Skip to main content

DAK Antibody - BSA Free

Novus Biologicals, part of Bio-Techne | Catalog # NBP2-48894

Novus Biologicals, part of Bio-Techne
Catalog #
Availability
Size / Price
Qty
Loading...
NBP2-48894
NBP2-48894-25ul

Key Product Details

Validated by

Independent Antibodies

Species Reactivity

Validated:

Human

Predicted:

Mouse (91%), Rat (93%). Backed by our 100% Guarantee.

Applications

Immunohistochemistry, Immunohistochemistry-Paraffin, Western Blot

Label

Unconjugated

Antibody Source

Polyclonal Rabbit IgG

Format

BSA Free

Concentration

Concentrations vary lot to lot. See vial label for concentration. If unlisted please contact technical services.

Product Specifications

Immunogen

This antibody was developed against a recombinant protein corresponding to amino acids: PGDRTMLDSLWAAGQELQAWKSPGADLLQVLTKAVKSAEAAAEATKNMEAGAGRASYISSARLEQPDPGAVAAAAILRAIL

Clonality

Polyclonal

Host

Rabbit

Isotype

IgG

Scientific Data Images for DAK Antibody - BSA Free

Immunohistochemistry-Paraffin: DAK Antibody [NBP2-48894]

Immunohistochemistry-Paraffin: DAK Antibody [NBP2-48894]

Immunohistochemistry-Paraffin: DAK Antibody [NBP2-48894] - Staining of human duodenum, kidney, liver and skeletal muscle using Anti-TKFC antibody NBP2-48894 (A) shows similar protein distribution across tissues to independent antibody NBP1-84142 (B).
Western Blot: DAK Antibody [NBP2-48894]

Western Blot: DAK Antibody [NBP2-48894]

Western Blot: DAK Antibody [NBP2-48894] - Lane 1: Marker [kDa] 250, 130, 95, 72, 55, 36, 28, 17, 10
Lane 2: Human cell line RT-4
Lane 3: Human cell line U-251 MG
Lane 4: Human plasma
Lane 5: Human Liver tissue
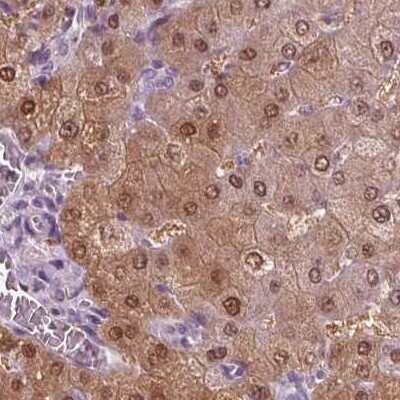
Immunohistochemistry-Paraffin: DAK Antibody [NBP2-48894]

Immunohistochemistry-Paraffin: DAK Antibody [NBP2-48894]

Immunohistochemistry-Paraffin: DAK Antibody [NBP2-48894] - Staining of human liver.

Applications for DAK Antibody - BSA Free

Application
Recommended Usage

Immunohistochemistry

1:200 - 1:500

Immunohistochemistry-Paraffin

1:200 - 1:500

Western Blot

0.04-0.4 ug/ml
Application Notes
For IHC-Paraffin, HIER pH 6 retrieval is recommended.

Formulation, Preparation, and Storage

Purification

Affinity purified

Formulation

PBS (pH 7.2) and 40% Glycerol

Format

BSA Free

Preservative

0.02% Sodium Azide

Concentration

Concentrations vary lot to lot. See vial label for concentration. If unlisted please contact technical services.

Shipping

The product is shipped with polar packs. Upon receipt, store it immediately at the temperature recommended below.

Stability & Storage

Store at 4C short term. Aliquot and store at -20C long term. Avoid freeze-thaw cycles.

Background: DAK

Alternate Names

ATP-dependent dihydroxyacetone kinase, bifunctional ATP-dependent dihydroxyacetone kinase/FAD-AMP lyase (cyclizing), DHA kinase, Dha kinase/FMN cyclase, dihydroxyacetone kinase 2 homolog (S. cerevisiae), dihydroxyacetone kinase 2 homolog (yeast), DKFZP586B1621, FAD-AMP lyase cyclic FMN forming, FAD-AMP lyase cyclizing, glycerone kinase, MGC5621, NET45

Gene Symbol

DAK

Additional DAK Products

Product Documents for DAK Antibody - BSA Free

Certificate of Analysis

To download a Certificate of Analysis, please enter a lot number in the search box below.

Product Specific Notices for DAK Antibody - BSA Free

This product is for research use only and is not approved for use in humans or in clinical diagnosis. Primary Antibodies are guaranteed for 1 year from date of receipt.

Loading...
Loading...
Loading...
Loading...