Cytokeratin 7, 8 Antibody (CAM5.2)
Novus Biologicals, part of Bio-Techne | Catalog # NBP3-44630
Key Product Details
Species Reactivity
Human
Applications
Immunohistochemistry
Label
Unconjugated
Antibody Source
Monoclonal Mouse IgG2a Kappa Clone # CAM5.2
Concentration
0.2 mg/ml
Product Specifications
Immunogen
Human colorectal carcinoma cell line HT29
Localization
Cytoplasm
Clonality
Monoclonal
Host
Mouse
Isotype
IgG2a Kappa
Description
200ug/ml of antibody purified from Bioreactor Concentrate by Protein A/G. Prepared in 10 mM PBS with 0.05% BSA & 0.05% azide. Also available WITHOUT BSA & azide at 1.0 mg/ml.
Antibody with azide - store at 2 to 8C. Antibody without azide - store at -20 to -80C. Non-hazardous. No MSDS required.
Antibody with azide - store at 2 to 8C. Antibody without azide - store at -20 to -80C. Non-hazardous. No MSDS required.
Scientific Data Images for Cytokeratin 7, 8 Antibody (CAM5.2)
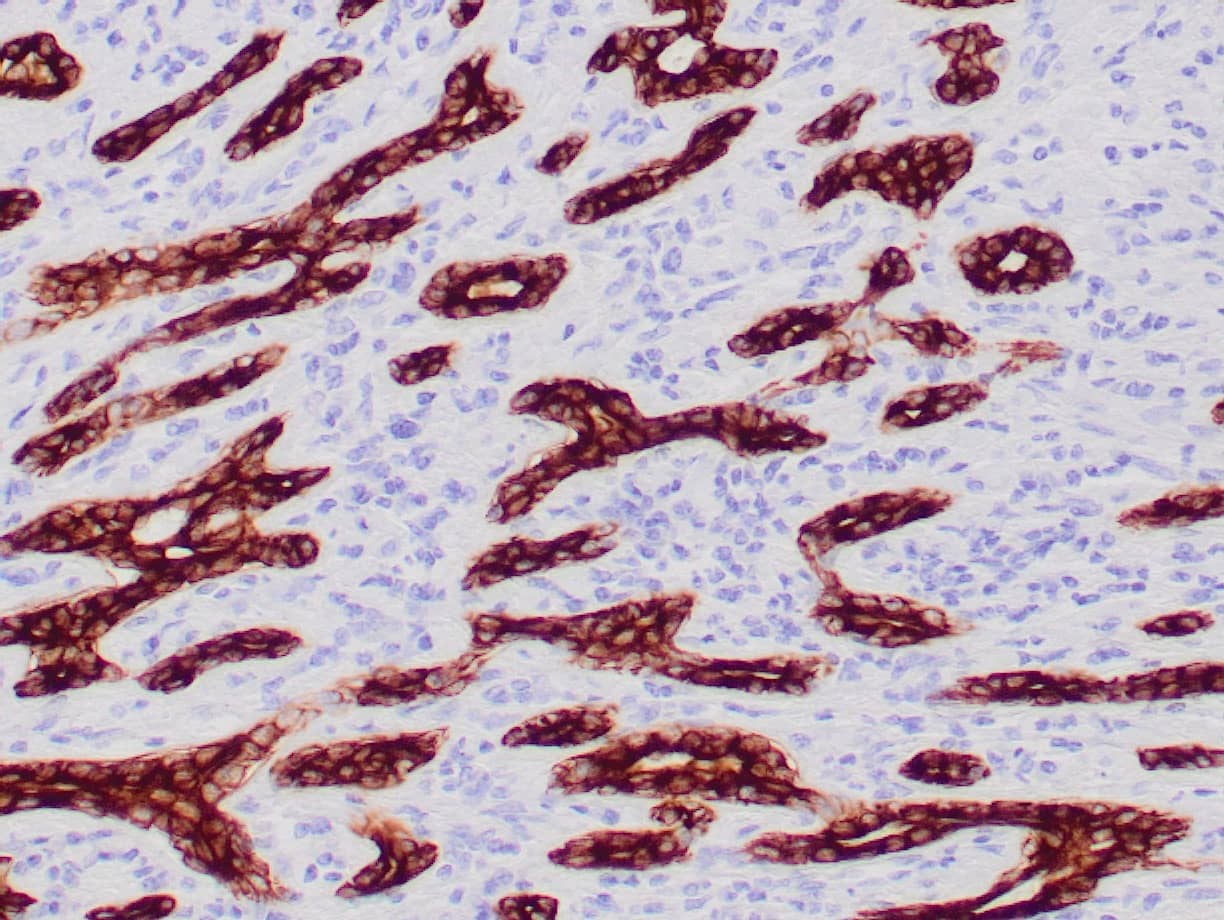
Immunohistochemistry-Paraffin: Cytokeratin 7, 8 Antibody (CAM5.2) [NBP3-44630] -
Formalin-fixed, paraffin-embedded human breast carcinoma stained with Cytokeratin 7, 8 Antibody (CAM5.2). HIER: Tris/EDTA, pH9.0, 45min. 2 : HRP-polymer, 30min. DAB, 5min.Applications for Cytokeratin 7, 8 Antibody (CAM5.2)
Application
Recommended Usage
Immunohistochemistry
1-2ug/ml
Application Notes
Immunohistochemistry: 30 min at RT. Staining of formalin-fixed tissues requires heating tissue sections in 10mM Tris with 1mM EDTA, pH 9.0, for 45 min at 95C followed by cooling at RT for 20 minutes.
Formulation, Preparation, and Storage
Purification
Protein A purified
Formulation
10 mM PBS with 0.05% BSA
Preservative
0.05% Sodium Azide
Concentration
0.2 mg/ml
Shipping
The product is shipped with polar packs. Upon receipt, store it immediately at the temperature recommended below.
Stability & Storage
Store at 4C.
Background: Cytokeratin 7, 8
Alternate Names
CK7, CK-7, CK8, CK-8, Cytokeratin-7, Cytokeratin-8, keratin 8, keratin, type II cytoskeletal 7, keratin-7
Gene Symbol
KRT7
Additional Cytokeratin 7, 8 Products
Product Documents for Cytokeratin 7, 8 Antibody (CAM5.2)
Product Specific Notices for Cytokeratin 7, 8 Antibody (CAM5.2)
This product is for research use only and is not approved for use in humans or in clinical diagnosis. Primary Antibodies are guaranteed for 1 year from date of receipt.
Loading...
Loading...
Loading...
Loading...