Skip to main content

DDX26B Antibody - BSA Free

Novus Biologicals, part of Bio-Techne | Catalog # NBP1-81910

Novus Biologicals, part of Bio-Techne
Catalog #
Availability
Size / Price
Qty
Loading...
NBP1-81910
NBP1-81910-25ul

Key Product Details

Species Reactivity

Human

Applications

Immunohistochemistry, Immunohistochemistry-Paraffin

Label

Unconjugated

Antibody Source

Polyclonal Rabbit IgG

Format

BSA Free

Concentration

Concentrations vary lot to lot. See vial label for concentration. If unlisted please contact technical services.

Product Specifications

Immunogen

This antibody was developed against Recombinant Protein corresponding to amino acids: DNLDCGLSYSVISYLKKLSQQTKLESERILASVGKKPPQEIGIKVKNHSGGGMSLTHNKNFRKLLKEITGETALRLTELNTKEFAGFQIGLLNKDLKPQTYRNAYDIPRRGLLDQLTRMRSNLLKTH

Reactivity Notes

Immunogen displays the following percentage of sequence identity for non-tested species: Mouse (88%)

Clonality

Polyclonal

Host

Rabbit

Isotype

IgG

Scientific Data Images for DDX26B Antibody - BSA Free

Immunohistochemistry-Paraffin: DDX26B Antibody [NBP1-81910]

Immunohistochemistry-Paraffin: DDX26B Antibody [NBP1-81910]

Immunohistochemistry-Paraffin: DDX26B Antibody [NBP1-81910] - Staining of human gall bladder shows cytoplasmic positivity, with a granular pattern, in glandular cells.
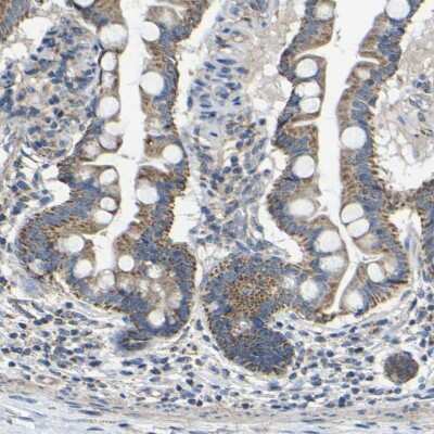
Immunohistochemistry-Paraffin: DDX26B Antibody [NBP1-81910]

Immunohistochemistry-Paraffin: DDX26B Antibody [NBP1-81910]

Immunohistochemistry-Paraffin: DDX26B Antibody [NBP1-81910] - Staining of human small intestine shows moderate cytoplasmic positivity with a granular pattern in glandular cells.

Applications for DDX26B Antibody - BSA Free

Application
Recommended Usage

Immunohistochemistry

1:50 - 1:200

Immunohistochemistry-Paraffin

1:50 - 1:200
Application Notes
For IHC-Paraffin, HIER pH 6 retrieval is recommended.

Formulation, Preparation, and Storage

Purification

Affinity purified

Formulation

PBS (pH 7.2) and 40% Glycerol

Format

BSA Free

Preservative

0.02% Sodium Azide

Concentration

Concentrations vary lot to lot. See vial label for concentration. If unlisted please contact technical services.

Shipping

The product is shipped with polar packs. Upon receipt, store it immediately at the temperature recommended below.

Stability & Storage

Store at 4C short term. Aliquot and store at -20C long term. Avoid freeze-thaw cycles.

Background: DDX26B

Alternate Names

DEAD/H (Asp-Glu-Ala-Asp/His) box polypeptide 26B

Gene Symbol

INTS6L

Additional DDX26B Products

Product Documents for DDX26B Antibody - BSA Free

Certificate of Analysis

To download a Certificate of Analysis, please enter a lot number in the search box below.

Product Specific Notices for DDX26B Antibody - BSA Free

This product is for research use only and is not approved for use in humans or in clinical diagnosis. Primary Antibodies are guaranteed for 1 year from date of receipt.

Loading...
Loading...
Loading...
Loading...