Skip to main content

DDOST Antibody - Azide and BSA Free

Novus Biologicals, part of Bio-Techne | Catalog # NBP2-99995

Novus Biologicals, part of Bio-Techne
Catalog #
Availability
Size / Price
Qty
Loading...
NBP2-99995-100ul
NBP2-99995-50ul
Conjugate
Catalog #

Key Product Details

Species Reactivity

Human

Applications

Immunohistochemistry, Immunohistochemistry-Paraffin, ELISA

Label

Unconjugated

Antibody Source

Polyclonal Rabbit IgG

Format

Azide and BSA Free

Concentration

Please see the vial label for concentration. If unlisted please contact technical services.

Product Specifications

Immunogen

Produced in rabbits immunized with purified, recombinant Human DDOST (Accession#: P39656-1; Ser43-Pro427)

Clonality

Polyclonal

Host

Rabbit

Isotype

IgG

Description

This antibody can be stored at 2C to 8C for one month without detectable loss of activity. Antibody products are stable for twelve months from date of receipt when stored at -20C to -80C. Avoid repeated freeze-thaw cycles.

Scientific Data Images for DDOST Antibody - Azide and BSA Free

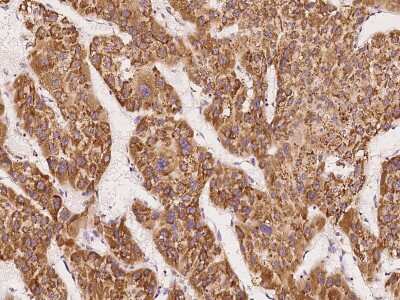
Immunohistochemistry-Paraffin: DDOST Antibody [NBP2-99995]

Immunohistochemistry-Paraffin: DDOST Antibody [NBP2-99995]

Immunohistochemistry-Paraffin: DDOST Antibody [NBP2-99995] - Immunochemical staining of human DDOST in human pancreas with rabbit polyclonal antibody at 1:1000 dilution, formalin-fixed paraffin embedded sections.
Immunohistochemistry-Paraffin: DDOST Antibody [NBP2-99995]

Immunohistochemistry-Paraffin: DDOST Antibody [NBP2-99995]

Immunohistochemistry-Paraffin: DDOST Antibody [NBP2-99995] - Immunochemical staining of human DDOST in human hepatoma with rabbit polyclonal antibody at 1:1000 dilution, formalin-fixed paraffin embedded sections.

Applications for DDOST Antibody - Azide and BSA Free

Application
Recommended Usage

ELISA

1:5000-1:10000

Immunohistochemistry-Paraffin

1:500-1:2000

Formulation, Preparation, and Storage

Purification

Antigen and protein A Affinity-purified

Formulation

0.2 um filtered solution in PBS

Format

Azide and BSA Free

Preservative

No Preservative

Concentration

Please see the vial label for concentration. If unlisted please contact technical services.

Shipping

The product is shipped with polar packs. Upon receipt, store it immediately at the temperature recommended below.

Stability & Storage

Store at 4C short term. Aliquot and store at -20C long term. Avoid freeze-thaw cycles.

Background: DDOST

DDOST encodes a component of the oligosaccharyltransferase complex which catalyzes the transfer of high-mannose oligosaccharides to asparagine residues on nascent polypeptides in the lumen of the rough endoplasmic reticulum. The protein complex co-purifies with ribosomes. The product of this gene is also implicated in the processing of advanced glycation endproducts (AGEs), which form from non-enzymatic reactions between sugars and proteins or lipids and are associated with aging and hyperglycemia. [provided by RefSeq]

Alternate Names

advanced glycation endproduct receptor 1, DDOST 48 kDa subunit, dolichyl-diphosphooligosaccharide-protein glycosyltransferase, dolichyl-diphosphooligosaccharide--protein glycosyltransferase, dolichyl-diphosphooligosaccharide--protein glycosyltransferase 48 kDa subunit, dolichyl-diphosphooligosaccharide-protein glycotransferase, EC 2.4.1.119, KIAA0115MGC2191, Oligosaccharyl transferase 48 kDa subunit, oligosaccharyltransferase 48 kDa subunit, OST48AGER1, OSTOKSWcl45, WBP1

Gene Symbol

DDOST

Additional DDOST Products

Product Documents for DDOST Antibody - Azide and BSA Free

Certificate of Analysis

To download a Certificate of Analysis, please enter a lot number in the search box below.

Product Specific Notices for DDOST Antibody - Azide and BSA Free

This product is for research use only and is not approved for use in humans or in clinical diagnosis. Primary Antibodies are guaranteed for 1 year from date of receipt.

Loading...
Loading...
Loading...
Loading...