Skip to main content

DDRGK1 Antibody - BSA Free

Novus Biologicals, part of Bio-Techne | Catalog # NBP3-48037

Novus Biologicals, part of Bio-Techne
Catalog #
Availability
Size / Price
Qty
Loading...
NBP3-48037

Key Product Details

Species Reactivity

Human, Mouse

Applications

Immunohistochemistry, Western Blot, ELISA, Immunocytochemistry/ Immunofluorescence

Label

Unconjugated

Antibody Source

Polyclonal Rabbit IgG

Format

BSA Free

Concentration

Please see the vial label for concentration. If unlisted please contact technical services.

Product Specifications

Immunogen

DDRGK domain containing 1. (Uniprot# Q96HY6)

Clonality

Polyclonal

Host

Rabbit

Isotype

IgG

Description

Novus Biologicals Rabbit DDRGK1 Antibody - BSA Free (NBP3-48037) is a polyclonal antibody validated for use in IHC, WB, ELISA and ICC/IF. All Novus Biologicals antibodies are covered by our 100% guarantee.

Scientific Data Images for DDRGK1 Antibody - BSA Free

DDRGK1 Antibody - BSA Free

Western Blot: DDRGK1 Antibody - BSA Free [NBP3-48037] -

Western Blot: DDRGK1 Antibody - BSA Free [NBP3-48037] - Mouse liver tissue were subjected to SDS PAGE followed by western blot with (DDRGK1 Antibody) at dilution of 1:600
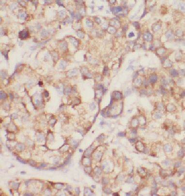
DDRGK1 Antibody - BSA Free

Immunohistochemistry: DDRGK1 Antibody - BSA Free [NBP3-48037] -

Immunohistochemistry: DDRGK1 Antibody - BSA Free [NBP3-48037] - Immunohistochemistry of paraffin-embedded mouse brain tissue slide using (DDRGK1 Antibody) at dilution of 1:50

Applications for DDRGK1 Antibody - BSA Free

Application
Recommended Usage

Immunocytochemistry/ Immunofluorescence

1:20-1:200

Immunohistochemistry

1:20-1:200

Western Blot

1:500-1:2000
Application Notes
Theoretical Molecular Weight is 36-46 kDa

Formulation, Preparation, and Storage

Purification

Immunogen affinity purified

Formulation

PBS, 50% Glycerol, pH (7.3)

Format

BSA Free

Preservative

0.02% Sodium Azide

Concentration

Please see the vial label for concentration. If unlisted please contact technical services.

Shipping

The product is shipped with polar packs. Upon receipt, store it immediately at the temperature recommended below.

Stability & Storage

Store at -20C. Avoid freeze-thaw cycles.

Background: DDRGK1

Alternate Names

C20orf116, chromosome 20 open reading frame 116, DDRGK domain containing 1, DDRGK domain-containing protein 1, dJ1187M17.3, MGC2592

Gene Symbol

DDRGK1

Additional DDRGK1 Products

Product Documents for DDRGK1 Antibody - BSA Free

Certificate of Analysis

To download a Certificate of Analysis, please enter a lot number in the search box below.

Product Specific Notices for DDRGK1 Antibody - BSA Free

This product is for research use only and is not approved for use in humans or in clinical diagnosis. Primary Antibodies are guaranteed for 1 year from date of receipt.

Loading...
Loading...
Loading...
Loading...