Skip to main content

DDX27 Antibody - BSA Free

Novus Biologicals, part of Bio-Techne | Catalog # NBP1-91825

Novus Biologicals, part of Bio-Techne
Catalog #
Availability
Size / Price
Qty
Loading...
NBP1-91825
NBP1-91825-25ul

Key Product Details

Species Reactivity

Human

Applications

Immunohistochemistry, Immunohistochemistry-Paraffin, Western Blot, Immunocytochemistry/ Immunofluorescence

Label

Unconjugated

Antibody Source

Polyclonal Rabbit IgG

Format

BSA Free

Concentration

Concentrations vary lot to lot. See vial label for concentration. If unlisted please contact technical services.

Product Specifications

Immunogen

This antibody was developed against Recombinant Protein corresponding to amino acids: EDKEAKSGKLEKEKEAKEGSEPKEQEDLQENDEEGSEDEASETDYSSADENILTKADTLKVKDRKKKKKKGQEAGVFFEDASQYDENLSFQ

Clonality

Polyclonal

Host

Rabbit

Isotype

IgG

Scientific Data Images for DDX27 Antibody - BSA Free

Immunocytochemistry/ Immunofluorescence: DDX27 Antibody [NBP1-91825]

Immunocytochemistry/ Immunofluorescence: DDX27 Antibody [NBP1-91825]

Immunocytochemistry/Immunofluorescence: DDX27 Antibody [NBP1-91825] - Staining of human cell line A-431 shows localization to nucleoli. Antibody staining is shown in green.
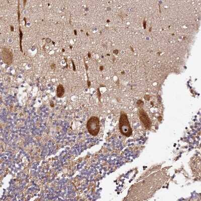
Immunohistochemistry-Paraffin: DDX27 Antibody [NBP1-91825]

Immunohistochemistry-Paraffin: DDX27 Antibody [NBP1-91825]

Immunohistochemistry-Paraffin: DDX27 Antibody [NBP1-91825] - Staining of human cerebellum shows strong nucleolar and cytoplasmic positivity in Purkinje cells.
DDX27 Antibody - BSA Free Western Blot: DDX27 Antibody - BSA Free [NBP1-91825]

Western Blot: DDX27 Antibody - BSA Free [NBP1-91825]

Lane 1: Marker [kDa] 250, 130, 95, 72, 55, 36, 28, 17, 10
Lane 2: Human cell line RT-4
Lane 3: Human cell line U-251MG sp

Applications for DDX27 Antibody - BSA Free

Application
Recommended Usage

Immunocytochemistry/ Immunofluorescence

0.25-2 ug/ml

Immunohistochemistry

1:20 - 1:50

Immunohistochemistry-Paraffin

1:20 - 1:50

Western Blot

0.04-0.4 ug/ml
Application Notes
For IHC-Paraffin, HIER pH 6 retrieval is recommended. ICC/IF Fixation Permeabilization: Use PFA/Triton X-100.

Formulation, Preparation, and Storage

Purification

Affinity purified

Formulation

PBS (pH 7.2) and 40% Glycerol

Format

BSA Free

Preservative

0.02% Sodium Azide

Concentration

Concentrations vary lot to lot. See vial label for concentration. If unlisted please contact technical services.

Shipping

The product is shipped with polar packs. Upon receipt, store it immediately at the temperature recommended below.

Stability & Storage

Store at 4C short term. Aliquot and store at -20C long term. Avoid freeze-thaw cycles.

Background: DDX27

DDX27 (DEAD-box protein 27) is a member of the DEAD box family of proteins that possesses several conserved motifs which include the highly conserved DEAD (Asp-Glu-Ala-Asp) amino acid sequence motif. The major activity of DEAD box proteins is to function as ATP-dependent RNA helicases. As helicases, DEAD proteins play an important role in all aspects of RNA metabolism and function which include pre-mRNA splicing, RNA synthesis, RNA degradation, RNA export, RNA translation, RNA secondary structure formation, ribosome biogenesis, and the assembly of RNP complexes. The function of DDX27 has not been characterized.

Alternate Names

DEAD (Asp-Glu-Ala-Asp) box polypeptide 27, DEAD box protein 27, DEAD/H (Asp-Glu-Ala-Asp/His) box polypeptide 27, dJ686N3.1, DKFZp667N057, DRS1, EC 3.6.1, EC 3.6.4.13, FLJ12917, FLJ20596, FLJ22238, MGC1018, MGC163147, PP3241, probable ATP-dependent RNA helicase DDX27, RHLP, RNA helicase-like protein, Rrp3p

Gene Symbol

DDX27

Additional DDX27 Products

Product Documents for DDX27 Antibody - BSA Free

Certificate of Analysis

To download a Certificate of Analysis, please enter a lot number in the search box below.

Product Specific Notices for DDX27 Antibody - BSA Free

This product is for research use only and is not approved for use in humans or in clinical diagnosis. Primary Antibodies are guaranteed for 1 year from date of receipt.

Loading...
Loading...
Loading...
Loading...