DDX1 Antibody - BSA Free
Novus Biologicals, part of Bio-Techne | Catalog # NBP1-85294
Key Product Details
Validated by
Independent Antibodies
Species Reactivity
Human, Mouse, Rat
Applications
Immunohistochemistry, Immunohistochemistry-Paraffin, Western Blot, Immunocytochemistry/ Immunofluorescence
Label
Unconjugated
Antibody Source
Polyclonal Rabbit IgG
Format
BSA Free
Concentration
Concentrations vary lot to lot. See vial label for concentration. If unlisted please contact technical services.
Product Specifications
Immunogen
This antibody was developed against Recombinant Protein corresponding to amino acids: NQALFPACVLKNAELKFNFGEEEFKFPPKDGFVALSKAPDGYIVKSQHSGNAQVTQTKFLPNAPKALIVEPSRELAEQTLNNIKQFKKY
Clonality
Polyclonal
Host
Rabbit
Isotype
IgG
Scientific Data Images for DDX1 Antibody - BSA Free
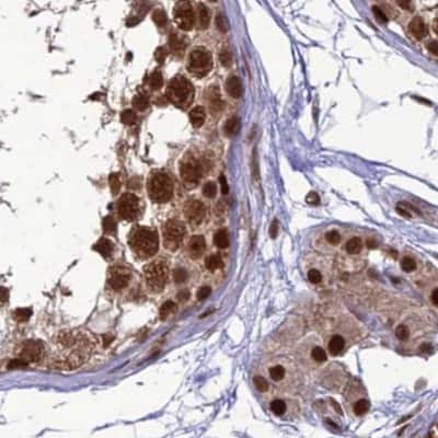
Immunohistochemistry-Paraffin: DDX1 Antibody [NBP1-85294]
Immunohistochemistry-Paraffin: DDX1 Antibody [NBP1-85294] - Staining of human cerebral cortex, colon, kidney and testis using Anti-DDX1 antibody NBP1-85294 (A) shows similar protein distribution across tissues to independent antibody NBP1-85293 (B).Immunocytochemistry/ Immunofluorescence: DDX1 Antibody [NBP1-85294]
Immunocytochemistry/Immunofluorescence: DDX1 Antibody [NBP1-85294] - Immunofluorescent staining of human cell line U-2 OS shows localization to nucleoplasm.Applications for DDX1 Antibody - BSA Free
Application
Recommended Usage
Immunocytochemistry/ Immunofluorescence
0.25-2 ug/ml
Immunohistochemistry
1:50 - 1:200
Immunohistochemistry-Paraffin
1:50 - 1:200
Western Blot
0.04-0.4 ug/ml
Application Notes
For IHC-Paraffin, HIER pH 6 retrieval is recommended. ICC/IF Fixation Permeabilization: Use PFA/Triton X-100.
Formulation, Preparation, and Storage
Purification
Affinity purified
Formulation
PBS (pH 7.2) and 40% Glycerol
Format
BSA Free
Preservative
0.02% Sodium Azide
Concentration
Concentrations vary lot to lot. See vial label for concentration. If unlisted please contact technical services.
Shipping
The product is shipped with polar packs. Upon receipt, store it immediately at the temperature recommended below.
Stability & Storage
Store at 4C short term. Aliquot and store at -20C long term. Avoid freeze-thaw cycles.
Background: DDX1
Long Name
DEAD-Box Helicase 1
Alternate Names
DBP-RB, DEAD Box-1, DEAD/H-Box Helicase 1, UKVH5d
Gene Symbol
DDX1
Additional DDX1 Products
Product Documents for DDX1 Antibody - BSA Free
Product Specific Notices for DDX1 Antibody - BSA Free
This product is for research use only and is not approved for use in humans or in clinical diagnosis. Primary Antibodies are guaranteed for 1 year from date of receipt.
Loading...
Loading...
Loading...
Loading...