Cytokeratin 7, 8 Antibody (CAM5.2) - Azide and BSA Free
Novus Biologicals, part of Bio-Techne | Catalog # NBP3-45096
Key Product Details
Species Reactivity
Human
Applications
Immunohistochemistry
Label
Unconjugated
Antibody Source
Monoclonal Mouse IgG2a Kappa Clone # CAM5.2
Format
Azide and BSA Free
Concentration
1 mg/ml
Product Specifications
Immunogen
Human colorectal carcinoma cell line HT29
Localization
Cytoplasm
Clonality
Monoclonal
Host
Mouse
Isotype
IgG2a Kappa
Description
1.0 mg/ml of antibody purified from Bioreactor Concentrate by Protein A/G. Prepared in 10mM PBS WITHOUT BSA & azide. Also available at 200 ug/ml WITH BSA & azide (NBP3-44630).
Antibody with azide - store at 2 to 8C. Antibody without azide - store at -20 to -80C. Non-hazardous. No MSDS required.
Antibody with azide - store at 2 to 8C. Antibody without azide - store at -20 to -80C. Non-hazardous. No MSDS required.
Scientific Data Images for Cytokeratin 7, 8 Antibody (CAM5.2) - Azide and BSA Free
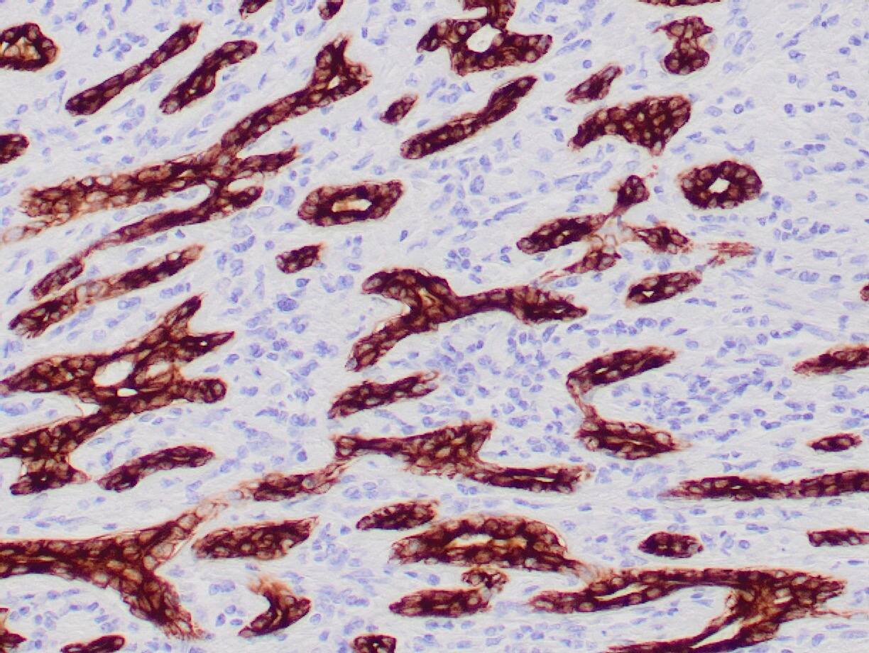
Immunohistochemistry-Paraffin: Cytokeratin 7, 8 Antibody (CAM5.2) - Azide and BSA Free [NBP3-45096] -
Formalin-fixed, paraffin-embedded human breast carcinoma stained with Cytokeratin 7, 8 Antibody (CAM5.2) - Azide and BSA Free. HIER: Tris/EDTA, pH9.0, 45min. 2 : HRP-polymer, 30min. DAB, 5min.Applications for Cytokeratin 7, 8 Antibody (CAM5.2) - Azide and BSA Free
Application
Recommended Usage
Immunohistochemistry
: 1-2ug/ml
Application Notes
Immunohistochemistry: 30 min at RT. Staining of formalin-fixed tissues requires heating tissue sections in 10mM Tris with 1mM EDTA, pH 9.0, for 45 min at 95C followed by cooling at RT for 20 minutes.
Formulation, Preparation, and Storage
Purification
Protein A purified
Formulation
10 mM PBS
Format
Azide and BSA Free
Preservative
No Preservative
Concentration
1 mg/ml
Shipping
The product is shipped with polar packs. Upon receipt, store it immediately at the temperature recommended below.
Stability & Storage
Store at -20 to -80C. Avoid freeze-thaw cycles.
Background: Cytokeratin 7, 8
Alternate Names
CK7, CK-7, CK8, CK-8, Cytokeratin-7, Cytokeratin-8, keratin 8, keratin, type II cytoskeletal 7, keratin-7
Gene Symbol
KRT7
Additional Cytokeratin 7, 8 Products
Product Documents for Cytokeratin 7, 8 Antibody (CAM5.2) - Azide and BSA Free
Product Specific Notices for Cytokeratin 7, 8 Antibody (CAM5.2) - Azide and BSA Free
This product is for research use only and is not approved for use in humans or in clinical diagnosis. Primary Antibodies are guaranteed for 1 year from date of receipt.
Loading...
Loading...
Loading...
Loading...