Skip to main content

DENND4C Antibody - BSA Free

Novus Biologicals, part of Bio-Techne | Catalog # NBP1-90788

Novus Biologicals, part of Bio-Techne
Catalog #
Availability
Size / Price
Qty
Loading...
NBP1-90788
NBP1-90788-25ul

Key Product Details

Species Reactivity

Human, Mouse, Rat

Applications

Immunohistochemistry, Immunohistochemistry-Paraffin, Western Blot, Immunocytochemistry/ Immunofluorescence

Label

Unconjugated

Antibody Source

Polyclonal Rabbit IgG

Format

BSA Free

Concentration

Concentrations vary lot to lot. See vial label for concentration. If unlisted please contact technical services.

Product Specifications

Immunogen

This antibody was developed against Recombinant Protein corresponding to amino acids: PSGIFDVNSRKSSTGSISNVLFSTQDPVEDAVFGEATNLKKNGDRGEKRQKHFPERSCSFSSESRAGMLLKKSSLDSNSSEMAIMMGADAKILTAALTCPKTSLLHIARTHSFENVSCHLPDSRTCMSESTW

Clonality

Polyclonal

Host

Rabbit

Isotype

IgG

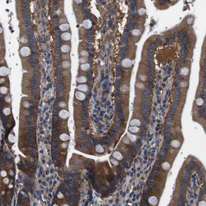
Scientific Data Images for DENND4C Antibody - BSA Free

Western Blot: DENND4C Antibody [NBP1-90788]

Western Blot: DENND4C Antibody [NBP1-90788]

Western Blot: DENND4C Antibody [NBP1-90788] - Lane 1: Marker [kDa] 230, 130, 95, 72, 56, 36, 28, 17, 11. Lane 2: Human cell line RT-4. Lane 3: Human cell line U-251MG sp
Immunocytochemistry/ Immunofluorescence: DENND4C Antibody [NBP1-90788]

Immunocytochemistry/ Immunofluorescence: DENND4C Antibody [NBP1-90788]

Immunocytochemistry/Immunofluorescence: DENND4C Antibody [NBP1-90788] - Staining of human cell line A-431 shows localization to cytosol, the Golgi apparatus & vesicles. Antibody staining is shown in green.
Western Blot: DENND4C Antibody [NBP1-90788]

Western Blot: DENND4C Antibody [NBP1-90788]

Western Blot: DENND4C Antibody [NBP1-90788] - Lane 1: NIH-3T3 cell lysate (Mouse embryonic fibroblast cells). Lane 2: NBT-II cell lysate (Rat Wistar bladder tumor cells).

Applications for DENND4C Antibody - BSA Free

Application
Recommended Usage

Immunocytochemistry/ Immunofluorescence

0.25-2 ug/ml

Immunohistochemistry

1:50 - 1:200

Immunohistochemistry-Paraffin

1:50 - 1:200

Western Blot

0.04-0.4 ug/ml
Application Notes
For IHC-Paraffin, HIER pH 6 retrieval is recommended. ICC/IF Fixation Permeabilization: Use PFA/Triton X-100.

Formulation, Preparation, and Storage

Purification

Affinity purified

Formulation

PBS (pH 7.2) and 40% Glycerol

Format

BSA Free

Preservative

0.02% Sodium Azide

Concentration

Concentrations vary lot to lot. See vial label for concentration. If unlisted please contact technical services.

Shipping

The product is shipped with polar packs. Upon receipt, store it immediately at the temperature recommended below.

Stability & Storage

Store at 4C short term. Aliquot and store at -20C long term. Avoid freeze-thaw cycles.

Background: DENND4C

Alternate Names

bA513M16.3, C9orf55B, DENN/MADD domain containing 4C, DKFZp686I09113, FLJ20686

Gene Symbol

DENND4C

Additional DENND4C Products

Product Documents for DENND4C Antibody - BSA Free

Certificate of Analysis

To download a Certificate of Analysis, please enter a lot number in the search box below.

Product Specific Notices for DENND4C Antibody - BSA Free

This product is for research use only and is not approved for use in humans or in clinical diagnosis. Primary Antibodies are guaranteed for 1 year from date of receipt.

Loading...
Loading...
Loading...
Loading...