation 1 hour at room temperature. Use in Immunohistochemistry-paraffin reported in scientific literature (PMID: 25575786).

Formulation, Preparation, and Storage

Purification

Immunogen affinity purified

Formulation

Tris saline (20 mM Tris pH 7.3, 150 mM NaCl), 0.5% BSA

Preservative

0.02% Sodium Azide

Concentration

0.5 mg/ml

Shipping

The product is shipped with polar packs. Upon receipt, store it immediately at the temperature recommended below.

Stability & Storage

Store at -20C. Avoid freeze-thaw cycles.

Background: Desmin

This gene encodes a muscle-specific class III intermediate filament. Homopolymers of this protein form a stable intracytoplasmic filamentous network connecting myofibrils to each other and to the plasma membrane. Mutations in this gene are associated with desmin-related myopathy, a familial cardiac and skeletal myopathy (CSM), and with distal myopathies. [provided by RefSeq]

Alternate Names

CMD1I, DES

Entrez Gene IDs

1674 (Human); 13346 (Mouse); 64362 (Rat)

Gene Symbol

DES

Additional Desmin Products

Product Documents for Desmin Antibody

Certificate of Analysis

To download a Certificate of Analysis, please enter a lot number in the search box below.

Product Specific Notices for Desmin Antibody

This product is for research use only and is not approved for use in humans or in clinical diagnosis. Primary Antibodies are guaranteed for 1 year from date of receipt.

Loading...
Loading...
Loading...
Loading...