Skip to main content

DARC Antibody - BSA Free

Novus Biologicals, part of Bio-Techne | Catalog # NBP1-77278

Novus Biologicals, part of Bio-Techne

Key Product Details

Validated by

Biological Validation

Species Reactivity

Validated:

Human, Mouse, Rat

Cited:

Human

Applications

Validated:

Immunohistochemistry, Immunohistochemistry-Paraffin, Western Blot, ELISA

Cited:

Western Blot

Label

Unconjugated

Antibody Source

Polyclonal Rabbit IgG

Format

BSA Free

Concentration

1 mg/ml

Product Specifications

Immunogen

Antibody was raised against a 16 amino acid synthetic peptide from near the carboxy terminus of human DARC. The immunogen is located within the last 50 amino acids of DARC. Amino Acid Squence: LPEGWSSHLDTLGSKS

Clonality

Polyclonal

Host

Rabbit

Isotype

IgG

Theoretical MW

35 kDa.
Disclaimer note: The observed molecular weight of the protein may vary from the listed predicted molecular weight due to post translational modifications, post translation cleavages, relative charges, and other experimental factors.

Description

Novus Biologicals Rabbit DARC Antibody - BSA Free (NBP1-77278) is a polyclonal antibody validated for use in IHC, WB and ELISA. Anti-DARC Antibody: Cited in 3 publications. All Novus Biologicals antibodies are covered by our 100% guarantee.

Scientific Data Images for DARC Antibody - BSA Free

Western Blot: DARC AntibodyBSA Free [NBP1-77278]

Western Blot: DARC AntibodyBSA Free [NBP1-77278]

DARC-Antibody-Western-Blot-NBP1-77278-img0005.jpg
Western Blot: DARC AntibodyBSA Free [NBP1-77278]

Western Blot: DARC AntibodyBSA Free [NBP1-77278]

Western Blot: DARC Antibody - BSA Free [NBP1-77278] - DARC Antibody [NBP1-77278] - Analysis in human cerebellum tissue lysate with antibody at 1 ug/mL.
DARC Antibody - BSA Free

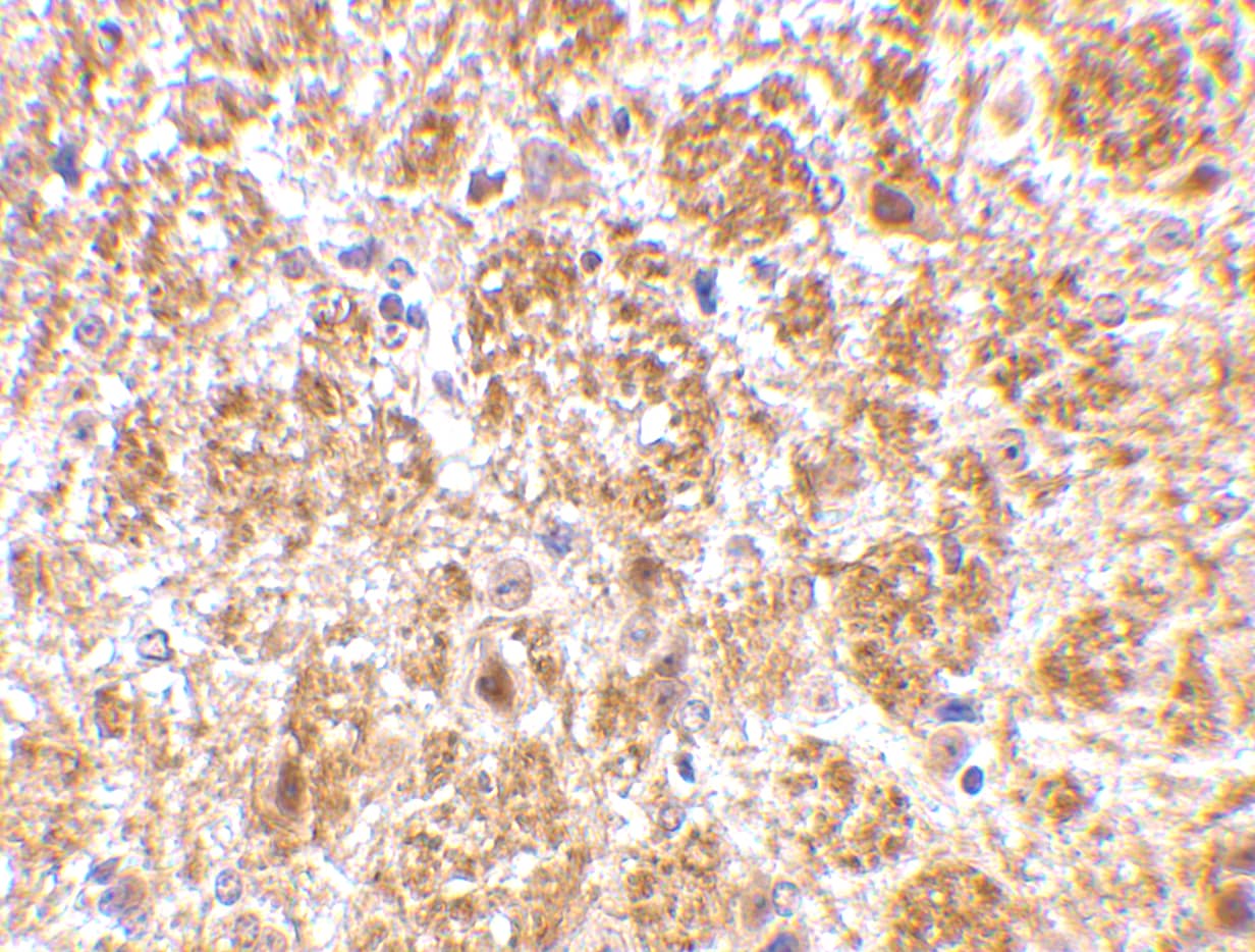
Immunohistochemistry: DARC Antibody - BSA Free [NBP1-77278] -

