DcR3/TNFRSF6B Antibody - BSA Free
Novus Biologicals, part of Bio-Techne | Catalog # NBP1-76909
Key Product Details
Species Reactivity
Human, Mouse, Rat
Applications
Immunohistochemistry, Immunohistochemistry-Paraffin, Western Blot, ELISA
Label
Unconjugated
Antibody Source
Polyclonal Rabbit IgG
Format
BSA Free
Concentration
1 mg/ml
Product Specifications
Immunogen
Antibody was raised against a peptide corresponding to amino acids near the amino terminus of human DcR3 precursor. The immunogen is located within the first 50 amino acids of DcR3. Amino Acid Squence: AETPTYPWRDAETGER
Clonality
Polyclonal
Host
Rabbit
Isotype
IgG
Theoretical MW
33 kDa.
Disclaimer note: The observed molecular weight of the protein may vary from the listed predicted molecular weight due to post translational modifications, post translation cleavages, relative charges, and other experimental factors.
Disclaimer note: The observed molecular weight of the protein may vary from the listed predicted molecular weight due to post translational modifications, post translation cleavages, relative charges, and other experimental factors.
Description
Novus Biologicals Rabbit DcR3/TNFRSF6B Antibody - BSA Free (NBP1-76909) is a polyclonal antibody validated for use in IHC, WB and ELISA. All Novus Biologicals antibodies are covered by our 100% guarantee.
Scientific Data Images for DcR3/TNFRSF6B Antibody - BSA Free
Western Blot: DcR3/TNFRSF6B AntibodyBSA Free [NBP1-76909]
Western Blot: DcR3/TNFRSF6B Antibody [NBP1-76909] - Analysis of DcR3 in human heart (H), brain (B), and kidney (K) tissue lysates with anti-DcR3 (NT) using NBP1-76909 at 1:500 dilution.Immunohistochemistry: DcR3/TNFRSF6B Antibody - BSA Free [NBP1-76909] -
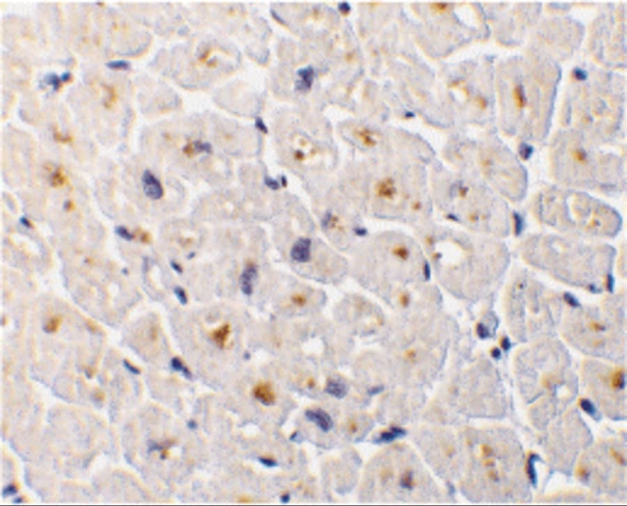
Immunohistochemistry: DcR3/TNFRSF6B Antibody - BSA Free [NBP1-76909] - Immunohistochemistry of DcR3/TNFRSF6B in human heart tissue with DcR3/TNFRSF6B antibody at 1 ug/mL.Applications for DcR3/TNFRSF6B Antibody - BSA Free
Application
Recommended Usage
ELISA
1:100-1:2000
Immunohistochemistry
1 ug/ml
Immunohistochemistry-Paraffin
1 ug/ml
Western Blot
0.5 ug/ml
Application Notes
An approximately 33 kDa band can be detected in Western Blot.
Formulation, Preparation, and Storage
Purification
Ion exchange chromatography
Formulation
PBS
Format
BSA Free
Preservative
0.02% Sodium Azide
Concentration
1 mg/ml
Shipping
The product is shipped with polar packs. Upon receipt, store it immediately at the temperature recommended below.
Stability & Storage
Store at 4C short term. Aliquot and store at -20C long term. Avoid freeze-thaw cycles.
Background: DcR3/TNFRSF6B
Long Name
Decoy Receptor 3
Alternate Names
M68, TNFRSF6B, TR6
Entrez Gene IDs
8771 (Human)
Gene Symbol
TNFRSF6B
UniProt
Additional DcR3/TNFRSF6B Products
Product Documents for DcR3/TNFRSF6B Antibody - BSA Free
Product Specific Notices for DcR3/TNFRSF6B Antibody - BSA Free
This product is for research use only and is not approved for use in humans or in clinical diagnosis. Primary Antibodies are guaranteed for 1 year from date of receipt.
Loading...
Loading...
Loading...
Loading...