Skip to main content

DDRGK1 Antibody - BSA Free

Novus Biologicals, part of Bio-Techne | Catalog # NBP2-99194

Novus Biologicals, part of Bio-Techne

Key Product Details

Species Reactivity

Human, Mouse

Applications

Immunohistochemistry, Immunohistochemistry-Paraffin

Label

Unconjugated

Antibody Source

Polyclonal Rabbit IgG

Format

BSA Free

Concentration

Please see the vial label for concentration. If unlisted please contact technical services.

Product Specifications

Immunogen

Produced in rabbits immunized with a synthetic peptide corresponding to the center region of the Human DDRGK1.

Clonality

Polyclonal

Host

Rabbit

Isotype

IgG

Description

This antibody can be stored at 2C to 8C for one month without detectable loss of activity. Antibody products are stable for twelve months from date of receipt when stored at -20C to -80C. Avoid repeated freeze-thaw cycles.

Scientific Data Images for DDRGK1 Antibody - BSA Free

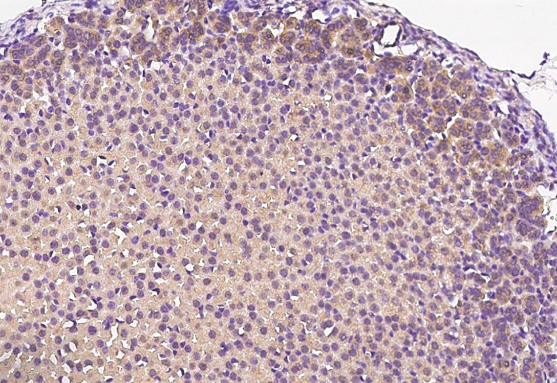
DDRGK1 Antibody

Immunohistochemistry-Paraffin:DDRGK1 Antibody-NBP2-99194-

Immunohistochemistry-Paraffin:DDRGK1 Antibody-NBP2-99194-Staining DDRGK1 in human adrenal gland with rabbit polyclonal antibody at 1:1000 dilution, formalin-fixed paraffin embedded sections.
DDRGK1 Antibody

Immunohistochemistry-Paraffin:DDRGK1 Antibody-NBP2-99194-

Immunohistochemistry-Paraffin:DDRGK1 Antibody-NBP2-99194- Staining DDRGK1 in mouse adrenal gland with rabbit polyclonal antibody at 1:1000 dilution, formalin-fixed paraffin embedded sections.

Applications for DDRGK1 Antibody - BSA Free

Application
Recommended Usage

Immunohistochemistry

1:500-1:2000

Immunohistochemistry-Paraffin

1:500-1:2000

Formulation, Preparation, and Storage

Purification

Antigen and protein A Affinity-purified

Formulation

PBS

Format

BSA Free

Preservative

0.03% Proclin 300

Concentration

Please see the vial label for concentration. If unlisted please contact technical services.

Shipping

The product is shipped with polar packs. Upon receipt, store it immediately at the temperature recommended below.

Stability & Storage

Store at 4C short term. Aliquot and store at -20C long term. Avoid freeze-thaw cycles.

Background: DDRGK1

Alternate Names

C20orf116, chromosome 20 open reading frame 116, DDRGK domain containing 1, DDRGK domain-containing protein 1, dJ1187M17.3, MGC2592

Gene Symbol

DDRGK1

Additional DDRGK1 Products

Product Documents for DDRGK1 Antibody - BSA Free

Certificate of Analysis

To download a Certificate of Analysis, please enter a lot number in the search box below.

Product Specific Notices for DDRGK1 Antibody - BSA Free

This product is for research use only and is not approved for use in humans or in clinical diagnosis. Primary Antibodies are guaranteed for 1 year from date of receipt.

Loading...
Loading...
Loading...
Loading...