Immunohistochemistry: DARC Antibody - BSA Free [NBP1-77278] - Immunohistochemistry of DARC in mouse brain tissue with DARC antibody at 2.5 ug/mL.

Applications for DARC Antibody - BSA Free

Application
Recommended Usage

ELISA

1:100-1:2000

Immunohistochemistry

2.5 ug/ml

Immunohistochemistry-Paraffin

2.5 ug/ml

Western Blot

0.5-2 ug/ml

Formulation, Preparation, and Storage

Purification

Peptide affinity purified

Formulation

PBS

Format

BSA Free

Preservative

0.02% Sodium Azide

Concentration

1 mg/ml

Shipping

The product is shipped with polar packs. Upon receipt, store it immediately at the temperature recommended below.

Stability & Storage

Store at 4C short term. Aliquot and store at -20C long term. Avoid freeze-thaw cycles.

Background: DARC

DARC, also known as the Duffy antigen/chemokine receptor, is a seven-transmembrane protein homologous to the classical chemokine G-protein coupled receptors (GPCRs) with the exception of the motif required for G protein coupling. DARC can bind with high affinity several chemokines without transducing any signal, suggesting it may modulate the signals normally induced by these chemokines. Recently, DARC was found to interact with KAI1, a four transmembrane protein recently identified as a tumor metastasis suppressor protein. It is thought that tumor cells dislodged from the primary tumor and expressing KAI1 interact with DARC proteins expressed on vascular cells, transmitting a senescent signal to the tumor cells, while tumor cells that have lost KAI1 expression can proliferate and potentially give rise to metastases. At least three isoforms of DARC are known to exist.

Long Name

Duffy Antigen, Receptor For Chemokines

Alternate Names

ACKR1, CD234, Duffy Antigen, Fy Antigen, GPD, GpFy

Entrez Gene IDs

2532 (Human)

Gene Symbol

ACKR1

UniProt

Additional DARC Products

Product Documents for DARC Antibody - BSA Free

Certificate of Analysis

To download a Certificate of Analysis, please enter a lot number in the search box below.

Product Specific Notices for DARC Antibody - BSA Free

This product is for research use only and is not approved for use in humans or in clinical diagnosis. Primary Antibodies are guaranteed for 1 year from date of receipt.

Loading...
Loading...
Loading...
Loading...