DECR1 Antibody - BSA Free
Novus Biologicals, part of Bio-Techne | Catalog # NBP1-33103
Key Product Details
Species Reactivity
Human, Mouse, Rat
Applications
Immunohistochemistry, Immunohistochemistry-Paraffin, Western Blot, Immunocytochemistry/ Immunofluorescence
Label
Unconjugated
Antibody Source
Polyclonal Rabbit IgG
Format
BSA Free
Concentration
Concentrations vary lot to lot. See vial label for concentration. If unlisted please contact technical services.
Product Specifications
Immunogen
Full length human DECR1 Recombinant protein.
Reactivity Notes
Immunogen displays the following percentage of sequence identity for non-tested species: Porcine (85%), Bovine (85%).
Localization
Mitochondrion
Clonality
Polyclonal
Host
Rabbit
Isotype
IgG
Theoretical MW
36 kDa.
Disclaimer note: The observed molecular weight of the protein may vary from the listed predicted molecular weight due to post translational modifications, post translation cleavages, relative charges, and other experimental factors.
Disclaimer note: The observed molecular weight of the protein may vary from the listed predicted molecular weight due to post translational modifications, post translation cleavages, relative charges, and other experimental factors.
Description
Novus Biologicals Rabbit DECR1 Antibody - BSA Free (NBP1-33103) is a polyclonal antibody validated for use in IHC, WB and ICC/IF. Anti-DECR1 Antibody: Cited in 1 publication. All Novus Biologicals antibodies are covered by our 100% guarantee.
Scientific Data Images for DECR1 Antibody - BSA Free
Western Blot: DECR1 Antibody [NBP1-33103]
Western Blot: DECR1 Antibody [NBP1-33103] - Rat tissue extract (50 ug) was separated by 10% SDS-PAGE, and the membrane was blotted with DECR1 antibody diluted at 1:10000.Immunocytochemistry/ Immunofluorescence: DECR1 Antibody [NBP1-33103]
Immunocytochemistry/Immunofluorescence: DECR1 Antibody [NBP1-33103] - HeLa cells were fixed in ice-cold MeOH for 5 min.Green: DECR1 protein stained by DECR1 antibody [N1C3] diluted at 1:500.Blue: Hoechst 33342 staining.Immunohistochemistry-Paraffin: DECR1 Antibody [NBP1-33103]
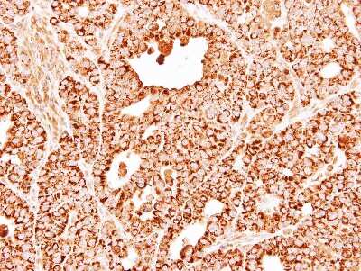
Immunohistochemistry-Paraffin: DECR1 Antibody [NBP1-33103] - NCI-N87 xenograft, using DECR1 antibody at 1:500 dilution. Antigen Retrieval: Citrate buffer, pH 6.0, 15 min.Applications for DECR1 Antibody - BSA Free
Application
Recommended Usage
Immunocytochemistry/ Immunofluorescence
1:100-1:1000
Immunohistochemistry
1:100-1:1000
Immunohistochemistry-Paraffin
1:100-1:1000
Western Blot
1:5000-1:20000
Formulation, Preparation, and Storage
Purification
Antigen Affinity-purified
Formulation
0.1M Tris, 0.1M Glycine, 10% Glycerol
Format
BSA Free
Preservative
0.01% Thimerosal
Concentration
Concentrations vary lot to lot. See vial label for concentration. If unlisted please contact technical services.
Shipping
The product is shipped with polar packs. Upon receipt, store it immediately at the temperature recommended below.
Stability & Storage
Aliquot and store at -20C or -80C. Avoid freeze-thaw cycles.
Background: DECR1
Long Name
2,4-Dienoyl CoA Reductase 1, Mitochondrial
Alternate Names
SDR18C1
Gene Symbol
DECR1
Additional DECR1 Products
Product Documents for DECR1 Antibody - BSA Free
Product Specific Notices for DECR1 Antibody - BSA Free
This product is for research use only and is not approved for use in humans or in clinical diagnosis. Primary Antibodies are guaranteed for 1 year from date of receipt.
Loading...
Loading...
Loading...
Loading...
⚠ WARNING: This product can expose you to chemicals including mercury, which is known to the State of California to cause reproductive toxicity with developmental effects. For more information go to www.P65Warnings.ca.gov.