Skip to main content

DEC2/SHARP1 Antibody - BSA Free

Novus Biologicals, part of Bio-Techne | Catalog # NBP1-19613

Novus Biologicals, part of Bio-Techne

Key Product Details

Species Reactivity

Validated:

Human, Mouse, Rat

Cited:

Human

Predicted:

Bovine (100%), Canine (100%). Backed by our 100% Guarantee.

Applications

Validated:

Immunohistochemistry, Immunohistochemistry-Paraffin, Western Blot, Simple Western

Cited:

Immunohistochemistry-Paraffin, Western Blot

Label

Unconjugated

Antibody Source

Polyclonal Rabbit IgG

Format

BSA Free

Concentration

1.0 mg/ml

Product Specifications

Immunogen

A synthetic peptide made to an internal portion of the human DEC2/SHARP1 inbetween residues 1-75 [UniProt Q9C0J9].

Reactivity Notes

Immunogen has 100% homology to bovine and canine.

Localization

Nucleus

Clonality

Polyclonal

Host

Rabbit

Isotype

IgG

Theoretical MW

50 kDa.
Disclaimer note: The observed molecular weight of the protein may vary from the listed predicted molecular weight due to post translational modifications, post translation cleavages, relative charges, and other experimental factors.

Scientific Data Images for DEC2/SHARP1 Antibody - BSA Free

Western Blot: DEC2/SHARP1 AntibodyBSA Free [NBP1-19613]

Western Blot: DEC2/SHARP1 AntibodyBSA Free [NBP1-19613]

Western Blot: DEC2/SHARP1 Antibody [NBP1-19613] - Huh7 cell lysates loaded from left to right at concentrations of 20, 30, and 40 ug of total protein. Image from verified customer review.
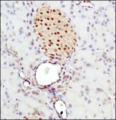
Immunohistochemistry-Paraffin: DEC2/SHARP1 Antibody - BSA Free [NBP1-19613]

Immunohistochemistry-Paraffin: DEC2/SHARP1 Antibody - BSA Free [NBP1-19613]

Immunohistochemistry-Paraffin: DEC2/SHARP1 Antibody [NBP1-19613] - Staining of SHARP1 in mouse pancreas.
Western Blot: DEC2/SHARP1 AntibodyBSA Free [NBP1-19613]

Western Blot: DEC2/SHARP1 AntibodyBSA Free [NBP1-19613]

Western Blot: DEC2/SHARP1 Antibody [NBP1-19613] - Analysis of SHARP1 in HeLa whole cell extract.

Applications for DEC2/SHARP1 Antibody - BSA Free

Application
Recommended Usage

Immunohistochemistry

1:100

Immunohistochemistry-Paraffin

1:100

Simple Western

1:50

Western Blot

1 - 2 ug/ml
Application Notes
In Simple Western only 10 - 15 uL of the recommended dilution is used per data point.
See Simple Western Antibody Database for Simple Western validation: Tested in HeLa lysate 0.5 mg/mL, separated by Size, antibody dilution of 1:50. Separated by Size-Wes, Sally Sue/Peggy Sue.
The observed molecular weight of the protein may vary from the listed predicted molecular weight due to post translational modifications, post translation cleavages, relative charges, and other experimental factors.

Reviewed Applications

Read 1 review rated 4 using NBP1-19613 in the following applications:

Formulation, Preparation, and Storage

Purification

Immunogen affinity purified

Formulation

PBS

Format

BSA Free

Preservative

0.02% Sodium Azide

Concentration

1.0 mg/ml

Shipping

The product is shipped with polar packs. Upon receipt, store it immediately at the temperature recommended below.

Stability & Storage

Store at 4C short term. Aliquot and store at -20C long term. Avoid freeze-thaw cycles.

Background: DEC2

SHARP1 also known as DEC2 and BHLHe41 encodes a transcription factor that belongs to the Hairy/Enhancer of Split subfamily of basic helix-loop-helix factors (bHLH). However, sequence alignment shows that SHARP-1 is only distantly related to these proteins, exhibiting 37-42% sequence identity within the bHLH domain. Unlike most bHLH proteins, SHARP-1 is not expressed in neuronal progenitor cells or early differentiating neurons but is restricted to a subset of neurons of the postnatal central nervous system. Recent studies have shown DEC2 plays a regulatory role in clockwork system along with Clock and Bmal1. DEC1, a structurally related protein also known as SHARP2 along with DEC2 works as the negative regulated of molecular clock. Mutations in this gene (hDEC2-P385R) are associated with short sleep phenotypes in human and transgenic mice carrying this mutation show increased vigilance time and less sleep time than control mice.

Long Name

Differentially expressed in chondrocytes protein 2

Alternate Names

BHLHB3, BHLHE41, SHARP-1

Entrez Gene IDs

79365 (Human); 79362 (Mouse); 117095 (Rat)

Gene Symbol

BHLHE41

UniProt

Additional DEC2 Products

Product Documents for DEC2/SHARP1 Antibody - BSA Free

Certificate of Analysis

To download a Certificate of Analysis, please enter a lot number in the search box below.

Product Specific Notices for DEC2/SHARP1 Antibody - BSA Free

This product is for research use only and is not approved for use in humans or in clinical diagnosis. Primary Antibodies are guaranteed for 1 year from date of receipt.

Loading...
Loading...
Loading...
Loading...
Loading...