Skip to main content

Cytokeratin 18 Antibody (KRT18/835) - Azide and BSA Free

Novus Biologicals, part of Bio-Techne | Catalog # NBP2-47986

Novus Biologicals, part of Bio-Techne
Catalog #
Availability
Size / Price
Qty
Loading...
NBP2-47986-0.1mg
Conjugate
Catalog #

Key Product Details

Species Reactivity

Human, Bovine (Negative), Canine (Negative), Hamster (Negative), Porcine (Negative), Rat (Negative), Sheep (Negative)

Applications

Immunohistochemistry, Immunohistochemistry-Paraffin, Western Blot, Immunocytochemistry/ Immunofluorescence, Protein Array

Label

Unconjugated

Antibody Source

Monoclonal Mouse IgG1 kappa Clone # KRT18/835

Format

Azide and BSA Free

Concentration

1.0 mg/ml

Product Specifications

Immunogen

Recombinant full-length human Cytokeratin 18 protein (Uniprot: P05783)

Reactivity Notes

Does not react with Rat, Sheep, Hamster, Bovine, Canine or Porcine.

Localization

Cytoplasmic

Specificity

This monoclonal antibody reacts with a wide variety of simple epithelia. It does not react with stratified squamous epithelia. It reacts with epithelial tumors of the gastrointestinal tract, lung, breast, pancreas, ovary, and thyroid. Cytokeratin 18, which belongs to the type A (acidic) subfamily of low molecular weight keratins, exists in combination with cytokeratin 8. It is reported that tissues from gastrointestinal tract are positive for both cytokeratin 8 and 18 but do not contain cytokeratin 14. Tissues from gastrointestinal tract, respiratory tract and urogenital tract, as well as endocrine and exocrine tissues and mesothelial cells are positive for cytokeratin 18.

Marker

Epithelial Marker

Clonality

Monoclonal

Host

Mouse

Isotype

IgG1 kappa

Theoretical MW

45 kDa.
Disclaimer note: The observed molecular weight of the protein may vary from the listed predicted molecular weight due to post translational modifications, post translation cleavages, relative charges, and other experimental factors.

Description

1.0 mg/ml of antibody purified from Bioreactor Concentrate by Protein A/G. Prepared in 10mM PBS WITHOUT BSA & azide. Also available at 200 ug/ml WITH BSA & azide (NBP2-44949).

Antibody with azide - store at 2 to 8C. Antibody without azide - store at -20 to -80C.

Scientific Data Images for Cytokeratin 18 Antibody (KRT18/835) - Azide and BSA Free

Western Blot: Cytokeratin 18 Antibody (KRT18/835)Azide and BSA Free [NBP2-47986]

Western Blot: Cytokeratin 18 Antibody (KRT18/835)Azide and BSA Free [NBP2-47986]

Western Blot: Cytokeratin 18 Antibody (KRT18/835) - Azide and BSA Free [NBP2-47986] - Western Blot Analysis of human HCT116 cell lysate using Cytokeratin 18 Antibody (KRT18/835).
Immunocytochemistry/ Immunofluorescence: Cytokeratin 18 Antibody (KRT18/835) - Azide and BSA Free [NBP2-47986]

Immunocytochemistry/ Immunofluorescence: Cytokeratin 18 Antibody (KRT18/835) - Azide and BSA Free [NBP2-47986]

Immunocytochemistry/Immunofluorescence: Cytokeratin 18 Antibody (KRT18/835) - Azide and BSA Free [NBP2-47986] - Confocal immunofluorescence image of MCF cells using Cytokeratin 18 Antibody (KRT18/835) Green (CF488) and Red Dot is used to label the nuclei.
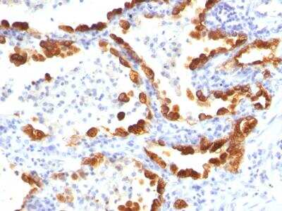
Immunohistochemistry-Paraffin: Cytokeratin 18 Antibody (KRT18/835) - Azide and BSA Free [NBP2-47986]

Immunohistochemistry-Paraffin: Cytokeratin 18 Antibody (KRT18/835) - Azide and BSA Free [NBP2-47986]

Immunohistochemistry-Paraffin: Cytokeratin 18 Antibody (KRT18/835) - Azide and BSA Free [NBP2-47986] - Formalin-fixed, paraffin-embedded human Prostate Cancer stained with Cytokeratin 18 Mouse Monoclonal Antibody (KRT18/835).

Applications for Cytokeratin 18 Antibody (KRT18/835) - Azide and BSA Free

Application
Recommended Usage

Immunocytochemistry/ Immunofluorescence

Optimal dilutions of this antibody should be experimentally determined.

Immunohistochemistry

Optimal dilutions of this antibody should be experimentally determined.

Immunohistochemistry-Paraffin

Optimal dilutions of this antibody should be experimentally determined.

Protein Array

Optimal dilutions of this antibody should be experimentally determined.

Western Blot

Optimal dilutions of this antibody should be experimentally determined.
Application Notes
Immunohistochemistry (Formalin-fixed): 1-2ug/ml for 30 min at RT. Staining of formalin-fixed tissues requires heating tissue sections in 10mM Tris with 1mM EDTA, pH 9.0, for 45 min at 95C followed by cooling at RT for 20 minutes.
Optimal dilution for a specific application should be determined.

Formulation, Preparation, and Storage

Purification

Protein A or G purified

Formulation

10 mM PBS

Format

Azide and BSA Free

Preservative

No Preservative

Concentration

1.0 mg/ml

Shipping

The product is shipped with polar packs. Upon receipt, store it immediately at the temperature recommended below.

Stability & Storage

Store at -20 to -80C. Avoid freeze-thaw cycles.

Background: Cytokeratin 18

Cytokeratins are cytoskeletal intermediate filament proteins that are classified as type I (acidic) and type II (neutral to basic) and associate into heterotetramers.

Alternate Names

CK-18, CYK18, Keratin 18, KRT18

Gene Symbol

KRT18

Additional Cytokeratin 18 Products

Product Documents for Cytokeratin 18 Antibody (KRT18/835) - Azide and BSA Free

Certificate of Analysis

To download a Certificate of Analysis, please enter a lot number in the search box below.

Product Specific Notices for Cytokeratin 18 Antibody (KRT18/835) - Azide and BSA Free

This product is for research use only and is not approved for use in humans or in clinical diagnosis. Primary Antibodies are guaranteed for 1 year from date of receipt.

Loading...
Loading...
Loading...
Loading...