Skip to main content

Cytosolic Sulfotransferase 1C2/SULT1C2 Antibody - BSA Free

Novus Biologicals, part of Bio-Techne | Catalog # NBP1-86994

Novus Biologicals, part of Bio-Techne
Catalog #
Availability
Size / Price
Qty
Loading...
NBP1-86994

Key Product Details

Species Reactivity

Human

Applications

Immunohistochemistry, Immunohistochemistry-Paraffin, Western Blot

Label

Unconjugated

Antibody Source

Polyclonal Rabbit IgG

Format

BSA Free

Concentration

Concentrations vary lot to lot. See vial label for concentration. If unlisted please contact technical services.

Product Specifications

Immunogen

This antibody was developed against Recombinant Protein corresponding to amino acids: PATVDNWSQIQSFEAKPDDLLICTYPKAGTTWIQEIVDMIEQNGDVEKCQRAIIQHRHPFIEWARPPQPSGVEKAKAMPSPRILKTHLSTQLLPPSFWENNCKFLYVARNAKDCMVSYYHFQRMNH

Reactivity Notes

Immunogen displays the following percentage of sequence identity for non-tested species: Mouse (87%), Rat (88%)

Clonality

Polyclonal

Host

Rabbit

Isotype

IgG

Scientific Data Images for Cytosolic Sulfotransferase 1C2/SULT1C2 Antibody - BSA Free

Immunohistochemistry-Paraffin: Cytosolic Sulfotransferase 1C2/SULT1C2 Antibody [NBP1-86994]

Immunohistochemistry-Paraffin: Cytosolic Sulfotransferase 1C2/SULT1C2 Antibody [NBP1-86994]

Immunohistochemistry-Paraffin: Cytosolic Sulfotransferase 1C2/SULT1C2 Antibody [NBP1-86994] - Staining of human small intestine shows strong cytoplasmic positivity in a subset of glandular cells.
Immunohistochemistry-Paraffin: Cytosolic Sulfotransferase 1C2/SULT1C2 Antibody [NBP1-86994]

Immunohistochemistry-Paraffin: Cytosolic Sulfotransferase 1C2/SULT1C2 Antibody [NBP1-86994]

Immunohistochemistry-Paraffin: Cytosolic Sulfotransferase 1C2/SULT1C2 Antibody [NBP1-86994] - Staining of human stomach shows moderate to strong cytoplasmic positivity in glandular cells.
Immunohistochemistry-Paraffin: Cytosolic Sulfotransferase 1C2/SULT1C2 Antibody [NBP1-86994]

Immunohistochemistry-Paraffin: Cytosolic Sulfotransferase 1C2/SULT1C2 Antibody [NBP1-86994]

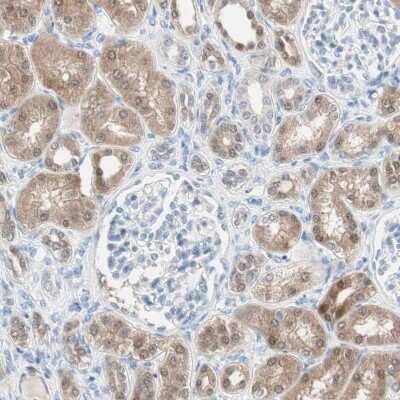
Immunohistochemistry-Paraffin: Cytosolic Sulfotransferase 1C2/SULT1C2 Antibody [NBP1-86994] - Staining of human kidney shows moderate cytoplasmic positivity in cells in tubules.

Applications for Cytosolic Sulfotransferase 1C2/SULT1C2 Antibody - BSA Free

Application
Recommended Usage

Immunohistochemistry

1:50 - 1:200

Immunohistochemistry-Paraffin

1:50 - 1:200

Western Blot

0.04-0.4 ug/ml
Application Notes
For IHC-Paraffin, HIER pH 6 retrieval is recommended. Immunocytochemistry/Immunofluorescence Fixation Permeabilization: Use PFA/Triton X-100.

Formulation, Preparation, and Storage

Purification

Affinity purified

Formulation

PBS (pH 7.2) and 40% Glycerol

Format

BSA Free

Preservative

0.02% Sodium Azide

Concentration

Concentrations vary lot to lot. See vial label for concentration. If unlisted please contact technical services.

Shipping

The product is shipped with polar packs. Upon receipt, store it immediately at the temperature recommended below.

Stability & Storage

Store at 4C short term. Aliquot and store at -20C long term. Avoid freeze-thaw cycles.

Background: Cytosolic Sulfotransferase 1C2/SULT1C2

Sulfotransferase enzymes catalyze the sulfate conjugation of many hormones, neurotransmitters, drugs, and xenobiotic compounds. These cytosolic enzymes are different in their tissue distributions and substrate specificities. The gene structure (number and length of exons) is similar among family members. This gene encodes a protein that belongs to the SULT1 subfamily, responsible for transferring a sulfo moiety from PAPS to phenol-containing compounds. Two alternatively spliced transcript variants encoding different isoforms have been described for this gene. [provided by RefSeq]

Alternate Names

ST1C1, ST1C2, SULT1C1, SULT1C2

Gene Symbol

SULT1C2

Additional Cytosolic Sulfotransferase 1C2/SULT1C2 Products

Product Documents for Cytosolic Sulfotransferase 1C2/SULT1C2 Antibody - BSA Free

Certificate of Analysis

To download a Certificate of Analysis, please enter a lot number in the search box below.

Product Specific Notices for Cytosolic Sulfotransferase 1C2/SULT1C2 Antibody - BSA Free

This product is for research use only and is not approved for use in humans or in clinical diagnosis. Primary Antibodies are guaranteed for 1 year from date of receipt.

Loading...
Loading...
Loading...
Loading...