Skip to main content

Cytokeratin 5 Antibody (rKRT5/6969)

Novus Biologicals, part of Bio-Techne | Catalog # NBP3-20572

Recombinant Monoclonal Antibody
Novus Biologicals, part of Bio-Techne
Catalog #
Availability
Size / Price
Qty
Loading...
NBP3-20572-100ug
NBP3-20572-20ug
Conjugate
Catalog #

Key Product Details

Species Reactivity

Human

Applications

Immunohistochemistry-Paraffin

Label

Unconjugated

Antibody Source

Recombinant Monoclonal Mouse IgG2a Kappa Clone # rKRT5/6969

Concentration

0.2 mg/ml

Product Specifications

Immunogen

Recombinant fragment (around aa 390-590) of human Cytokeratin 5 protein (exact sequence is proprietary)

Localization

Cytoplasm.

Specificity

Anti-cytokeratin 5 has been reported useful in the differential diagnosis of metastatic carcinoma in the pleura versus epithelioid mesothelioma. Almost all squamous cell carcinomas, half of transitional carcinomas, and many undifferentiated large cell carcinomas express. Anti-KRT5, along with anti-p63, affords a high sensitivity and specificity for squamous differentiation. Myoepithelial cells of the breast, glandular epithelia, and basal cells of the prostate are labeled with anti-KRT5.

Clonality

Monoclonal

Host

Mouse

Isotype

IgG2a Kappa

Description

Positive Controls: Human tonsil, esophagus or bladder tissue (IHC).

Antibody with azide - store at 2 to 8C. Antibody without azide - store at -20 to -80C. Non-hazardous. No MSDS required.

Scientific Data Images for Cytokeratin 5 Antibody (rKRT5/6969)

Cytokeratin 5 Antibody (rKRT5/6969)

Cytokeratin 5 Antibody (rKRT5/6969)

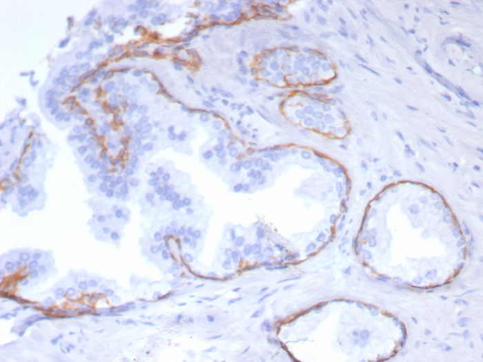
Formalin-fixed, paraffin-embedded human prostate stained with Cytokeratin 5 antibody (rKRT5/6969). Inset: PBS instead of primary antibody; secondary only negative control.
Cytokeratin 5 Antibody (rKRT5/6969)

Cytokeratin 5 Antibody (rKRT5/6969)

Formalin-fixed, paraffin-embedded human prostate stained with Cytokeratin 5 antibody (rKRT5/6969). HIER: Tris/EDTA, pH9.0, 45min. Secondary: HRP-polymer, 30min. DAB, 5min.

Applications for Cytokeratin 5 Antibody (rKRT5/6969)

Application
Recommended Usage

Immunohistochemistry-Paraffin

1-2 ug/ml
Application Notes
Immunohistochemistry (Formalin-fixed): 1-2ug/ml for 30 minutes. at RT. Staining of formalin-fixed tissues requires heating tissue sections in 10mM Tris with 1mM EDTA, pH 9.0, for 45 min at 95C followed by cooling at RT for 20 minutes.

Optimal dilution for a specific application should be determined.

Formulation, Preparation, and Storage

Purification

Protein A or G purified

Formulation

10mM PBS with 0.05% BSA

Preservative

0.05% Sodium Azide

Concentration

0.2 mg/ml

Shipping

The product is shipped with polar packs. Upon receipt, store it immediately at the temperature recommended below.

Stability & Storage

Store at 4C. Do not freeze.

Background: Cytokeratin 5

Keratins are a family of structurally related proteins that form the intermediate filament cytoskeleton in epithelial cells. The 58-kD keratin CK-5 is highly similar to other type II keratins and less similar to type I keratins and other intermediate filament proteins. The 58-kD keratin is regulated by retinoids in several tissues and is one of four keratins abundantly expressed in epidermal keratinocytes, where it may be important in maintaining structural integrity of the integument (1). Keratin 5 (CK-5) mRNA and protein are shown to be expressed in normal mammary epithelial cells in culture and are absent from tumor-derived cell lines. This makes CK-5 an important marker in the tumorigenic process, distinguishing normal from tumor cells, and decreased CK-5 expression correlates with tumorigenic progression (2). Dowling-Degos disease (DDD) is an autosomal dominant genodermatosis characterized by progressive and disfiguring reticulate hyperpigmentation of the flexures. Loss of function of CK-5 suggests a crucial role for keratins in the organization of cell adhesion, melanosome uptake, organelle transport, and nuclear anchorage (3).

Alternate Names

CK-5, DDD, EBS2, Keratin 5, KRT5

Gene Symbol

KRT5

Additional Cytokeratin 5 Products

Product Documents for Cytokeratin 5 Antibody (rKRT5/6969)

Certificate of Analysis

To download a Certificate of Analysis, please enter a lot number in the search box below.

Product Specific Notices for Cytokeratin 5 Antibody (rKRT5/6969)

This product is for research use only and is not approved for use in humans or in clinical diagnosis. Primary Antibodies are guaranteed for 1 year from date of receipt.

Loading...
Loading...
Loading...
Loading...