Skip to main content

DAP Kinase 1 Antibody (12B2-R)

Novus Biologicals, part of Bio-Techne | Catalog # NBP3-32256

Recombinant Monoclonal Antibody
Novus Biologicals, part of Bio-Techne
Catalog #
Availability
Size / Price
Qty
Loading...
NBP3-32256

Key Product Details

Species Reactivity

Human

Applications

Immunohistochemistry, Immunohistochemistry-Paraffin, Western Blot

Label

Unconjugated

Antibody Source

Recombinant Monoclonal Mouse IgG1 Clone # 12B2-R expressed in HEK293

Concentration

1 mg/ml

Product Specifications

Immunogen

Recombinant protein within human DAP Kinase 1 aa 451-700 / 1,430. (Uniprot: P53355)

Localization

Cytoplasm, cytoskeleton.

Clonality

Monoclonal

Host

Mouse

Isotype

IgG1

Theoretical MW

160 kDa.
Disclaimer note: The observed molecular weight of the protein may vary from the listed predicted molecular weight due to post translational modifications, post translation cleavages, relative charges, and other experimental factors.

Description

Novus Biologicals Mouse DAP Kinase 1 Antibody (12B2-R) (NBP3-32256) is a recombinant monoclonal antibody validated for use in IHC and WB. All Novus Biologicals antibodies are covered by our 100% guarantee.

Scientific Data Images for DAP Kinase 1 Antibody (12B2-R)

DAP Kinase 1 Antibody (12B2-R)

Western Blot: DAP Kinase 1 Antibody (12B2-R) [NBP3-32256]

Western Blot: DAP Kinase 1 Antibody (12B2-R) [NBP3-32256] - Western blot analysis of DAP Kinase 1 on different lysates with Mouse anti-DAP Kinase 1 antibody (NBP3-32256) at 1/2,000 dilution.

Lane 1: A549 cell lysate
Lane 2: TF-1 cell lysate
Lane 3: HepG2 cell lysate
Lane 4: Human brain tissue lysate

Lysates/proteins at 30 ug/Lane.

Predicted band size: 160 kDa
Observed band size: 160 kDa

Exposure time: 2 minutes;

4-20% SDS-PAGE gel.

Proteins were transferred to a PVDF membrane and blocked with 5% NFDM/TBST for 1 hour at room temperature. The primary antibody (NBP3-32256) at 1/2,000 dilution was used in 5% NFDM/TBST at room temperature for 2 hours. Goat Anti-Mouse IgG - HRP Secondary Antibody at 1:100,000 dilution was used for 1 hour at room temperature.
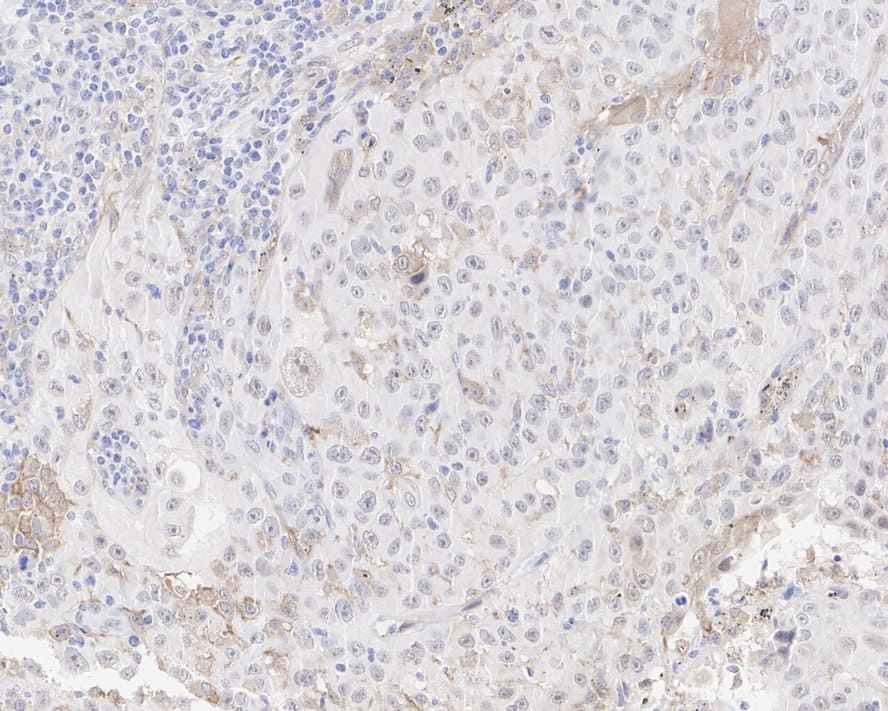
DAP Kinase 1 Antibody (12B2-R)

Immunohistochemistry: DAP Kinase 1 Antibody (12B2-R) [NBP3-32256]

Immunohistochemistry: DAP Kinase 1 Antibody (12B2-R) [NBP3-32256] - Immunohistochemical analysis of paraffin-embedded human lung carcinoma tissue with Rabbit anti-DAP Kinase 1 antibody (NBP3-32256) at 1/2,000 dilution.

The section was pre-treated using heat mediated antigen retrieval with Tris-EDTA buffer (pH 9.0) for 20 minutes. The tissues were blocked in 1% BSA for 20 minutes at room temperature, washed with ddH2O and PBS, and then probed with the primary antibody (NBP3-32256) at 1/2,000 dilution for 1 hour at room temperature. The detection was performed using an HRP conjugated compact polymer system. DAB was used as the chromogen. Tissues were counterstained with hematoxylin and mounted with DPX.

Applications for DAP Kinase 1 Antibody (12B2-R)

Application
Recommended Usage

Immunohistochemistry-Paraffin

1:2000

Western Blot

1:2000

Formulation, Preparation, and Storage

Purification

Protein A purified

Formulation

PBS (pH7.4), 0.1% BSA and 40% Glycerol

Preservative

0.05% Sodium Azide

Concentration

1 mg/ml

Shipping

The product is shipped with polar packs. Upon receipt, store it immediately at the temperature recommended below.

Stability & Storage

Store at 4C short term. Aliquot and store at -20C long term. Avoid freeze-thaw cycles.

Background: DAP Kinase 1

DAPK1 (Death-associated protein kinase 1) is a calmodulin dependent serine/threonine serine kinase which functions as a positive mediator of gamma-interferon induced programmed cell death. DAPK1 expression is frequently lost in human carcinomas and B-cell leukemia, and lower levels of expression correlates with high rates of metastasis. The loss of DAPK expression provides a link between suppression of apoptosis and metastasis. DAPK1 is thought be involved in an early apoptotic checkpoint which eliminates premalignant cells from cancer formation. Studies in bladder cancer patients have also shown that hypermethylation of DAPK1 correlates to high recurrence rates and thus DAPK1 may be used as a prognostic marker. DAPK1 is also reportedly a molecular regulator of neuronal death in epilepsy.

Long Name

Death-associated protein kinase 1

Alternate Names

DAPK, DAPK1

Gene Symbol

DAPK1

Additional DAP Kinase 1 Products

Product Documents for DAP Kinase 1 Antibody (12B2-R)

Certificate of Analysis

To download a Certificate of Analysis, please enter a lot number in the search box below.

Product Specific Notices for DAP Kinase 1 Antibody (12B2-R)

This product is for research use only and is not approved for use in humans or in clinical diagnosis. Primary Antibodies are guaranteed for 1 year from date of receipt.

Loading...
Loading...
Loading...
Loading...