Skip to main content

DEPTOR/DEPDC6 Antibody - BSA Free

Novus Biologicals, part of Bio-Techne | Catalog # NBP1-49674

Novus Biologicals, part of Bio-Techne

Key Product Details

Validated by

Knockout/Knockdown

Species Reactivity

Validated:

Human, Mouse, Rat, Bovine

Cited:

Human, Mouse, Rat, Bovine

Applications

Validated:

Knockout Validated, Immunohistochemistry, Immunohistochemistry-Paraffin, Western Blot, Immunocytochemistry/ Immunofluorescence

Cited:

Immunohistochemistry-Paraffin, Western Blot, Immunocytochemistry/ Immunofluorescence

Label

Unconjugated

Antibody Source

Polyclonal Rabbit IgG

Format

BSA Free

Concentration

1.0 mg/ml

Product Specifications

Immunogen

A genomic peptide made to an internal region of the human DEPTOR protein (within residues 10-200).

Reactivity Notes

Rat reactivity reported in scientific literature (PMID: 31176743).

Localization

Intracellular.

Clonality

Polyclonal

Host

Rabbit

Isotype

IgG

Description

Novus Biologicals Knockout (KO) Validated Rabbit DEPTOR/DEPDC6 Antibody - BSA Free (NBP1-49674) is a polyclonal antibody validated for use in IHC, WB and ICC/IF. Anti-DEPTOR/DEPDC6 Antibody: Cited in 23 publications. All Novus Biologicals antibodies are covered by our 100% guarantee.

Scientific Data Images for DEPTOR/DEPDC6 Antibody - BSA Free

Western Blot: DEPTOR/DEPDC6 AntibodyBSA Free [NBP1-49674]

Western Blot: DEPTOR/DEPDC6 AntibodyBSA Free [NBP1-49674]

DEPTOR-DEPDC6-Antibody---BSA-Free-Western-Blot-NBP1-49674-img0012.jpg
Immunocytochemistry/ Immunofluorescence: DEPTOR/DEPDC6 Antibody - BSA Free [NBP1-49674]

Immunocytochemistry/ Immunofluorescence: DEPTOR/DEPDC6 Antibody - BSA Free [NBP1-49674]

Immunocytochemistry/Immunofluorescence: DEPTOR/DEPDC6 Antibody - BSA Free [NBP1-49674] - Antibody was tested in MCF7 cells with DyLight 488 (green). Nuclei and alpha-tubulin were counterstained with DAPI (blue) and DyLight 550 (red).
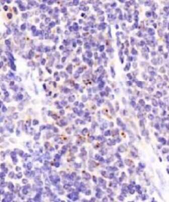
Immunohistochemistry: DEPTOR/DEPDC6 Antibody - BSA Free [NBP1-49674]

Immunohistochemistry: DEPTOR/DEPDC6 Antibody - BSA Free [NBP1-49674]

Immunohistochemistry: DEPTOR/DEPDC6 Antibody - BSA Free [NBP1-49674] - Staining of DEPTOR in mouse spleen using DAB with a hematoxylin counterstain.

Applications for DEPTOR/DEPDC6 Antibody - BSA Free

Application
Recommended Usage

Immunocytochemistry/ Immunofluorescence

1:100

Immunohistochemistry

1:100

Immunohistochemistry-Paraffin

1:100

Western Blot

1:1000
Application Notes
In Western Blot, a band is seen at ~46 kDa. In ICC/IF, cytoplasmic staining was observed in serum starved HeLa cells. In IHC-P, staining was observed in the cytoplasm of mouse spleen. Prior to immunostaining paraffin tissues, antigen retrieval with sodium citrate buffer (pH 6.0) is recommended.

Reviewed Applications

Read 2 reviews rated 4 using NBP1-49674 in the following applications:

Formulation, Preparation, and Storage

Purification

Immunogen affinity purified

Formulation

PBS

Format

BSA Free

Preservative

0.02% Sodium Azide

Concentration

1.0 mg/ml

Shipping

The product is shipped with polar packs. Upon receipt, store it immediately at the temperature recommended below.

Stability & Storage

Store at 4C short term. Aliquot and store at -20C long term. Avoid freeze-thaw cycles.

Background: DEPTOR/DEPDC6

DEPTOR (DEP domain-containing mTOR-interacting protein), also called DEP domain-containing protein 6 (DEPDC6), is a part of mTORC1 (MTOR, MLST8, RPTOR, AKT1S1/PRAS40 and DEPTOR) and mTORC2 (MTOR, MLST8, PROTOR1, RICTOR, MAPKAP1 and DEPTOR) complexes. DEPTOR functions as a negative regulator of the mTORC1/mTORC2 signaling pathways, leading to inhibition of activity of both kinase complexes. DEPTOR phosphorylation can weaken the interaction with MTOR within mTORC1 and mTORC2 complexes. DEPTOR has been shown to act as a tumor suppressor via mTORC1/mTORC2 blocking to inhibit protein synthesis as well as AKT's proliferation and survival related signaling. However, in certain conditions, DEPTOR behaves as an oncogene by relieving the feedback inhibition from S6K1 to PI3K, thus causing AKT activation. The stability of DEPTOR is controlled by SCFbeta-TrCP E3 ubiquitin ligase, and S6K1 and RSK1 are kinases that phosphorylate DEPTOR for facilitating its binding to betaTrCP for subsequent degradation. DEPTOR is down-regulated in a number of malignancies, however, is overexpressed in a subset of multiple myelomas harbouring cyclin D1/D3 or c-MAF/MAFB translocations.

Long Name

DEP Domain Containing mTOR-interacting Protein

Alternate Names

DEP.6, DEPDC6

Entrez Gene IDs

64798 (Human); 97998 (Mouse)

Gene Symbol

DEPTOR

Additional DEPTOR/DEPDC6 Products

Product Documents for DEPTOR/DEPDC6 Antibody - BSA Free

Certificate of Analysis

To download a Certificate of Analysis, please enter a lot number in the search box below.

Product Specific Notices for DEPTOR/DEPDC6 Antibody - BSA Free

Manufactured by Genomic Antibody Technology™. GAT FAQs

This product is for research use only and is not approved for use in humans or in clinical diagnosis. Primary Antibodies are guaranteed for 1 year from date of receipt.

Loading...
Loading...
Loading...
Loading...