Skip to main content

DEPDC7 Antibody

Novus Biologicals, part of Bio-Techne | Catalog # NBP2-16150

Novus Biologicals, part of Bio-Techne
Catalog #
Availability
Size / Price
Qty
Loading...
NBP2-16150

Key Product Details

Species Reactivity

Validated:

Human

Predicted:

Bovine (92%). Backed by our 100% Guarantee.

Applications

Immunohistochemistry, Immunohistochemistry-Paraffin, Western Blot

Label

Unconjugated

Antibody Source

Polyclonal Rabbit IgG

Concentration

Concentrations vary lot to lot. See vial label for concentration. If unlisted please contact technical services.

Product Specifications

Immunogen

Recombinant protein encompassing a sequence within the center region of human DEPDC7. The exact sequence is proprietary.

Reactivity Notes

Immunogen displays the following percentage of sequence identity for non-tested species: Mouse (86%), Rat (86%).

Clonality

Polyclonal

Host

Rabbit

Isotype

IgG

Theoretical MW

58 kDa.
Disclaimer note: The observed molecular weight of the protein may vary from the listed predicted molecular weight due to post translational modifications, post translation cleavages, relative charges, and other experimental factors.

Description

Novus Biologicals Rabbit DEPDC7 Antibody (NBP2-16150) is a polyclonal antibody validated for use in IHC and WB. All Novus Biologicals antibodies are covered by our 100% guarantee.

Scientific Data Images for DEPDC7 Antibody

Western Blot: DEPDC7 Antibody [NBP2-16150]

Western Blot: DEPDC7 Antibody [NBP2-16150]

Western Blot: DEPDC7 Antibody [NBP2-16150] - Sample (30 ug of whole cell lysate) A: 293T 7. 5% SDS PAGE gel, diluted at 1:500.
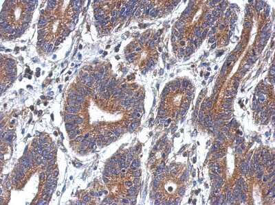
Immunohistochemistry-Paraffin: DEPDC7 Antibody [NBP2-16150]

Immunohistochemistry-Paraffin: DEPDC7 Antibody [NBP2-16150]

Immunohistochemistry-Paraffin: DEPDC7 Antibody [NBP2-16150] - Immunohistochemical analysis of paraffin-embedded Colon ca, using antibody at 1:500 dilution.

Applications for DEPDC7 Antibody

Application
Recommended Usage

Immunohistochemistry

1:100-1:1000

Immunohistochemistry-Paraffin

1:100-1:1000

Western Blot

1:500-1:3000

Formulation, Preparation, and Storage

Purification

Antigen Affinity-purified

Formulation

PBS, 1% BSA, 20% Glycerol

Preservative

0.01% Thimerosal

Concentration

Concentrations vary lot to lot. See vial label for concentration. If unlisted please contact technical services.

Shipping

The product is shipped with polar packs. Upon receipt, store it immediately at the temperature recommended below.

Stability & Storage

Aliquot and store at -20C or -80C. Avoid freeze-thaw cycles.

Background: DEPDC7

Alternate Names

DEP domain containing 7, DEP domain-containing protein 7, dJ85M6.4, dJ85M6.4 (novel 58.3 KDA protein), novel 58.3 KDA protein, Protein TR2/D15, TR2

Gene Symbol

DEPDC7

UniProt

Additional DEPDC7 Products

Product Documents for DEPDC7 Antibody

Certificate of Analysis

To download a Certificate of Analysis, please enter a lot number in the search box below.

Product Specific Notices for DEPDC7 Antibody

This product is for research use only and is not approved for use in humans or in clinical diagnosis. Primary Antibodies are guaranteed for 1 year from date of receipt.

Loading...
Loading...
Loading...
Loading...

⚠ WARNING: This product can expose you to chemicals including mercury, which is known to the State of California to cause reproductive toxicity with developmental effects.  For more information go to www.P65Warnings.ca.gov.